电话:
+86 (0512) 65829739
传真:
+86 (010) 6788 5057
电子邮件:
orders@antibodies-online.cn

TMC1 抗体

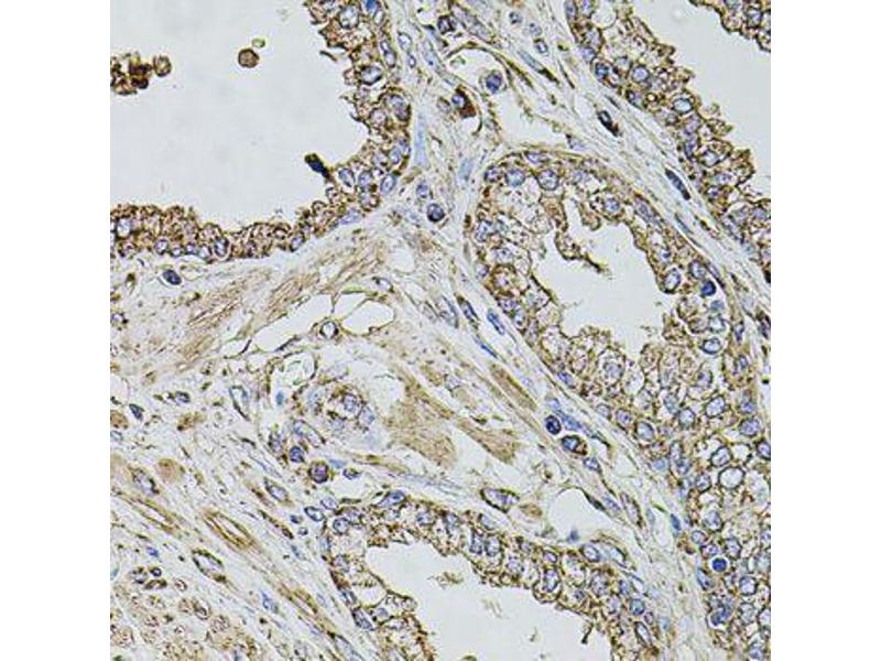
The 兔 多克隆 anti-TMC1 antibody (ABIN3060423) specifically detects TMC1 in WB 和 IHC. The antibody is reactive with 人, 小鼠 和 大鼠 samples.
产品编号 ABIN3060423
发货至: 中国
Contact our Customer Service for availability and price in your country. Contact Info

Our Local Distributor

中国
北京 101111
No. 88 KeChuang 6th Street
Beijing Economic Technological Development Area
Room 801-803
4A Biotech Co.,Ltd.
Tel +86 (0512) 65829739 传真 +86 (010) 6788 5057

Quick Overview for TMC1 抗体 (ABIN3060423)

抗原

See all TMC1 抗体
TMC1 (Transmembrane Channel-Like 1 (TMC1))

适用

人, 小鼠, 大鼠

宿主

  • 5

克隆类型

  • 5
多克隆

标记

  • 5
This TMC1 antibody is un-conjugated

应用范围

  • 5
  • 3
  • 2
  • 1
  • 1
Western Blotting (WB), Immunohistochemistry (IHC)
  • 纯化方法

    Affinity purified

    免疫原

    The immunogen used to raise this antibody has a length of 760 amino acids.

    亚型

    IgG
  • 应用备注

    Optimal working dilution should be determined by the investigator.

    限制

    仅限研究用
  • 状态

    Liquid

    浓度

    Lot specific

    缓冲液

    PBS,  pH 7.3, 0.02 % sodium azide, 50 % glycerol.

    储存液

    Sodium azide

    注意事项

    This product contains Sodium azide: a POISONOUS AND HAZARDOUS SUBSTANCE which should be handled by trained staff only.

    储存条件

    -20 °C

    储存方法

    Aliquot and store at -20 °C. Avoid repeated freeze/thaw cycles.
  • 抗原

    TMC1 (Transmembrane Channel-Like 1 (TMC1))

    别名

    TMC1

    分子量

    Calculated MW: 87 kDa
    Observed MW: 88 kDa

    基因ID

    117531

    UniProt

    Q8TDI8

    途径

    Sensory Perception of Sound
You are here: