电话:
+86 (0512) 65829739
传真:
+86 (010) 6788 5057
电子邮件:
orders@antibodies-online.cn

MAG 抗体 (C-Term)

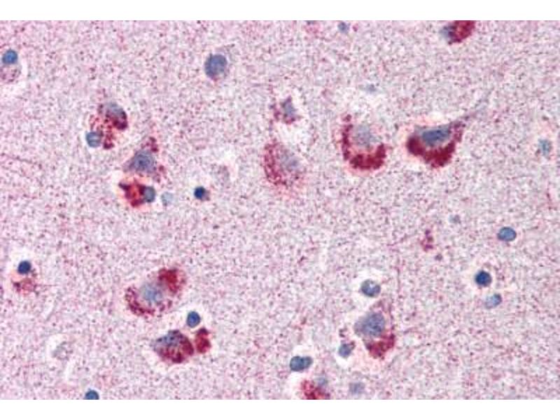
The 兔 多克隆 anti-MAG antibody is suitable to detect MAG in samples from 人 和 大鼠. It has been validated for WB, IHC, IP, IF 和 IHC (p).
产品编号 ABIN307172
发货至: 中国
Contact our Customer Service for availability and price in your country. Contact Info

Our Local Distributor

中国
北京 101111
No. 88 KeChuang 6th Street
Beijing Economic Technological Development Area
Room 801-803
4A Biotech Co.,Ltd.
Tel +86 (0512) 65829739 传真 +86 (010) 6788 5057

Quick Overview for MAG 抗体 (C-Term) (ABIN307172)

抗原

See all MAG 抗体
MAG (Myelin Associated Glycoprotein (MAG))

适用

  • 79
  • 45
  • 40
  • 3
  • 2
  • 2
  • 1
  • 1
  • 1
  • 1
  • 1
  • 1
  • 1
人, 大鼠

宿主

  • 66
  • 11
  • 5

克隆类型

  • 55
  • 27
多克隆

标记

  • 40
  • 5
  • 4
  • 3
  • 2
  • 2
  • 2
  • 2
  • 2
  • 2
  • 2
  • 2
  • 1
  • 1
  • 1
  • 1
  • 1
  • 1
  • 1
  • 1
  • 1
  • 1
  • 1
  • 1
  • 1
  • 1
This MAG antibody is un-conjugated

应用范围

  • 67
  • 28
  • 22
  • 15
  • 13
  • 13
  • 13
  • 10
  • 4
  • 3
  • 3
  • 1
  • 1
  • 1
Western Blotting (WB), Immunohistochemistry (IHC), Immunoprecipitation (IP), Immunofluorescence (IF), Immunohistochemistry (Paraffin-embedded Sections) (IHC (p))
  • 抗原表位

    • 15
    • 8
    • 6
    • 5
    • 3
    • 3
    • 2
    • 2
    • 2
    • 2
    • 2
    • 2
    • 1
    • 1
    • 1
    C-Term

    特异性

    Reacts with the shared C-terminal region of the small and large myelin-associated glycoprotein.

    纯化方法

    Immunoaffinity purified

    免疫原

    Human S/L-MAG fusion protein with a C-terminal region insert.

    Type of Immunogen: Fusion protein
  • 应用备注

    Approved: IF, IHC, IHC-P (5 μg/mL), IP, WB (1 - 3 μg/mL)

    Usage: Immunohistochemistry: This antibody was validated for use in immunohistochemistry on a panel of 21 formalin-fixed, paraffin-embedded (FFPE) human tissues after heat induced antigen retrieval in  pH 6.0 citrate buffer. After incubation with the primary antibody, slides were incubated with biotinylated secondary antibody, followed by alkaline phosphatase-streptavidin and chromogen. The stained slides were evaluated by a pathologist to confirm staining specificity. The optimal working concentration for this antibody was determined to be 5 μg/mL. Immunoprecipitation: 1-3 μg/IP reaction. Immunofluorescence: 10-30 μg/ul. Positive control: Rat brain homogenates.

    说明

    Target Species of Antibody: Human

    限制

    仅限研究用
  • 状态

    Liquid

    浓度

    Lot specific

    缓冲液

    PBS,  pH 7.4, 0.1 % sodium azide.

    储存液

    Sodium azide

    注意事项

    This product contains Sodium azide: a POISONOUS AND HAZARDOUS SUBSTANCE which should be handled by trained staff only.

    注意事项

    Avoid freeze-thaw cycles.

    储存条件

    4 °C,-20 °C

    储存方法

    Short term: 4°C. Long term: Store at -20°C. Avoid freeze-thaw cycles.
  • 抗原

    MAG (Myelin Associated Glycoprotein (MAG))

    别名

    MAG

    背景

    Name/Gene ID: MAG
    Family: CEA

    Synonyms: MAG, GMA, Myelin associated glycoprotein, S-MAG, SIGLEC4A, SIGLEC-4A, Myelin-associated glycoprotein

    基因ID

    4099

    UniProt

    P20916

    途径

    Neurotrophin Signaling Pathway
You are here: