电话:
+86 (0512) 65829739
传真:
+86 (010) 6788 5057
电子邮件:
orders@antibodies-online.cn

CKS1 抗体 (C-Term)

The 小鼠 单克隆 anti-CKS1 antibody is suitable to detect CKS1 in samples from 人. It has been validated for WB, IHC 和 IHC (p).
产品编号 ABIN337043
发货至: 中国
Contact our Customer Service for availability and price in your country. Contact Info

Our Local Distributor

中国
北京 101111
No. 88 KeChuang 6th Street
Beijing Economic Technological Development Area
Room 801-803
4A Biotech Co.,Ltd.
Tel +86 (0512) 65829739 传真 +86 (010) 6788 5057

Quick Overview for CKS1 抗体 (C-Term) (ABIN337043)

抗原

See all CKS1 (CKS1B) 抗体
CKS1 (CKS1B) (CDC28 Protein Kinase Regulatory Subunit 1B (CKS1B))

适用

  • 43
  • 15
  • 4
  • 2
  • 2
  • 2
  • 2
  • 2
  • 1
  • 1
  • 1
  • 1
  • 1
  • 1
  • 1
  • 1

宿主

  • 41
  • 2
小鼠

克隆类型

  • 42
  • 1
单克隆

标记

  • 17
  • 3
  • 2
  • 2
  • 1
  • 1
  • 1
  • 1
  • 1
  • 1
  • 1
  • 1
  • 1
  • 1
  • 1
  • 1
  • 1
  • 1
  • 1
  • 1
  • 1
  • 1
  • 1
This CKS1 antibody is un-conjugated

应用范围

  • 36
  • 19
  • 13
  • 13
  • 8
  • 4
  • 3
  • 3
  • 2
  • 1
Western Blotting (WB), Immunohistochemistry (IHC), Immunohistochemistry (Paraffin-embedded Sections) (IHC (p))

克隆位点

4G12G7
  • 抗原表位

    • 15
    • 7
    • 4
    • 2
    • 2
    • 1
    • 1
    • 1
    • 1
    • 1
    • 1
    • 1
    C-Term

    特异性

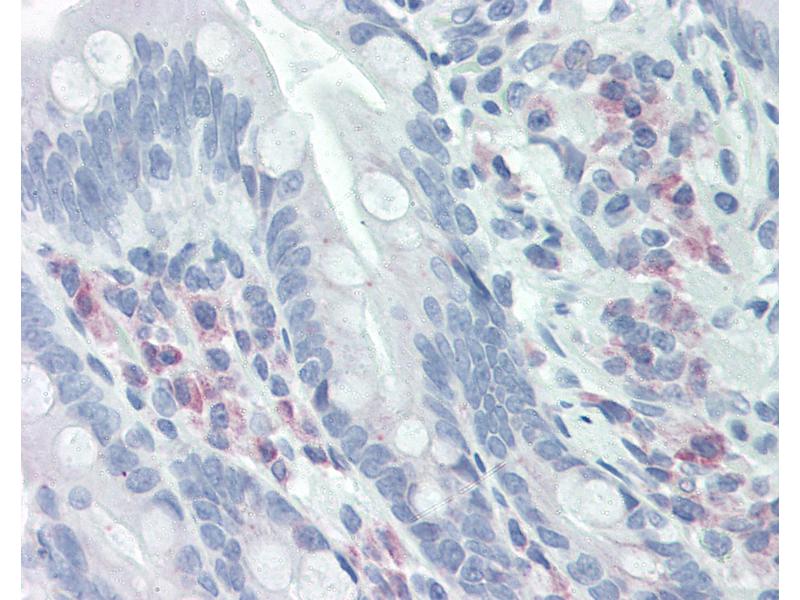
    Recognizes the 11kD human Cks1 protein. No reactivity was observed with a Cks2 recombinant protein. Cross reactivity with an unknown protein at ~35kD has been observed in Western blots of HeLa cell lysates. Reactivity has been confirmed with a Cks1 recombinant protein as well as HeLa cell lysates. IHC reactivity was confirmed with formalin-fixed, paraffin-embedded (FFPE) human tonsil sections.

    纯化方法

    Protein A purified

    免疫原

    Synthetic peptide derived from the C-terminal region of the human Cks1 protein.

    Type of Immunogen: Synthetic peptide

    亚型

    IgG1 kappa
  • 应用备注

    Approved: IHC, IHC-P (5 μg/mL), WB (1 - 3 μg/mL)

    Usage: Immunohistochemistry: This antibody was validated for use in immunohistochemistry on a panel of 21 formalin-fixed, paraffin-embedded (FFPE) human tissues after heat induced antigen retrieval in  pH 6.0 citrate buffer. After incubation with the primary antibody, slides were incubated with biotinylated secondary antibody, followed by alkaline phosphatase-streptavidin and chromogen. The stained slides were evaluated by a pathologist to confirm staining specificity. The optimal working concentration for this antibody was determined to be 5 μg/mL.

    说明

    Target Species of Antibody: Human

    限制

    仅限研究用
  • 状态

    Liquid

    浓度

    Lot specific

    缓冲液

    PBS,  pH 7.4, 0.09 % sodium azide.

    储存液

    Sodium azide

    注意事项

    This product contains Sodium azide: a POISONOUS AND HAZARDOUS SUBSTANCE which should be handled by trained staff only.

    储存条件

    4 °C,-20 °C

    储存方法

    4°C or -20°C, Avoid freeze-thaw cycles.
  • 抗原

    CKS1 (CKS1B) (CDC28 Protein Kinase Regulatory Subunit 1B (CKS1B))

    别名

    CKS1B / CKS1

    背景

    Name/Gene ID: CKS1B
    Subfamily: CKS

    Synonyms: CKS1B, CDC28 protein kinase 1, CKS-1, CDC28 protein kinase 1B, Ckshs1, PNAS-18, PNAS-143, PNAS-16, CDC2-associated protein CKS1, CKS1

    基因ID

    1163

    UniProt

    P61024

    途径

    Mitotic G1-G1/S Phases, Inositol Metabolic Process
You are here: