电话:
+86 (0512) 65829739
传真:
+86 (010) 6788 5057
电子邮件:
orders@antibodies-online.cn

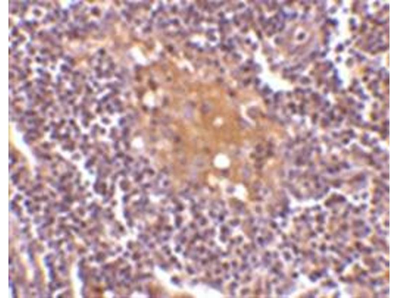
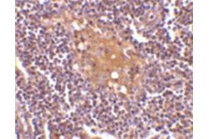
CD5L 抗体 (C-Term)

The 兔 多克隆 anti-CD5L antibody (ABIN318735) specifically detects CD5L in WB 和 IHC (p). The antibody is reactive with 人 和 小鼠 samples.
产品编号 ABIN318735
发货至: 中国
Contact our Customer Service for availability and price in your country. Contact Info

Our Local Distributor

中国
北京 101111
No. 88 KeChuang 6th Street
Beijing Economic Technological Development Area
Room 801-803
4A Biotech Co.,Ltd.
Tel +86 (0512) 65829739 传真 +86 (010) 6788 5057

Quick Overview for CD5L 抗体 (C-Term) (ABIN318735)

抗原

See all CD5L 抗体
CD5L (CD5 Molecule-Like (CD5L))

适用

  • 43
  • 32
  • 22
人, 小鼠

宿主

  • 65
  • 6
  • 2
  • 1

克隆类型

  • 64
  • 6
  • 2
多克隆

标记

  • 33
  • 12
  • 6
  • 2
  • 1
  • 1
  • 1
  • 1
  • 1
  • 1
  • 1
  • 1
  • 1
  • 1
  • 1
  • 1
  • 1
  • 1
  • 1
  • 1
  • 1
  • 1
  • 1
This CD5L antibody is un-conjugated

应用范围

  • 43
  • 17
  • 16
  • 13
  • 13
  • 11
  • 7
  • 7
  • 5
  • 4
  • 3
  • 3
  • 2
  • 1
  • 1
  • 1
Western Blotting (WB), Immunohistochemistry (Paraffin-embedded Sections) (IHC (p))
  • 抗原表位

    • 15
    • 9
    • 5
    • 3
    • 3
    • 3
    • 3
    • 2
    • 2
    • 2
    • 1
    • 1
    C-Term

    纯化方法

    Purified

    免疫原

    13 amino acid peptide sequence near the carboxy terminus of human CD5L.

    亚型

    IgG
  • 应用备注

    Western Blot: 0.5 - 1.0g/mL, detects a band of approximately 38 kDa in Raji cell lysates.
    Other applications not tested.
    Optimal dilutions are dependent on conditions and should be determined by the user.

    限制

    仅限研究用
  • 浓度

    1.0mg/mL

    缓冲液

    Phosphate buffered saline containing 0.02 % Sodium Azide

    储存液

    Sodium azide

    注意事项

    This product contains Sodium Azide: a POISONOUS AND HAZARDOUS SUBSTANCE, which should be handled by trained staff only.

    注意事项

    Avoid repeated freezing and thawing.

    储存条件

    4 °C/-20 °C

    储存方法

    Store the antibody undiluted at 2-8 °C for one month or (in aliquots) at -20 °C for longer.
  • 抗原

    CD5L (CD5 Molecule-Like (CD5L))

    别名

    CD5L

    背景

    CD5L is also known as Apoptosis Inhibitor expressed by Macrophages (AIM), and SP alpha. CD5L is a soluble 38kD glycoprotein which is specifically produced by mature macrophages, and has been shown to support their survival and enhance phagocytic function. CD5L expression is upregulated in response to LXR/RXR heterodimer activation. CD5L has been shown to mediate the survival of macrophages in atherosclerotic plaques.Synonyms: SP-ALPHA
You are here: