电话:
+86 (0512) 65829739
传真:
+86 (010) 6788 5057
电子邮件:
orders@antibodies-online.cn

JAM2 抗体 (Internal Region)

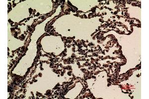
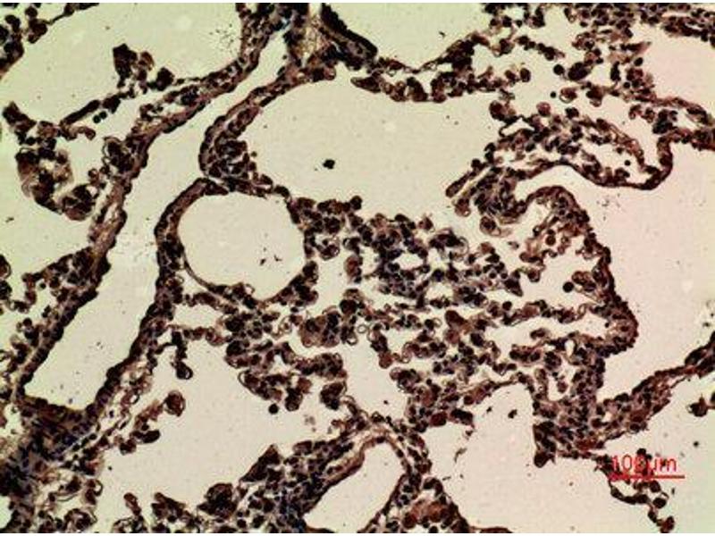
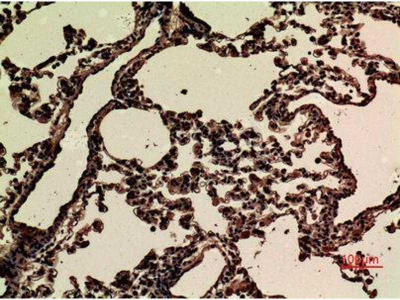
Cited in 1 publication. The 兔 多克隆 anti-JAM2 antibody (ABIN3187667) specifically detects JAM2 in WB, ELISA 和 IHC (p). The antibody is reactive with 人, 小鼠 和 大鼠 samples.
产品编号 ABIN3187667
发货至: 中国
Contact our Customer Service for availability and price in your country. Contact Info

Our Local Distributor

中国
北京 101111
No. 88 KeChuang 6th Street
Beijing Economic Technological Development Area
Room 801-803
4A Biotech Co.,Ltd.
Tel +86 (0512) 65829739 传真 +86 (010) 6788 5057

Quick Overview for JAM2 抗体 (Internal Region) (ABIN3187667)

抗原

See all JAM2 抗体
JAM2 (Junctional Adhesion Molecule 2 (JAM2))

适用

  • 42
  • 7
  • 3
  • 1
  • 1
  • 1
  • 1
  • 1
人, 小鼠, 大鼠

宿主

  • 36
  • 7
  • 2
  • 1

克隆类型

  • 37
  • 9
多克隆

标记

  • 30
  • 5
  • 4
  • 4
  • 2
  • 1
This JAM2 antibody is un-conjugated

应用范围

  • 37
  • 27
  • 20
  • 6
  • 3
  • 3
  • 2
  • 1
  • 1
  • 1
  • 1
  • 1
Western Blotting (WB), ELISA, Immunohistochemistry (Paraffin-embedded Sections) (IHC (p))
  • 抗原表位

    • 12
    • 6
    • 5
    • 4
    • 2
    • 2
    • 2
    • 1
    • 1
    • 1
    • 1
    • 1
    • 1
    • 1
    • 1
    • 1
    • 1
    Internal Region

    特异性

    JAM-B Polyclonal Antibody detects endogenous levels of JAM-B protein.

    产品特性

    Rabbit Polyclonal to JAM-B.

    纯化方法

    The antibody was affinity-purified from rabbit antiserum by affinity-chromatography using epitope-specific immunogen.

    免疫原

    Synthesized peptide derived from the Internal region of human JAM-B.

    亚型

    IgG
  • 应用备注

    WB 1:500-1:2000, IHC-P 1:100-300, ELISA 1:20000,

    限制

    仅限研究用
  • 状态

    Liquid

    浓度

    1 mg/mL

    缓冲液

    Liquid in PBS containing 50 % glycerol, 0.5 % BSA and 0.02 % sodium azide.

    储存液

    Sodium azide

    注意事项

    This product contains Sodium azide: a POISONOUS AND HAZARDOUS SUBSTANCE which should be handled by trained staff only.

    注意事项

    Avoid repeated freeze/thaw cycles.

    储存条件

    -20 °C

    储存方法

    Store at -20°C.
  • Sindi, Klees, Dobelmann, Disse, Weigel, Lichtenberg, Ricci, Thewes, Deniz-Köseoglu, Hecker, Müntefering, Issberner, Gruchot, Hartung, Ruck, Berndt, Kurz, Stark, Küry, Engelhardt, Lyck, Meuth, Dietrich, Albrecht: "Flecainide mediated sodium channel blockade enhances blood brain barrier integrity and promotes neuroprotection in neuroinflammation." in: Scientific reports, Vol. 15, Issue 1, pp. 31032, (2025) (PubMed).

  • 抗原

    JAM2 (Junctional Adhesion Molecule 2 (JAM2))

    别名

    JAM-B

    分子量

    46 kDa

    基因ID

    58494

    UniProt

    P57087
You are here: