电话:
+86 (0512) 65829739
传真:
+86 (010) 6788 5057
电子邮件:
orders@antibodies-online.cn

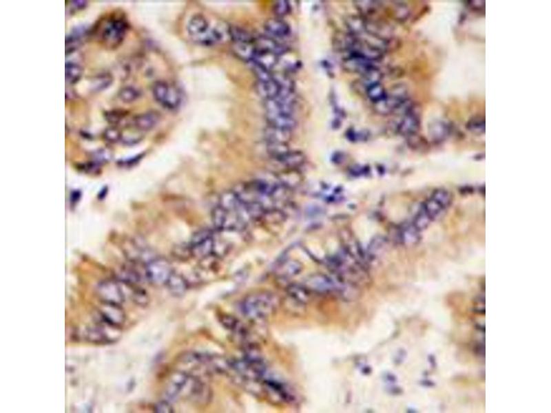
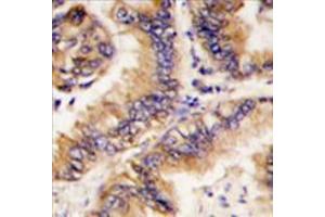
TRAPPC4 抗体 (N-Term)

This 兔 多克隆 antibody specifically detects TRAPPC4 in WB, IHC (p) 和 EIA. It exhibits reactivity toward 人.
产品编号 ABIN356959
发货至: 中国
Contact our Customer Service for availability and price in your country. Contact Info

Our Local Distributor

中国
北京 101111
No. 88 KeChuang 6th Street
Beijing Economic Technological Development Area
Room 801-803
4A Biotech Co.,Ltd.
Tel +86 (0512) 65829739 传真 +86 (010) 6788 5057

Quick Overview for TRAPPC4 抗体 (N-Term) (ABIN356959)

抗原

See all TRAPPC4 抗体
TRAPPC4 (Trafficking Protein Particle Complex 4 (TRAPPC4))

适用

  • 27
  • 3
  • 3
  • 2
  • 2
  • 2
  • 2
  • 2
  • 1
  • 1
  • 1
  • 1
  • 1

宿主

  • 22
  • 5

克隆类型

  • 22
  • 5
多克隆

标记

  • 15
  • 2
  • 1
  • 1
  • 1
  • 1
  • 1
  • 1
  • 1
  • 1
  • 1
  • 1
This TRAPPC4 antibody is un-conjugated

应用范围

  • 20
  • 12
  • 11
  • 4
  • 4
  • 3
Western Blotting (WB), Immunohistochemistry (Paraffin-embedded Sections) (IHC (p)), Enzyme Immunoassay (EIA)
  • 抗原表位

    • 9
    • 4
    • 1
    • 1
    • 1
    • 1
    N-Term

    特异性

    This antibody detects TRAPPC4 at N-term.

    纯化方法

    Protein A column, eluted with high and low pH buffers and neutralized immediately, followed by dialysis against PBS.

    免疫原

    This antibody is generated from rabbits immunized with a KLH conjugated synthetic peptide selected from the N-terminal region of human TRAPPC4.

    亚型

    Ig Fraction
  • 应用备注

    ELISA 1: 1,000. Western blotting 1: 50 - 1: 100. Immunohistochemistry 1: 10 - 1: 50.
    Other applications not tested.
    Optimal dilutions are dependent on conditions and should be determined by the user.

    限制

    仅限研究用
  • 状态

    Liquid

    浓度

    0.25 mg/mL

    缓冲液

    PBS with 0.09 % (W/V) sodium azide

    储存液

    Sodium azide

    注意事项

    This product contains sodium azide: a POISONOUS AND HAZARDOUS SUBSTANCE which should be handled by trained staff only.

    注意事项

    Avoid repeated freezing and thawing.

    储存条件

    4 °C/-20 °C

    储存方法

    Store the antibody at 2 - 8 °C up to one month or (in aliquots) at -20 °C for longer.
  • 抗原

    TRAPPC4 (Trafficking Protein Particle Complex 4 (TRAPPC4))

    别名

    TRAPPC4

    背景

    TRAPPC4 is part of the multisubunit TRAPP (transport protein particle) complex and interacts with SDC2. It may play a role in vesicular transport from endoplasmic reticulum to Golgi. TRAPP proteins are involved in tethering during vesicle transport.Synonyms: Hematopoietic stem/progenitor cell protein 172, SBDN, Synbindin, TRS23 homolog, Trafficking protein particle complex subunit 4

    分子量

    24209 Da

    基因ID

    51399, 9606

    UniProt

    Q9Y296
You are here: