电话:
+86 (0512) 65829739
传真:
+86 (010) 6788 5057
电子邮件:
orders@antibodies-online.cn

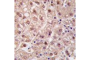
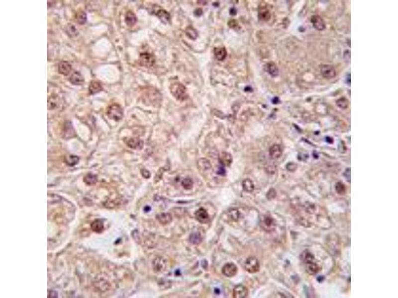
PSMA5 抗体 (N-Term)

This 兔 多克隆 antibody specifically detects PSMA5 in WB, IHC (p) 和 EIA. It exhibits reactivity toward 人.
产品编号 ABIN356944
发货至: 中国
Contact our Customer Service for availability and price in your country. Contact Info

Our Local Distributor

中国
北京 101111
No. 88 KeChuang 6th Street
Beijing Economic Technological Development Area
Room 801-803
4A Biotech Co.,Ltd.
Tel +86 (0512) 65829739 传真 +86 (010) 6788 5057

Quick Overview for PSMA5 抗体 (N-Term) (ABIN356944)

抗原

See all PSMA5 抗体
PSMA5 (Proteasome Subunit alpha 5 (PSMA5))

适用

  • 78
  • 41
  • 41
  • 8
  • 7
  • 6
  • 6
  • 5
  • 4
  • 4
  • 3
  • 3
  • 3
  • 2
  • 2
  • 1
  • 1

宿主

  • 66
  • 13

克隆类型

  • 66
  • 13
多克隆

标记

  • 36
  • 6
  • 5
  • 5
  • 4
  • 3
  • 1
  • 1
  • 1
  • 1
  • 1
  • 1
  • 1
  • 1
  • 1
  • 1
  • 1
  • 1
  • 1
  • 1
  • 1
  • 1
  • 1
  • 1
  • 1
  • 1
This PSMA5 antibody is un-conjugated

应用范围

  • 67
  • 28
  • 25
  • 13
  • 10
  • 8
  • 4
  • 2
  • 1
Western Blotting (WB), Immunohistochemistry (Paraffin-embedded Sections) (IHC (p)), Enzyme Immunoassay (EIA)
  • 抗原表位

    • 8
    • 8
    • 6
    • 5
    • 5
    • 2
    • 2
    • 1
    • 1
    • 1
    • 1
    • 1
    N-Term

    特异性

    This antibody detects PSMA5 at N-term.

    纯化方法

    Protein A column, eluted with high and low pH buffers and neutralized immediately, followed by dialysis against PBS

    免疫原

    This antibody is generated from rabbits immunized with a KLH conjugated synthetic peptide selected from the N-terminal region of human PSMA5.

    亚型

    Ig Fraction
  • 应用备注

    ELISA 1: 1,000. Western blot 1: 50 - 1: 100. Immunohistochemistry 1: 50.
    Other applications not tested.
    Optimal dilutions are dependent on conditions and should be determined by the user.

    限制

    仅限研究用
  • 状态

    Liquid

    浓度

    0.25 mg/mL

    缓冲液

    PBS with 0.09 % (W/V) sodium azide

    储存液

    Sodium azide

    注意事项

    This product contains sodium azide: a POISONOUS AND HAZARDOUS SUBSTANCE which should be handled by trained staff only.

    注意事项

    Avoid repeated freezing and thawing.

    储存条件

    4 °C/-20 °C

    储存方法

    Store the antibody at 2 - 8 °C up to one month or (in aliquots) at -20 °C for longer.
  • 抗原

    PSMA5 (Proteasome Subunit alpha 5 (PSMA5))

    别名

    PSMA5

    背景

    The proteasome is a multicatalytic proteinase complex with a highly ordered ring-shaped 20S core structure. The core structure is composed of 4 rings of 28 non-identical subunits, 2 rings are composed of 7 alpha subunits and 2 rings are composed of 7 beta subunits. Proteasomes are distributed throughout eukaryotic cells at a high concentration and cleave peptides in an ATP/ubiquitin-dependent process in a non-lysosomal pathway. An essential function of a modified proteasome, the immunoproteasome, is the processing of class I MHC peptides. PMA5 is a member of the peptidase T1A family, that is a 20S core alpha subunit.Synonyms: Macropain zeta chain, Multicatalytic endopeptidase complex zeta chain, Proteasome 20S alpha 5, Proteasome subunit alpha type-5, Proteasome zeta chain

    分子量

    26280 Da

    基因ID

    5686, 9606

    UniProt

    P28066

    途径

    Mitotic G1-G1/S Phases, DNA Replication, Synthesis of DNA
You are here: