电话:
+86 (0512) 65829739
传真:
+86 (010) 6788 5057
电子邮件:
orders@antibodies-online.cn

LAMB2 抗体

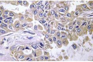
The 兔 多克隆 anti-LAMB2 antibody (ABIN317724) specifically detects LAMB2 in WB, IHC (p) 和 EIA. The antibody is reactive with 人, 小鼠 和 大鼠 samples.
产品编号 ABIN317724
发货至: 中国
Contact our Customer Service for availability and price in your country. Contact Info

Our Local Distributor

中国
北京 101111
No. 88 KeChuang 6th Street
Beijing Economic Technological Development Area
Room 801-803
4A Biotech Co.,Ltd.
Tel +86 (0512) 65829739 传真 +86 (010) 6788 5057

Quick Overview for LAMB2 抗体 (ABIN317724)

抗原

See all LAMB2 抗体
LAMB2 (Laminin, beta 2 (Laminin S) (LAMB2))

适用

人, 小鼠, 大鼠

宿主

  • 57
  • 2

克隆类型

  • 57
  • 2
多克隆

标记

  • 24
  • 7
  • 5
  • 4
  • 1
  • 1
  • 1
  • 1
  • 1
  • 1
  • 1
  • 1
  • 1
  • 1
  • 1
  • 1
  • 1
  • 1
  • 1
  • 1
  • 1
  • 1
  • 1
This LAMB2 antibody is un-conjugated

应用范围

  • 33
  • 24
  • 22
  • 13
  • 13
  • 10
  • 8
  • 6
  • 3
  • 3
  • 2
  • 2
  • 1
Western Blotting (WB), Immunohistochemistry (Paraffin-embedded Sections) (IHC (p)), Enzyme Immunoassay (EIA)
  • 特异性

    This antibody detects endogenous levels of Laminin beta-2 protein. (region surrounding Cys91)

    交叉反应 (详细)

    Species reactivity (expected):Mouse and Rat.
    Species reactivity (tested):Human.

    纯化方法

    Affinity Chromatography using epitope-specific immunogen
  • 应用备注

    ELISA: 1/5000-1/10000. Western Blot: 1/500-1/1000. Immunohistochemistry: 1/50-1/200.
    Other applications not tested.
    Optimal dilutions are dependent on conditions and should be determined by the user.

    限制

    仅限研究用
  • 浓度

    1.0 mg/mL

    缓冲液

    Phosphate buffered saline (PBS), pH 7.2., 0.05 % Sodium Azide

    储存液

    Sodium azide

    注意事项

    This product contains sodium azide: a POISONOUS AND HAZARDOUS SUBSTANCE which should be handled by trained staff only.

    注意事项

    Avoid repeated freezing and thawing.

    储存条件

    4 °C/-20 °C

    储存方法

    Store undiluted at 2-8 °C for one month or (in aliquots) at -20 °C for longer.
  • 抗原

    LAMB2 (Laminin, beta 2 (Laminin S) (LAMB2))

    别名

    Laminin beta-2

    背景

    The Laminins comprise a growing family of disulfide-linked heterotrimers consisting of three genetically distinct polypeptide chains, designated alpha, beta and gamma. A major component of the basal lamina, Laminins play a crucial role in providing a scaffolding upon which tissues are assembled and which serves as a physical barrier separating specialized tissues. During embryogenesis and early development, cells migrate along basement membranes, which are required for the polarization of cells. The beta-2 laminin chain plays a role in melanoma spread, promoting tumor migration along the abluminal surface of vessel, a phenomenon which has been termed extra-vascular migratory metastasis.Synonyms: LAMB2, LAMS, Laminin B1s chain, Laminin-11 subunit beta, Laminin-14 subunit beta, Laminin-15 subunit beta, Laminin-3 subunit beta, Laminin-4 subunit beta, Laminin-7 subunit beta, Laminin-9 subunit beta, S-laminin

    分子量

    approx. 210 kDa

    基因ID

    3913

    NCBI登录号

    NP_002283

    UniProt

    P55268

    途径

    Skeletal Muscle Fiber Development
You are here: