电话:
+86 (0512) 65829739
传真:
+86 (010) 6788 5057
电子邮件:
orders@antibodies-online.cn

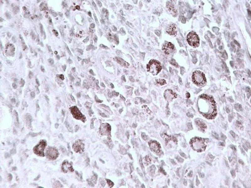
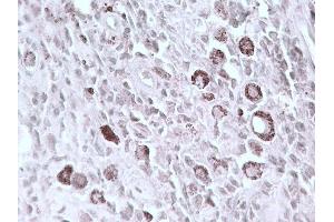
VSX2 抗体 (C-Term)

The 绵羊 多克隆 anti-VSX2 antibody (ABIN306798) specifically detects VSX2 in WB 和 IHC (fro). The antibody is reactive with 人 samples.
产品编号 ABIN306798
发货至: 中国
Contact our Customer Service for availability and price in your country. Contact Info

Our Local Distributor

中国
北京 101111
No. 88 KeChuang 6th Street
Beijing Economic Technological Development Area
Room 801-803
4A Biotech Co.,Ltd.
Tel +86 (0512) 65829739 传真 +86 (010) 6788 5057

Quick Overview for VSX2 抗体 (C-Term) (ABIN306798)

抗原

See all VSX2 抗体
VSX2 (Visual System Homeobox 2 (VSX2))

适用

  • 40
  • 24
  • 20
  • 1
  • 1
  • 1
  • 1
  • 1
  • 1

宿主

  • 43
  • 4
  • 1
绵羊

克隆类型

  • 35
  • 13
多克隆

标记

  • 27
  • 5
  • 4
  • 2
  • 1
  • 1
  • 1
  • 1
  • 1
  • 1
  • 1
  • 1
  • 1
  • 1
This VSX2 antibody is un-conjugated

应用范围

  • 48
  • 14
  • 11
  • 3
  • 1
  • 1
  • 1
Western Blotting (WB), Immunohistochemistry (Frozen Sections) (IHC (fro))
  • 抗原表位

    • 9
    • 9
    • 7
    • 3
    • 2
    • 2
    • 2
    • 1
    • 1
    • 1
    • 1
    • 1
    • 1
    • 1
    C-Term

    交叉反应

    小鸡, 人, 小鼠, 大鼠

    产品特性

    Ceh-10 homeodomain-containing homolog,Chx10 is a 46 kDa homeodomain protein of the paired-like class that is essential for development of the mammalian eye. Mutations in Chx10 cause microphthalmia, a cause of congenital blindness in humans, and the ocular retardation (or) phenotype in mice. In the developing mouse retina Chx10 is expressed in retinal progenitors, while in the mature retina, Chx10 expression becomes restricted to bipolar neurons. Concurrent with these expression patterns, the Chx10-/- (or) retina is thin due to a defect in proliferation of retinal progenitors, and lacks bipolar neurons. Chx10 is also expressed in the developing brainstem, thalamus, and spinal cord.

    纯化方法

    Ammonium Sulfate Precipitation

    亚型

    IgG
  • 应用备注

    Detects Chx10 by Western blot at 0.5 to 1 μg/mL. Detects a 46 kDa band in mouse and rat retinal tissue lysates. Optimal concentration should be evaluated by serial dilutions. Suitable for use against recombinant proteins conjugated to OVA, GST, His tags and other.

    限制

    仅限研究用
  • 缓冲液

    Provided as solution in phosphate buffered saline with 0.08 % sodium azide,Antibody raised against a recombinant protein corresponding to amino acids 264 to 361 derived from the C-terminal region of the human Chx10 protein conjugated to KLH.

    储存液

    Sodium azide

    注意事项

    This product contains Sodium azide: a POISONOUS AND HAZARDOUS SUBSTANCE which should be handled by trained staff only.

    储存条件

    -20 °C

    储存方法

    Product should be stored at -20°C. Aliquot to avoid freeze/thaw cycles
  • 抗原

    VSX2 (Visual System Homeobox 2 (VSX2))

    别名

    chx 10 (CT)

    UniProt

    P58304

    途径

    Dopaminergic Neurogenesis
You are here: