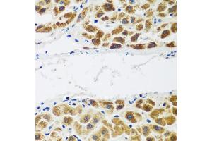
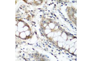
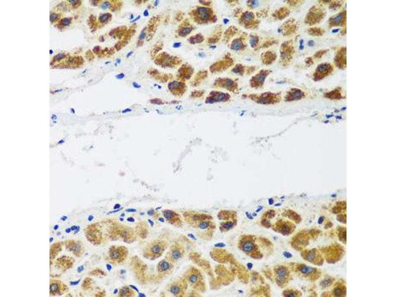
NAT15 抗体
This anti-NAT15 antibody is a 兔 多克隆 antibody detecting NAT15 in WB 和 IHC. Suitable for 人, 小鼠 和 大鼠.
Quick Overview for NAT15 抗体 (ABIN3035747)
抗原
See all NAT15 抗体
NAT15
(N-Acetyltransferase 15 (NAT15))
适用
人, 小鼠, 大鼠
宿主
兔
克隆类型
多克隆
标记
This NAT15 antibody is un-conjugated
应用范围
Western Blotting (WB), Immunohistochemistry (IHC)
-
-
纯化方法
-
Affinity purified
-
亚型
-
IgG
-
-
-
应用备注
-
Optimal working dilution should be determined by the investigator.
-
限制
-
仅限研究用
-
-
状态
-
Liquid
-
浓度
-
> 1 mg/mL
-
缓冲液
-
PBS, pH 7.3, 0.02 % sodium azide, 50 % glycerol.
-
储存液
-
Sodium azide
-
注意事项
-
This product contains Sodium azide: a POISONOUS AND HAZARDOUS SUBSTANCE which should be handled by trained staff only.
-
储存条件
-
-20 °C
-
储存方法
-
Aliquot and store at -20 °C. Avoid repeated freeze/thaw cycles.
-
抗原
-
NAT15
(N-Acetyltransferase 15 (NAT15))
-
别名
-
NAA60
-
分子量
-
Calculated MW: 19 kDa/20 kDa/27 kDa/28 kDa
Observed MW: 27 kDa
-
基因ID
-
79903
-
UniProt
-
Q9H7X0
-
You are here:
-
首页
-
原发性抗体
-
anti-NAT15 抗体 (ABIN3035747)