电话:
+86 (0512) 65829739
传真:
+86 (010) 6788 5057
电子邮件:
orders@antibodies-online.cn

BAG4 抗体 (Internal Region)

The 山羊 多克隆 anti-BAG4 antibody (ABIN308469) specifically detects BAG4 in WB, ELISA 和 IHC. The antibody is reactive with 人 samples.
产品编号 ABIN308469
发货至: 中国
Contact our Customer Service for availability and price in your country. Contact Info

Our Local Distributor

中国
北京 101111
No. 88 KeChuang 6th Street
Beijing Economic Technological Development Area
Room 801-803
4A Biotech Co.,Ltd.
Tel +86 (0512) 65829739 传真 +86 (010) 6788 5057

Quick Overview for BAG4 抗体 (Internal Region) (ABIN308469)

抗原

See all BAG4 抗体
BAG4 (BCL2-Associated Athanogene 4 (BAG4))

适用

  • 59
  • 19
  • 18
  • 4
  • 4
  • 3
  • 2
  • 2
  • 2
  • 2
  • 2
  • 1

宿主

  • 55
  • 3
  • 3
  • 1
山羊

克隆类型

  • 52
  • 10
多克隆

标记

  • 31
  • 4
  • 3
  • 3
  • 3
  • 3
  • 3
  • 3
  • 3
  • 2
  • 1
  • 1
  • 1
  • 1
This BAG4 antibody is un-conjugated

应用范围

  • 44
  • 19
  • 19
  • 12
  • 5
  • 3
  • 2
  • 2
  • 1
Western Blotting (WB), ELISA, Immunohistochemistry (IHC)

质量等级

Verified
  • 抗原表位

    • 10
    • 8
    • 6
    • 6
    • 2
    • 2
    • 2
    • 1
    • 1
    • 1
    • 1
    Internal Region

    原理

    SODD

    序列

    GNATSDHPNN QDQSS

    交叉反应

    纯化方法

    Purified from goat serum by ammonium sulphate precipitation followed by antigen affinity chromatography using the immunizing peptide.

    免疫原

    Peptide with sequence C-GNATSDHPNNQDQSS, from the internal region of the protein sequence according to NP_004865.1.

    亚型

    IgG
  • 应用备注

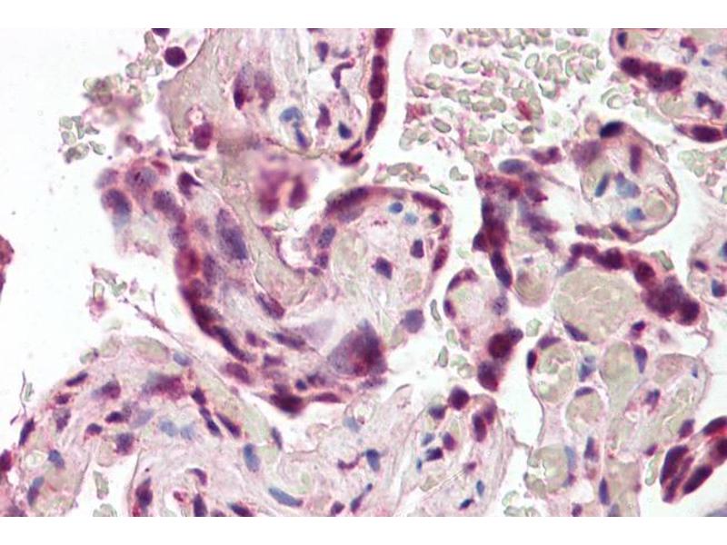
    Immunohistochemistry: Paraffin embedded Human Placenta. Recommended concentration: 3.75 μg/mL.

    Western Blot: Approx. 60 kDa band observed in cell lines HEK293 and HeLa lysates (calculated MW of 49.6 kDa according to NP_004865.1). The observed molecular weight corresponds to earlier findings in literature with different antibodies (Takada et al, Mol

    Peptide ELISA: antibody detection limit dilution 1:8000.

    限制

    仅限研究用
  • 状态

    Liquid

    浓度

    0.5 mg/mL

    缓冲液

    Supplied at 0.5 mg/mL in Tris saline, 0.02 % sodium azide, pH 7.3 with 0.5 % bovine serum albumin.

    储存液

    Sodium azide

    注意事项

    This product contains Sodium azide: a POISONOUS AND HAZARDOUS SUBSTANCE which should be handled by trained staff only.

    注意事项

    Minimize freezing and thawing.

    储存条件

    -20 °C

    储存方法

    Aliquot and store at -20°C, with minimal freeze/thawing. A working aliquot may be refrigerated at 4°C for a few weeks and still remain viable.
  • 抗原

    BAG4 (BCL2-Associated Athanogene 4 (BAG4))

    别名

    BAG4

    背景

    BAG4, BCL2-associated athanogene 4, BAG-4, SODD, BAG-family molecular chaperone regulator-4, silencer of death domains

    基因ID

    9530

    NCBI登录号

    NP_004865

    途径

    Regulation of Actin Filament Polymerization
You are here: