电话:
+86 (0512) 65829739
传真:
+86 (010) 6788 5057
电子邮件:
orders@antibodies-online.cn

TUSC3 抗体 (Internal Region)

The 山羊 多克隆 anti-TUSC3 antibody is suitable to detect TUSC3 in samples from 人. It has been validated for WB, ELISA 和 IHC.
产品编号 ABIN334520
发货至: 中国
Contact our Customer Service for availability and price in your country. Contact Info

Our Local Distributor

中国
北京 101111
No. 88 KeChuang 6th Street
Beijing Economic Technological Development Area
Room 801-803
4A Biotech Co.,Ltd.
Tel +86 (0512) 65829739 传真 +86 (010) 6788 5057

Quick Overview for TUSC3 抗体 (Internal Region) (ABIN334520)

抗原

See all TUSC3 抗体
TUSC3 (Tumor Suppressor Candidate 3 (TUSC3))

适用

  • 26
  • 19
  • 4
  • 1
  • 1

宿主

  • 26
山羊

克隆类型

  • 26
多克隆

标记

  • 9
  • 2
  • 2
  • 2
  • 1
  • 1
  • 1
  • 1
  • 1
  • 1
  • 1
  • 1
  • 1
  • 1
  • 1
This TUSC3 antibody is un-conjugated

应用范围

  • 23
  • 13
  • 13
  • 9
  • 5
  • 5
  • 3
  • 3
  • 2
Western Blotting (WB), ELISA, Immunohistochemistry (IHC)

质量等级

Verified
  • 抗原表位

    • 15
    • 4
    • 2
    • 2
    • 1
    • 1
    • 1
    Internal Region

    原理

    TUSC3 / N33

    序列

    PQRQCSVCRQ AN

    特异性

    This antibody is expected to recognise both reported isoforms (NP_006756.2, NP_839952.1).

    交叉反应

    Cow, 人, 小鼠, 大鼠

    纯化方法

    Purified from goat serum by ammonium sulphate precipitation followed by antigen affinity chromatography using the immunizing peptide.

    免疫原

    Peptide with sequence PQRQCSVCRQAN, from the internal region of the protein sequence according to NP_006756.2, NP_839952.1.

    亚型

    IgG
  • 应用备注

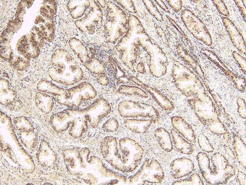
    Immunohistochemistry: Paraffin embedded Human Prostate. Recommended concentration: 4-8 μg/mL.

    Western Blot: Approx 37 kDa band observed in Human Liver and Lung lysates (calculated MW of 39.7 kDa according to NP_006756.2 and of 39.6 according to NP_839952.1). An additional band of unknown identity was also consistently observed at 22 kDa, which was

    Peptide ELISA: antibody detection limit dilution 1:1000.

    限制

    仅限研究用
  • 状态

    Liquid

    浓度

    0.5 mg/mL

    缓冲液

    Supplied at 0.5 mg/mL in Tris saline, 0.02 % sodium azide, pH 7.3 with 0.5 % bovine serum albumin.

    储存液

    Sodium azide

    注意事项

    This product contains Sodium azide: a POISONOUS AND HAZARDOUS SUBSTANCE which should be handled by trained staff only.

    注意事项

    Minimize freezing and thawing.

    储存条件

    -20 °C

    储存方法

    Aliquot and store at -20°C, with minimal freeze/thawing. A working aliquot may be refrigerated at 4°C for a few weeks and still remain viable.
  • 抗原

    TUSC3 (Tumor Suppressor Candidate 3 (TUSC3))

    别名

    TUSC3

    背景

    TUSC3, tumor suppressor candidate 3, D8S1992, MGC13453, N33, OST3A, Putative prostate cancer tumor suppressor

    基因ID

    7991, 80286, 290783

    NCBI登录号

    NP_006756, NP_839952

    途径

    Cell RedoxHomeostasis
You are here: