电话:
+86 (0512) 65829739
传真:
+86 (010) 6788 5057
电子邮件:
orders@antibodies-online.cn

PSPH 抗体 (N-Term)

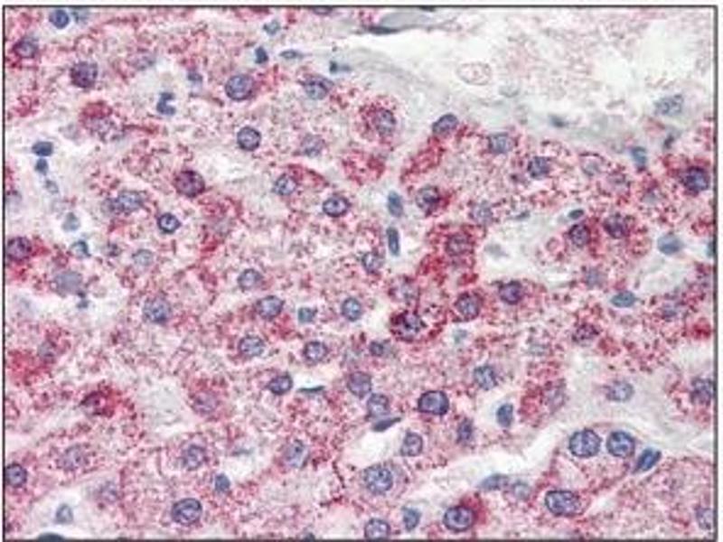
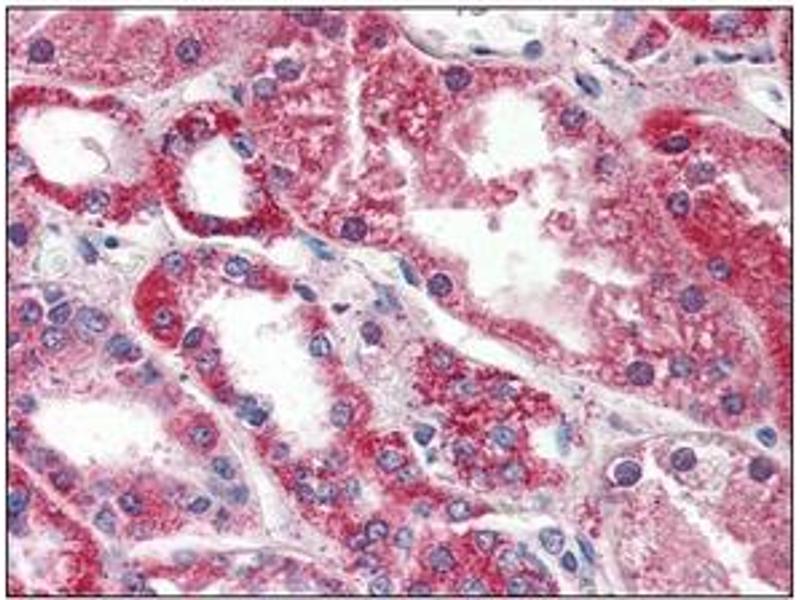
The 小鼠 单克隆 anti-PSPH antibody (Clone 3G12) (ABIN317526) specifically detects PSPH in WB, IHC (p) 和 EIA. The antibody is reactive with 人 和 小鼠 samples.
产品编号 ABIN317526
发货至: 中国
Contact our Customer Service for availability and price in your country. Contact Info

Our Local Distributor

中国
北京 101111
No. 88 KeChuang 6th Street
Beijing Economic Technological Development Area
Room 801-803
4A Biotech Co.,Ltd.
Tel +86 (0512) 65829739 传真 +86 (010) 6788 5057

Quick Overview for PSPH 抗体 (N-Term) (ABIN317526)

抗原

See all PSPH 抗体
PSPH (Phosphoserine Phosphatase (PSPH))

适用

  • 34
  • 16
  • 5
  • 3
  • 3
  • 3
  • 3
  • 3
  • 3
  • 3
  • 1
  • 1
人, 小鼠

宿主

  • 26
  • 8
  • 1
小鼠

克隆类型

  • 29
  • 6
单克隆

标记

  • 25
  • 2
  • 2
  • 2
  • 2
  • 1
  • 1
This PSPH antibody is un-conjugated

应用范围

  • 28
  • 16
  • 7
  • 7
  • 6
  • 4
  • 2
  • 2
  • 2
  • 1
Western Blotting (WB), Immunohistochemistry (Paraffin-embedded Sections) (IHC (p)), Enzyme Immunoassay (EIA)

克隆位点

3G12
  • 抗原表位

    • 13
    • 9
    • 2
    • 2
    • 2
    • 1
    • 1
    • 1
    • 1
    • 1
    • 1
    AA 1-225, N-Term

    特异性

    The antibody recognizes Phosphoserine Phosphatase.

    产品特性

    Synonyms: PSPH, PSPase, PSP, EC=3.1.3.3, O-phosphoserine phosphohydrolase, L-3-phosphoserinephosphatase

    纯化方法

    Protein-G affinity chromatography

    免疫原

    Recombinant human PSP (1-225 aa) purified from E. coli

    亚型

    IgG1
  • 应用备注

    ELISA. Western blot (1/1,000-1/2,000)Recommended Starting Dilution: 1/1,000. Immunohistochemistry on Paraffin Sections (10 μg/mL).
    Other applications not tested.
    Optimal dilutions are dependent on conditions and should be determined by the user.

    限制

    仅限研究用
  • 状态

    Liquid

    浓度

    1.0 mg/mL

    缓冲液

    PBS, pH 7.4 containing 0.09 % Sodium Azide as preservative.

    储存液

    Sodium azide

    注意事项

    This product contains sodium azide: a POISONOUS AND HAZARDOUS SUBSTANCE which should be handled by trained staff only.

    储存条件

    4 °C/-20 °C

    储存方法

    Store the antibody undiluted at 2-8 °C for one month or (in aliquots) at -20 °C for longer. Avoid repeated freezing and thawing.
    Shelf life: one year from despatch.

    有效期

    12 months
  • 抗原

    PSPH (Phosphoserine Phosphatase (PSPH))

    别名

    Phosphoserine Phosphatase

    背景

    Human phosphoserine phosphatase (HPSP), specific for D- and L- phosphoserine, has been identified in all human tissues. HPSP is a Mg(2+)-dependent phosphoserine phosphatase. The three dimensional structure of HPSP reveals the structural and functional role of the divalent cation in the active site of phosphatases. In particular, the complex structures reveal that the open-closed environmental change of the active site, generated by local rearrangement of the alpha-helical bundle domain, is important for the substrate recognition and hydrolysis.Synonyms: EC=3.1.3.3, L-3-phosphoserine phosphatase, O-phosphoserine phosphohydrolase, PSP, PSPH, PSPase

    基因ID

    5723

    UniProt

    P78330

    途径

    Warburg Effect
You are here: