电话:
+86 (0512) 65829739
传真:
+86 (010) 6788 5057
电子邮件:
orders@antibodies-online.cn

TLR13 抗体

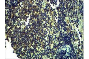
The 兔 多克隆 anti-TLR13 antibody (ABIN3181538) specifically detects TLR13 in IHC. The antibody is reactive with 小鼠, 大鼠 和 人 samples.
产品编号 ABIN3181538
发货至: 中国
Contact our Customer Service for availability and price in your country. Contact Info

Our Local Distributor

中国
北京 101111
No. 88 KeChuang 6th Street
Beijing Economic Technological Development Area
Room 801-803
4A Biotech Co.,Ltd.
Tel +86 (0512) 65829739 传真 +86 (010) 6788 5057

Quick Overview for TLR13 抗体 (ABIN3181538)

抗原

See all TLR13 (Tlr13) 抗体
TLR13 (Tlr13) (Toll-Like Receptor 13 (Tlr13))

适用

小鼠, 大鼠, 人

宿主

  • 7

克隆类型

  • 7
多克隆

标记

  • 5
  • 1
  • 1
This TLR13 antibody is un-conjugated

应用范围

  • 7
  • 5
  • 5
  • 3
Immunohistochemistry (IHC)
  • 特异性

    The antibody detects endogenous TLR13 protein.

    产品特性

    Rabbit Polyclonal to TLR13.

    纯化方法

    The antibody was affinity-purified from rabbit antiserum by affinity-chromatography using epitope-specific immunogen.

    免疫原

    Recombinant Protein

    亚型

    IgG
  • 应用备注

    IHC 1:200-500

    限制

    仅限研究用
  • 状态

    Liquid

    浓度

    1 mg/mL

    缓冲液

    Liquid in PBS containing 50 % glycerol, 0.5 % BSA and 0.02 % sodium azide.

    储存液

    Sodium azide

    注意事项

    This product contains Sodium azide: a POISONOUS AND HAZARDOUS SUBSTANCE which should be handled by trained staff only.

    注意事项

    Avoid repeated freeze/thaw cycles.

    储存条件

    -20 °C

    储存方法

    Store at -20°C.
  • 抗原

    TLR13 (Tlr13) (Toll-Like Receptor 13 (Tlr13))

    别名

    TLR13

    基因ID

    279572

    UniProt

    Q6R5N8

    途径

    Activation of Innate immune Response
You are here: