电话:
+86 (0512) 65829739
传真:
+86 (010) 6788 5057
电子邮件:
orders@antibodies-online.cn

RPL8 抗体 (Internal Region)

The 山羊 多克隆 anti-RPL8 antibody is suitable to detect RPL8 in samples from 人. It has been validated for WB, ELISA 和 IHC.
产品编号 ABIN334478
发货至: 中国
Contact our Customer Service for availability and price in your country. Contact Info

Our Local Distributor

中国
北京 101111
No. 88 KeChuang 6th Street
Beijing Economic Technological Development Area
Room 801-803
4A Biotech Co.,Ltd.
Tel +86 (0512) 65829739 传真 +86 (010) 6788 5057

Quick Overview for RPL8 抗体 (Internal Region) (ABIN334478)

抗原

See all RPL8 抗体
RPL8 (Ribosomal Protein L8 (RPL8))

适用

  • 47
  • 19
  • 18
  • 7
  • 5
  • 4
  • 4
  • 4
  • 2
  • 2
  • 2
  • 2
  • 2
  • 2
  • 2
  • 1

宿主

  • 45
  • 1
  • 1
山羊

克隆类型

  • 47
多克隆

标记

  • 21
  • 5
  • 4
  • 3
  • 2
  • 2
  • 2
  • 2
  • 2
  • 2
  • 1
  • 1
This RPL8 antibody is un-conjugated

应用范围

  • 31
  • 19
  • 17
  • 6
  • 4
  • 2
  • 1
Western Blotting (WB), ELISA, Immunohistochemistry (IHC)

质量等级

Verified
  • 抗原表位

    • 7
    • 6
    • 5
    • 1
    • 1
    • 1
    • 1
    • 1
    • 1
    • 1
    Internal Region

    原理

    ribosomal protein L8

    序列

    KAGRAYHKYK AKRNC

    特异性

    The reported variants represent identical protein (NP_000964.1 and NP_150644.1).

    交叉反应

    犬, 人, 小鼠, 大鼠

    纯化方法

    Purified from goat serum by ammonium sulphate precipitation followed by antigen affinity chromatography using the immunizing peptide.

    免疫原

    Peptide with sequence KAGRAYHKYKAKRNC, from the internal region of the protein sequence according to NP_000964.1, NP_150644.1.

    亚型

    IgG
  • 应用备注

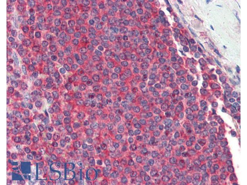
    Immunohistochemistry: Paraffin embedded Human Cerebral Cortex and Spleen. Recommended concentration: 2.5 μg/mL.

    Western Blot: Approx 28-30 kDa band observed in lysates of cell line HepG2 (calculated MW of 28.0 kDa according to NP_000964.1 and NP_150644.1). Recommended concentration: 0.01-0.03 μg/mL. Primary incubation was 1 hour.

    Peptide ELISA: antibody detection limit dilution 1:128000.

    限制

    仅限研究用
  • 状态

    Liquid

    浓度

    0.5 mg/mL

    缓冲液

    Supplied at 0.5 mg/mL in Tris saline, 0.02 % sodium azide, pH 7.3 with 0.5 % bovine serum albumin.

    储存液

    Sodium azide

    注意事项

    This product contains Sodium azide: a POISONOUS AND HAZARDOUS SUBSTANCE which should be handled by trained staff only.

    注意事项

    Minimize freezing and thawing.

    储存条件

    -20 °C

    储存方法

    Aliquot and store at -20°C, with minimal freeze/thawing. A working aliquot may be refrigerated at 4°C for a few weeks and still remain viable.
  • 抗原

    RPL8 (Ribosomal Protein L8 (RPL8))

    别名

    RPL8

    背景

    Ribosomal protein L8, 60S ribosomal protein L8

    基因ID

    6132, 26961, 26962

    NCBI登录号

    NP_000964

    途径

    Regulation of Cell Size
You are here: