电话:
+86 (0512) 65829739
传真:
+86 (010) 6788 5057
电子邮件:
orders@antibodies-online.cn

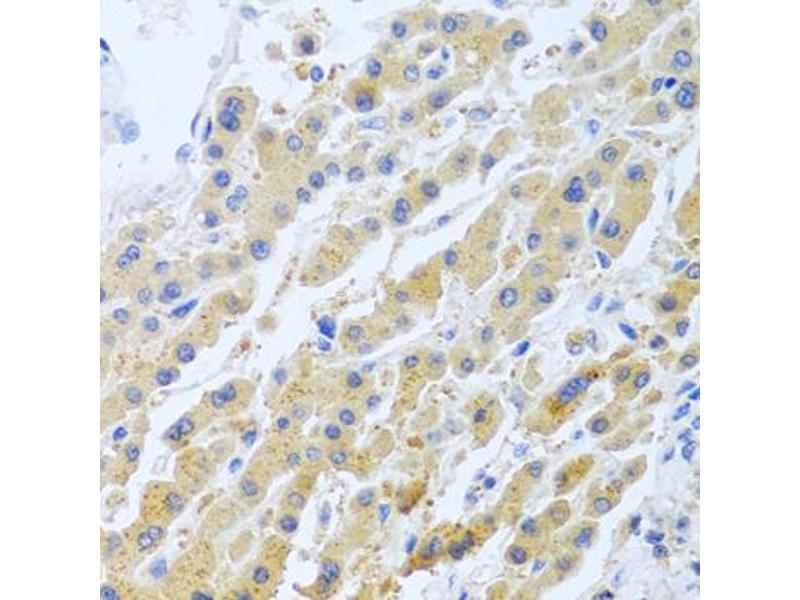
Stanniocalcin 1 抗体

The 兔 多克隆 anti-Stanniocalcin 1 antibody is suitable to detect Stanniocalcin 1 in samples from 人, 小鼠 和 大鼠. It has been validated for WB 和 IHC.
产品编号 ABIN3048501
发货至: 中国
Contact our Customer Service for availability and price in your country. Contact Info

Our Local Distributor

中国
北京 101111
No. 88 KeChuang 6th Street
Beijing Economic Technological Development Area
Room 801-803
4A Biotech Co.,Ltd.
Tel +86 (0512) 65829739 传真 +86 (010) 6788 5057

Quick Overview for Stanniocalcin 1 抗体 (ABIN3048501)

抗原

See all Stanniocalcin 1 (STC1) 抗体
Stanniocalcin 1 (STC1)

适用

  • 66
  • 10
  • 9
  • 4
  • 3
  • 3
  • 2
  • 2
  • 2
  • 2
  • 1
  • 1
人, 小鼠, 大鼠

宿主

  • 62
  • 6

克隆类型

  • 51
  • 17
多克隆

标记

  • 33
  • 6
  • 6
  • 3
  • 3
  • 3
  • 2
  • 2
  • 2
  • 2
  • 2
  • 2
  • 1
  • 1
This Stanniocalcin 1 antibody is un-conjugated

应用范围

  • 44
  • 30
  • 20
  • 15
  • 5
  • 4
  • 1
  • 1
  • 1
  • 1
Western Blotting (WB), Immunohistochemistry (IHC)
You are here: