电话:
+86 (0512) 65829739
传真:
+86 (010) 6788 5057
电子邮件:
orders@antibodies-online.cn

Gena 抗体

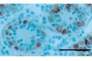
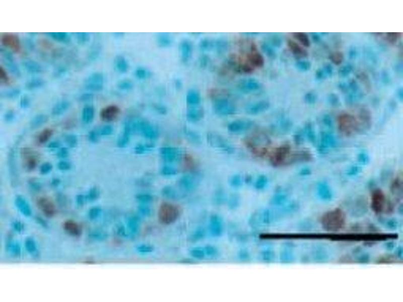
There are 2+ publications for this product available. The 大鼠 单克隆 anti-Gena antibody is suitable to detect Gena in samples from 小鼠. It has been validated for IHC 和 WB.
产品编号 ABIN3201020
发货至: 中国
Contact our Customer Service for availability and price in your country. Contact Info

Our Local Distributor

中国
北京 101111
No. 88 KeChuang 6th Street
Beijing Economic Technological Development Area
Room 801-803
4A Biotech Co.,Ltd.
Tel +86 (0512) 65829739 传真 +86 (010) 6788 5057

Quick Overview for Gena 抗体 (ABIN3201020)

抗原

Gena

适用

小鼠

宿主

大鼠

克隆类型

单克隆

应用范围

Immunohistochemistry (IHC), Western Blotting (WB)

克隆位点

TRA98
  • 产品特性

    This product was purified from serum-free culture medium of the hybridoma clone TRA98 by proprietary chromatography processes under mild conditions.

    纯化方法

    Purified

    亚型

    IgG2a
  • 应用备注

    1) Western blotting
    2) Immunohistochemical staining

    限制

    仅限研究用
  • 状态

    Liquid

    浓度

    1 mg/mL

    缓冲液

    PBS with 50 % Glycerol

    储存液

    Azide free

    储存条件

    -20 °C
  • Ohta, Yomogida, Dohmae, Nishimune: "Regulation of proliferation and differentiation in spermatogonial stem cells: the role of c-kit and its ligand SCF." in: Development (Cambridge, England), Vol. 127, Issue 10, pp. 2125-31, (2000) (PubMed).

    Tanaka, Pereira, Nozaki, Tsuchida, Sawada, Mori, Nishimune: "A germ cell-specific nuclear antigen recognized by a monoclonal antibody raised against mouse testicular germ cells." in: International journal of andrology, Vol. 20, Issue 6, pp. 361-6, (1998) (PubMed).

  • 抗原

    Gena

    背景

    A monoclonal antibody TRA98 recognizes a mouse testicular germ cell-specific antigen. In adult tissues, bands of 60-100 kDa proteins are detected only in the testis by Western blotting analysis with TRA98. The signals are observed in male and female embryos after embryonic day 12.5. The signal in male is detected during development of germ cells and also after birth, but the signal in female disappears by 5 days after birth. The antigen is localized only in the nuclear fraction of testicular germ cells and this antibody can be used for immunohistochemical staining of testicular germ cells. The hybridoma producing TRA98 was obtained by immunization of a rat with the cell lysate of adult mouse testis by the group of Prof. Yoshitake Nishimune of Osaka University.
You are here: