电话:
+86 (0512) 65829739
传真:
+86 (010) 6788 5057
电子邮件:
orders@antibodies-online.cn

CaMKIIbeta/gamma/delta 抗体 (pThr287)

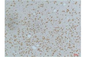
The 小鼠 单克隆 anti-CaMKIIbeta/gamma/delta antibody (Clone 4H2) (ABIN3181642) specifically detects CaMKIIbeta/gamma/delta in IHC. The antibody is reactive with 人, 小鼠 和 大鼠 samples.
产品编号 ABIN3181642
发货至: 中国
Contact our Customer Service for availability and price in your country. Contact Info

Our Local Distributor

中国
北京 101111
No. 88 KeChuang 6th Street
Beijing Economic Technological Development Area
Room 801-803
4A Biotech Co.,Ltd.
Tel +86 (0512) 65829739 传真 +86 (010) 6788 5057

Quick Overview for CaMKIIbeta/gamma/delta 抗体 (pThr287) (ABIN3181642)

抗原

CaMKIIbeta/gamma/delta

适用

  • 6
  • 6
  • 6
  • 1
人, 小鼠, 大鼠

宿主

  • 6
小鼠

克隆类型

  • 6
单克隆

标记

  • 6
This CaMKIIbeta/gamma/delta antibody is un-conjugated

应用范围

  • 6
  • 5
  • 5
  • 3
  • 2
Immunohistochemistry (IHC)

克隆位点

4H2
  • 抗原表位

    • 3
    • 1
    • 1
    pThr287

    特异性

    CaMKIIβ/γ/δ (Phospho Thr287) Mouse Monoclonal Antibody (4H2) detects endogenous levels of CaMKIIβ/γ/δ (Phospho Thr287)

    产品特性

    Mouse Monoclonal to CaMKIIβ/γ/δ (Phospho Thr287) (4H2).

    纯化方法

    The antibody was affinity-purified from mouse ascites by affinity-chromatography using specific immunogen.

    亚型

    IgG1
  • 应用备注

    IHC 1:100-200

    限制

    仅限研究用
  • 状态

    Liquid

    浓度

    1 mg/mL

    缓冲液

    Liquid in PBS containing 50 % glycerol, 0.5 % BSA and 0.02 % sodium azide.

    储存液

    Sodium azide

    注意事项

    This product contains Sodium azide: a POISONOUS AND HAZARDOUS SUBSTANCE which should be handled by trained staff only.

    注意事项

    Avoid repeated freeze/thaw cycles.

    储存条件

    -20 °C

    储存方法

    Store at -20°C.
  • 抗原

    CaMKIIbeta/gamma/delta

    基因ID

    816, 817, 818

    UniProt

    Q13554, Q13555, Q13557
You are here: