电话:
+86 (0512) 65829739
传真:
+86 (010) 6788 5057
电子邮件:
orders@antibodies-online.cn

ZNF20 抗体

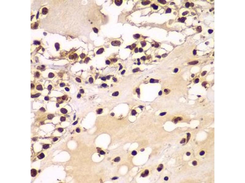
The 兔 多克隆 anti-ZNF20 antibody (ABIN3047743) specifically detects ZNF20 in WB 和 IHC. The antibody is reactive with 人, 小鼠 和 大鼠 samples.
产品编号 ABIN3047743
发货至: 中国
Contact our Customer Service for availability and price in your country. Contact Info

Our Local Distributor

中国
北京 101111
No. 88 KeChuang 6th Street
Beijing Economic Technological Development Area
Room 801-803
4A Biotech Co.,Ltd.
Tel +86 (0512) 65829739 传真 +86 (010) 6788 5057

Quick Overview for ZNF20 抗体 (ABIN3047743)

抗原

See all ZNF20 抗体
ZNF20 (Zinc Finger Protein 20 (ZNF20))

适用

  • 24
  • 3
  • 1
  • 1
人, 小鼠, 大鼠

宿主

  • 24

克隆类型

  • 23
多克隆

标记

  • 10
  • 1
  • 1
  • 1
  • 1
  • 1
  • 1
  • 1
  • 1
  • 1
  • 1
  • 1
  • 1
  • 1
  • 1
This ZNF20 antibody is un-conjugated

应用范围

  • 24
  • 13
  • 13
  • 5
  • 5
  • 3
  • 3
  • 2
  • 1
Western Blotting (WB), Immunohistochemistry (IHC)
You are here: