电话:
+86 (0512) 65829739
传真:
+86 (010) 6788 5057
电子邮件:
orders@antibodies-online.cn

CBLC 抗体 (N-Term)

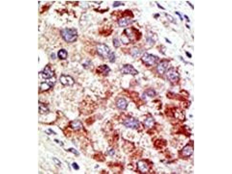
The 兔 多克隆 anti-CBLC antibody (ABIN356778) specifically detects CBLC in WB, IHC (p) 和 EIA. The antibody is reactive with 人 samples.
产品编号 ABIN356778
发货至: 中国
Contact our Customer Service for availability and price in your country. Contact Info

Our Local Distributor

中国
北京 101111
No. 88 KeChuang 6th Street
Beijing Economic Technological Development Area
Room 801-803
4A Biotech Co.,Ltd.
Tel +86 (0512) 65829739 传真 +86 (010) 6788 5057

Quick Overview for CBLC 抗体 (N-Term) (ABIN356778)

抗原

See all CBLC 抗体
CBLC (Cbl proto-oncogene C (CBLC))

适用

  • 34
  • 2
  • 1

宿主

  • 29
  • 5

克隆类型

  • 29
  • 5
多克隆

标记

  • 24
  • 2
  • 2
  • 2
  • 2
  • 2
This CBLC antibody is un-conjugated

应用范围

  • 33
  • 22
  • 17
  • 5
  • 5
  • 3
  • 2
  • 2
  • 1
Western Blotting (WB), Immunohistochemistry (Paraffin-embedded Sections) (IHC (p)), Enzyme Immunoassay (EIA)
  • 抗原表位

    • 7
    • 7
    • 4
    • 3
    • 3
    • 3
    • 2
    • 2
    • 1
    • 1
    • 1
    N-Term

    特异性

    This antibody is specific to Cbl (N-term).

    纯化方法

    Protein G Chromatography, eluted with high and low pH buffers and neutralized immediately, followed by dialysis against PBS.

    免疫原

    This antibody is generated from rabbits immunized with a KLH conjugated synthetic peptide selected from the N-terminal region of human Cbl-c.

    亚型

    Ig Fraction
  • 应用备注

    ELISA: 1/1,000. Western blot: 1/100-1/500. Immunohistochemistry: 1/50-1/100.
    Other applications not tested.
    Optimal dilutions are dependent on conditions and should be determined by the user.

    限制

    仅限研究用
  • 状态

    Liquid

    浓度

    0.25 mg/mL

    缓冲液

    PBS containing 0.09 % (W/V) Sodium Azide as preservative.

    储存液

    Sodium azide

    注意事项

    This product contains sodium azide: a POISONOUS AND HAZARDOUS SUBSTANCE which should be handled by trained staff only.

    注意事项

    Avoid repeated freezing and thawing.

    储存条件

    4 °C/-20 °C

    储存方法

    Store the antibody undiluted at 2-8 °C for one month or (in aliquots) at-20 °C for longer.
  • 抗原

    CBLC (Cbl proto-oncogene C (CBLC))

    别名

    CBLC / RNF57

    背景

    Cbl proteins are a family of ubiquitin protein ligases (E3s) that negatively regulate signaling by targeting activated tyrosine kinases for degradation. Cbl- c is the most recently cloned member of the Cbl proteins and is expressed only in epithelial cells (the other Cbl proteins are ubiquitously expressed). Cbl-c, like the other mammalian Cbl proteins, can ubiquitinate the activated EGFR and target it for degradation. Through interactions with proteins containing SRC homology-2 (SH2) and SH3 domains, CBL proteins modulate downstream cell signaling.Synonyms: CBL-3, CBL-C, CBL3, RING finger protein 57, SH3-binding protein CBL-C, Signal transduction protein CBL-C

    基因ID

    23624, 9606

    UniProt

    Q9ULV8

    途径

    EGFR Signaling Pathway
You are here: