电话:
+86 (0512) 65829739
传真:
+86 (010) 6788 5057
电子邮件:
orders@antibodies-online.cn

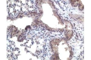
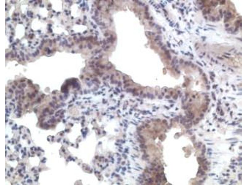
CCRL1 抗体 (AA 4-31)

The 山羊 多克隆 anti-CCRL1 antibody is suitable to detect CCRL1 in samples from 人 和 小鼠. It has been validated for WB, ELISA, IHC 和 IHC (p).
产品编号 ABIN342752
发货至: 中国
Contact our Customer Service for availability and price in your country. Contact Info

Our Local Distributor

中国
北京 101111
No. 88 KeChuang 6th Street
Beijing Economic Technological Development Area
Room 801-803
4A Biotech Co.,Ltd.
Tel +86 (0512) 65829739 传真 +86 (010) 6788 5057

Quick Overview for CCRL1 抗体 (AA 4-31) (ABIN342752)

抗原

See all CCRL1 抗体
CCRL1 (Chemokine (C-C Motif) Receptor-Like 1 (CCRL1))

适用

  • 19
  • 11
  • 4
  • 3
  • 2
  • 2
  • 2
  • 2
  • 1
  • 1
  • 1
人, 小鼠

宿主

  • 18
  • 1
山羊

克隆类型

  • 19
多克隆

标记

  • 19
This CCRL1 antibody is un-conjugated

应用范围

  • 15
  • 11
  • 10
  • 4
  • 3
  • 1
  • 1
Western Blotting (WB), ELISA, Immunohistochemistry (IHC), Immunohistochemistry (Paraffin-embedded Sections) (IHC (p))
  • 抗原表位

    • 6
    • 3
    • 2
    • 1
    • 1
    • 1
    • 1
    • 1
    • 1
    • 1
    AA 4-31

    特异性

    Peptide sequence is <50 % identical to other human chemokine receptors in this region. This antibody cross-reacts with mouse CCR11 (CCRL1). Note that mouse CCRL2 is also referred to as CCR11 and the sequence differs.

    预测反应

    Percent identity by BLAST analysis: Human, Gorilla, Gibbon (100%) Monkey, Marmoset (93%) Panda, Porcine, Dog, Rabbit, Horse (86%) Mouse, Hamster, Elephant, Bovine, Opossum (82%).

    纯化方法

    Immunoaffinity purified

    免疫原

    Synthetic peptide EQNQSTDYYYEENEMNGTYDYSQYELIC corresponding to amino acids 4-31 of human CCR11. Percent identity by BLAST analysis: Human, Gorilla, Gibbon (100%), Monkey, Marmoset (93%), Panda, Porcine, Dog, Rabbit, Horse (86%), Mouse, Hamster, Elephant, Bovine, Opossum (82%).

    Type of Immunogen: Synthetic peptide
  • 应用备注

    Approved: ELISA (1:35000), IHC, IHC-P (1:125), WB (1:500)

    说明

    Target Species of Antibody: Human

    限制

    仅限研究用
  • 状态

    Liquid

    浓度

    Lot specific

    缓冲液

    10 mM KHPO4, 140 mM NaCl with 1 mg/mL BSA and 0.1 % sodium azide

    储存液

    Sodium azide

    注意事项

    This product contains Sodium azide: a POISONOUS AND HAZARDOUS SUBSTANCE which should be handled by trained staff only.

    注意事项

    Avoid freeze-thaw cycles.

    储存条件

    -20 °C

    储存方法

    Aliquot and freeze at -20°C. Avoid freeze-thaw cycles.
  • 抗原

    CCRL1 (Chemokine (C-C Motif) Receptor-Like 1 (CCRL1))

    别名

    ACKR4 / CCRL1 / CCR11

    背景

    Name/Gene ID: ACKR4
    Subfamily: Chemokine
    Family: GPCR

    Synonyms: ACKR4, C-C CKR-11, CC-CKR-11, CC chemokine receptor-like 1, CCR11, CCX CKR, C-C chemokine receptor type 11, CKR-11, CCRL1, VSHK1, CCR-11, CCX-CKR, PPR1

    基因ID

    51554

    UniProt

    Q9NPB9
You are here: