电话:
+86 (0512) 65829739
传真:
+86 (010) 6788 5057
电子邮件:
orders@antibodies-online.cn

CGB7 抗体

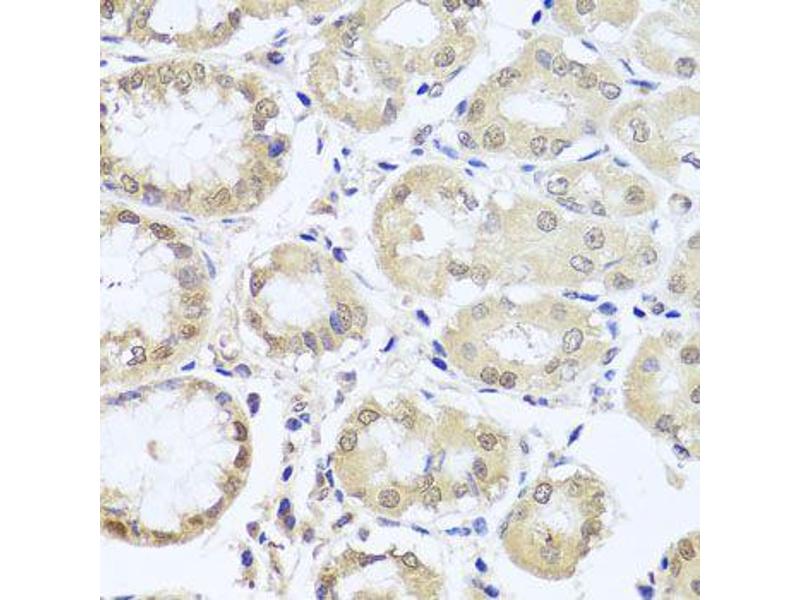
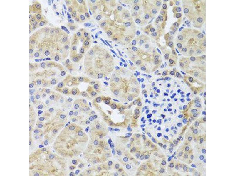
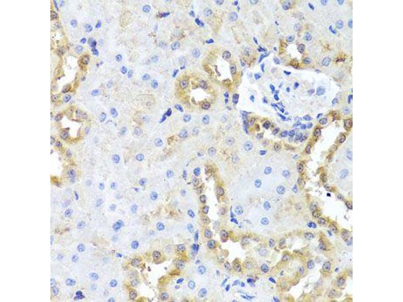
The 兔 多克隆 anti-CGB7 antibody (ABIN3046723) specifically detects CGB7 in WB 和 IHC. The antibody is reactive with 人, 小鼠 和 大鼠 samples.
产品编号 ABIN3046723
发货至: 中国
Contact our Customer Service for availability and price in your country. Contact Info

Our Local Distributor

中国
北京 101111
No. 88 KeChuang 6th Street
Beijing Economic Technological Development Area
Room 801-803
4A Biotech Co.,Ltd.
Tel +86 (0512) 65829739 传真 +86 (010) 6788 5057

Quick Overview for CGB7 抗体 (ABIN3046723)

抗原

See all CGB7 抗体
CGB7 (Chorionic Gonadotropin, beta Polypeptide 7 (CGB7))

适用

人, 小鼠, 大鼠

宿主

  • 3
  • 3

克隆类型

  • 3
  • 3
多克隆

标记

  • 6
This CGB7 antibody is un-conjugated

应用范围

  • 6
  • 3
  • 1
Western Blotting (WB), Immunohistochemistry (IHC)
You are here: