电话:
+86 (0512) 65829739
传真:
+86 (010) 6788 5057
电子邮件:
orders@antibodies-online.cn

PEX3 抗体

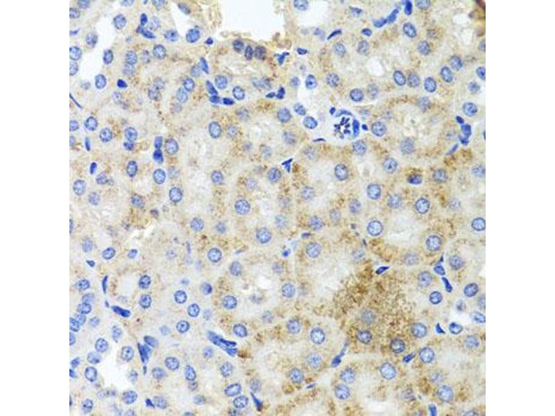
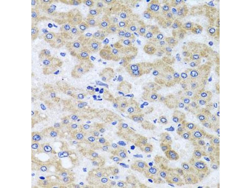
The 兔 多克隆 anti-PEX3 antibody (ABIN3048677) specifically detects PEX3 in WB 和 IHC. The antibody is reactive with 人, 小鼠 和 大鼠 samples.
产品编号 ABIN3048677
发货至: 中国
Contact our Customer Service for availability and price in your country. Contact Info

Our Local Distributor

中国
北京 101111
No. 88 KeChuang 6th Street
Beijing Economic Technological Development Area
Room 801-803
4A Biotech Co.,Ltd.
Tel +86 (0512) 65829739 传真 +86 (010) 6788 5057

Quick Overview for PEX3 抗体 (ABIN3048677)

抗原

See all PEX3 抗体
PEX3 (Peroxisomal Biogenesis Factor 3 (PEX3))

适用

  • 20
  • 12
  • 11
  • 4
  • 3
  • 2
  • 2
  • 2
  • 2
  • 1
  • 1
  • 1
  • 1
  • 1
  • 1
人, 小鼠, 大鼠

宿主

  • 16
  • 4

克隆类型

  • 18
  • 2
多克隆

标记

  • 19
  • 1
This PEX3 antibody is un-conjugated

应用范围

  • 19
  • 12
  • 10
  • 1
  • 1
  • 1
Western Blotting (WB), Immunohistochemistry (IHC)
You are here: