电话:
+86 (0512) 65829739
传真:
+86 (010) 6788 5057
电子邮件:
orders@antibodies-online.cn

Claudin 4 抗体 (C-Term)

The 小鼠 单克隆 anti-Claudin 4 antibody is suitable to detect Claudin 4 in samples from 人, 大鼠 和 犬. It has been validated for WB, IHC, IF 和 IHC (p).
产品编号 ABIN334265
发货至: 中国
Contact our Customer Service for availability and price in your country. Contact Info

Our Local Distributor

中国
北京 101111
No. 88 KeChuang 6th Street
Beijing Economic Technological Development Area
Room 801-803
4A Biotech Co.,Ltd.
Tel +86 (0512) 65829739 传真 +86 (010) 6788 5057

Quick Overview for Claudin 4 抗体 (C-Term) (ABIN334265)

抗原

See all Claudin 4 (CLDN4) 抗体
Claudin 4 (CLDN4)

适用

  • 87
  • 32
  • 32
  • 7
  • 6
  • 5
  • 4
  • 2
  • 2
  • 1
  • 1
人, 大鼠, 犬

宿主

  • 71
  • 17
  • 1
小鼠

克隆类型

  • 62
  • 27
单克隆

标记

  • 45
  • 4
  • 3
  • 3
  • 3
  • 2
  • 2
  • 2
  • 2
  • 2
  • 2
  • 2
  • 1
  • 1
  • 1
  • 1
  • 1
  • 1
  • 1
  • 1
  • 1
  • 1
  • 1
  • 1
  • 1
  • 1
  • 1
  • 1
  • 1
This Claudin 4 antibody is un-conjugated

应用范围

  • 66
  • 36
  • 29
  • 15
  • 13
  • 13
  • 12
  • 5
  • 4
  • 3
  • 2
  • 1
Western Blotting (WB), Immunohistochemistry (IHC), Immunofluorescence (IF), Immunohistochemistry (Paraffin-embedded Sections) (IHC (p))
  • 抗原表位

    • 15
    • 15
    • 9
    • 3
    • 3
    • 3
    • 2
    • 1
    • 1
    • 1
    • 1
    • 1
    C-Term

    特异性

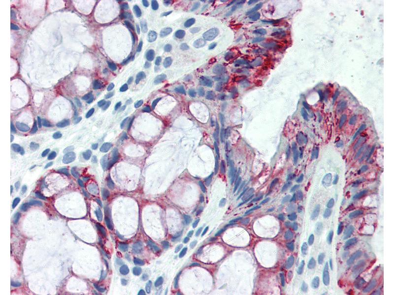
    Recognizes the human ~22kD Claudin 4 protein and does not cross-react with the protein at 55kD. Species cross-reactivity: rat ileum homogenates and canine MDCK cell lysates by Western Blot and Immunofluorescence. Reactivity has also been confirmed with formalin-fixed, paraffin-embedded (FFPE) human normal colon and colon cancer tissues by Immunohistochemistry.

    纯化方法

    Protein A purified

    免疫原

    Synthetic peptide corresponding to a 22 amino acid sequence derived from the C-terminal region of human Claudin 4.

    Type of Immunogen: Synthetic peptide

    亚型

    IgG1
  • 应用备注

    Approved: IF (1 - 3 μg/mL), IHC, IHC-P (5 μg/mL), WB (1 - 3 μg/mL)

    Usage: Immunohistochemistry: This antibody was validated for use in immunohistochemistry on a panel of 21 formalin-fixed, paraffin-embedded (FFPE) human tissues after heat induced antigen retrieval in  pH 6.0 citrate buffer. After incubation with the primary antibody, slides were incubated with biotinylated secondary antibody, followed by alkaline phosphatase-streptavidin and chromogen. The stained slides were evaluated by a pathologist to confirm staining specificity. The optimal working concentration for this antibody was determined to be 5 μg/mL.

    说明

    Target Species of Antibody: Human

    限制

    仅限研究用
  • 状态

    Liquid

    浓度

    Lot specific

    缓冲液

    PBS,  pH 7.4, 0.1 % sodium azide.

    储存液

    Sodium azide

    注意事项

    This product contains Sodium azide: a POISONOUS AND HAZARDOUS SUBSTANCE which should be handled by trained staff only.

    注意事项

    Aliquot to Avoid freeze/thaw cycles.

    储存条件

    4 °C,-20 °C

    储存方法

    Short term 4°C (no longer than 1 week)
    Long term -20°C
    Aliquot to avoid freeze/thaw cycles.
  • 抗原

    Claudin 4 (CLDN4)

    别名

    CLDN4 / Claudin 4

    背景

    Name/Gene ID: CLDN4
    Family: Claudin

    Synonyms: CLDN4, Claudin-4, CPE-receptor, CPETR, CPETR1, Claudin 4, CPE-R, HCPE-R, WBSCR8, CPER

    基因ID

    1364

    UniProt

    O14493

    途径

    Hepatitis C
You are here: