电话:
+86 (0512) 65829739
传真:
+86 (010) 6788 5057
电子邮件:
orders@antibodies-online.cn

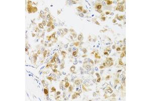
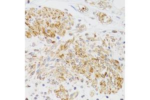
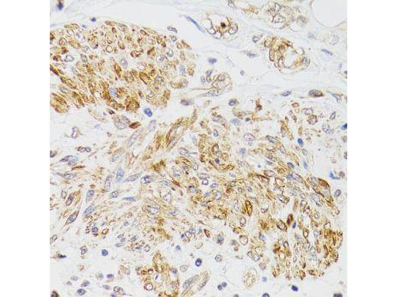
MYO5A 抗体

The 兔 多克隆 anti-MYO5A antibody is suitable to detect MYO5A in samples from 人, 小鼠 和 大鼠. It has been validated for WB 和 IHC.
产品编号 ABIN3068723
发货至: 中国
Contact our Customer Service for availability and price in your country. Contact Info

Our Local Distributor

中国
北京 101111
No. 88 KeChuang 6th Street
Beijing Economic Technological Development Area
Room 801-803
4A Biotech Co.,Ltd.
Tel +86 (0512) 65829739 传真 +86 (010) 6788 5057

Quick Overview for MYO5A 抗体 (ABIN3068723)

抗原

See all MYO5A 抗体
MYO5A (Myosin VA (MYO5A))

适用

  • 22
  • 7
  • 5
  • 1
人, 小鼠, 大鼠

宿主

  • 21
  • 1

克隆类型

  • 22
多克隆

标记

  • 12
  • 2
  • 1
  • 1
  • 1
  • 1
  • 1
  • 1
  • 1
  • 1
This MYO5A antibody is un-conjugated

应用范围

  • 12
  • 11
  • 4
  • 4
  • 2
  • 1
Western Blotting (WB), Immunohistochemistry (IHC)
You are here: