ARHGAP4 抗体
Our Local Distributor
北京 101111
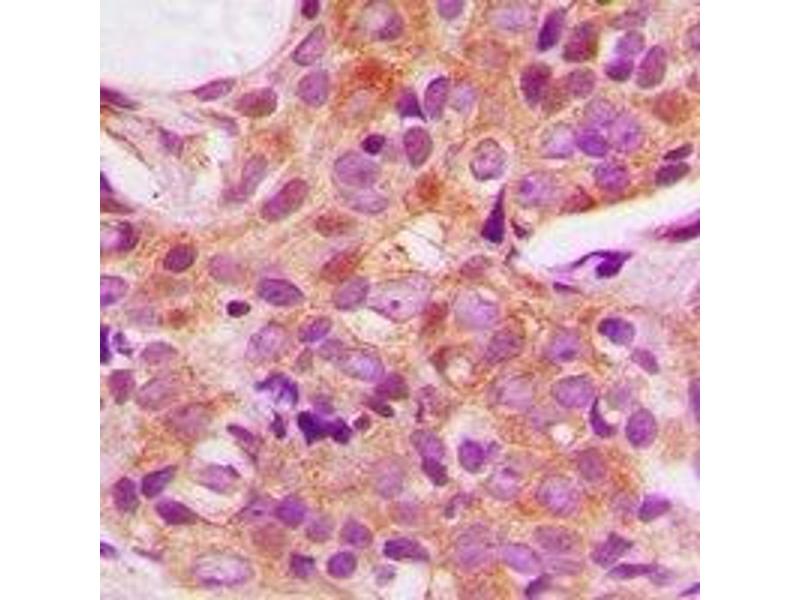
Quick Overview for ARHGAP4 抗体 (ABIN7308484)
抗原
See all ARHGAP4 抗体适用
宿主
克隆类型
标记
应用范围
-
-
原理
- Rabbit polyclonal antibody to p115
-
特异性
- Recognizes endogenous levels of p115 protein.
-
产品特性
- Rabbit polyclonal antibody to p115
-
纯化方法
- The antibody was purified by immunogen affinity chromatography.
-
免疫原
- KLH-conjugated synthetic peptide of human p115
-
-
-
-
应用备注
- WB (1/500 - 1/2000), IH (1/50 - 1/200), IF/IC (1/50 - 1/200), IP (1/20 - 1/50)
-
限制
- 仅限研究用
-
-
-
状态
- Liquid
-
缓冲液
- Liquid in 0.42 % Potassium phosphate, 0.87 % Sodium chloride, pH 7.3, 30 % glycerol, and 0.01 % sodium azide.
-
储存液
- Sodium azide
-
注意事项
- This product contains Sodium azide: a POISONOUS AND HAZARDOUS SUBSTANCE which should be handled by trained staff only.
-
储存条件
- -20 °C
-
储存方法
- Shipped at 4°C. Upon delivery aliquot and store at -20°C for one year. Avoid freeze/thaw cycles.
-
有效期
- 12 months
-
-
- ARHGAP4 (rho GTPase Activating Protein 4 (ARHGAP4))
-
别名
- p115
-
背景
- VDP, General vesicular transport factor p115, Protein USO1 homolog, Transcytosis-associated protein, TAP, Vesicle-docking protein
-
基因ID
- 8615, 56041, 56042
-
UniProt
- O60763
-
途径
- Neurotrophin Signaling Pathway, Regulation of Cell Size
抗原
-