COG7 抗体 (Internal Region)
Our Local Distributor
北京 101111
Quick Overview for COG7 抗体 (Internal Region) (ABIN308445)
抗原
See all COG7 抗体适用
宿主
克隆类型
标记
应用范围
质量等级
-
-
抗原表位
- Internal Region
-
原理
- COG7
-
序列
- KTRPEDYRQV SK
-
交叉反应
- 人
-
纯化方法
- Purified from goat serum by ammonium sulphate precipitation followed by antigen affinity chromatography using the immunizing peptide.
-
免疫原
- Peptide with sequence C-KTRPEDYRQVSK, from the internal region of the protein sequence according to NP_705831.1.
-
亚型
- IgG
-
-
-
-
应用备注
-
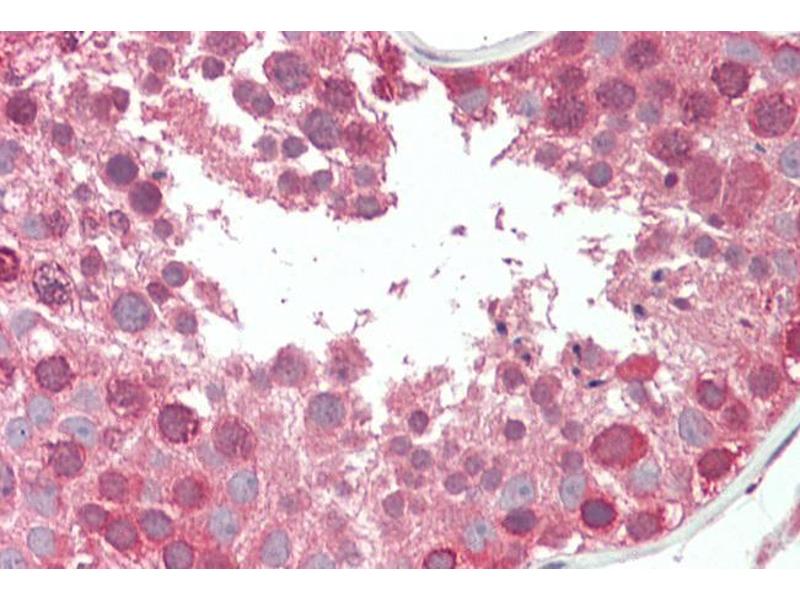
Immunohistochemistry: Paraffin embedded Human Testis. Recommended concentration: 5 μg/mL.
Western Blot: Approx. 85 kDa band observed in lysates cell lines HeLa, Jurkat and MOLT4 (calculated MW of 86.3 kDa according to NP_705831.1). Recommended concentration: 0.03-0.1 μg/mL. Primary incubation was 1 hour.
Peptide ELISA: antibody detection limit dilution 1:32000.
-
限制
- 仅限研究用
-
-
-
状态
- Liquid
-
浓度
- 0.5 mg/mL
-
缓冲液
- Supplied at 0.5 mg/mL in Tris saline, 0.02 % sodium azide, pH 7.3 with 0.5 % bovine serum albumin.
-
储存液
- Sodium azide
-
注意事项
- This product contains Sodium azide: a POISONOUS AND HAZARDOUS SUBSTANCE which should be handled by trained staff only.
-
注意事项
- Minimize freezing and thawing.
-
储存条件
- -20 °C
-
储存方法
- Aliquot and store at -20°C, with minimal freeze/thawing. A working aliquot may be refrigerated at 4°C for a few weeks and still remain viable.
-
-
- COG7 (Component of Oligomeric Golgi Complex 7 (COG7))
-
别名
- COG7
-
背景
- COG7, component of oligomeric golgi complex 7, CDG2E
-
基因ID
- 91949
-
NCBI登录号
- NP_705831
抗原
-