电话:
+86 (0512) 65829739
传真:
+86 (010) 6788 5057
电子邮件:
orders@antibodies-online.cn

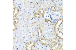
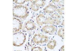
CGB7 抗体

This anti-CGB7 antibody is a 兔 多克隆 antibody detecting CGB7 in WB 和 IHC. Suitable for 人, 小鼠 和 大鼠.
产品编号 ABIN3034500
发货至: 中国

Quick Overview for CGB7 抗体 (ABIN3034500)

抗原

See all CGB7 抗体
CGB7 (Chorionic Gonadotropin, beta Polypeptide 7 (CGB7))

适用

人, 小鼠, 大鼠

宿主

  • 3
  • 2

克隆类型

  • 3
  • 2
多克隆

标记

  • 5
This CGB7 antibody is un-conjugated

应用范围

  • 5
  • 3
  • 1
Western Blotting (WB), Immunohistochemistry (IHC)
  • 纯化方法

    Affinity purified

    亚型

    IgG
  • 应用备注

    Optimal working dilution should be determined by the investigator.

    限制

    仅限研究用
  • 状态

    Liquid

    浓度

    Lot specific

    缓冲液

    PBS,  pH 7.3, 0.02 % sodium azide, 50 % glycerol.

    储存液

    Sodium azide

    注意事项

    This product contains Sodium azide: a POISONOUS AND HAZARDOUS SUBSTANCE which should be handled by trained staff only.

    储存条件

    -20 °C

    储存方法

    Aliquot and store at -20 °C. Avoid repeated freeze/thaw cycles.
  • 抗原

    CGB7 (Chorionic Gonadotropin, beta Polypeptide 7 (CGB7))

    别名

    CGB7

    分子量

    Calculated MW: 18 kDa
    Observed MW: 18 kDa

    基因ID

    94027

    UniProt

    P01233
You are here:
Chat with us!