电话:
+86 (0512) 65829739
传真:
+86 (010) 6788 5057
电子邮件:
orders@antibodies-online.cn

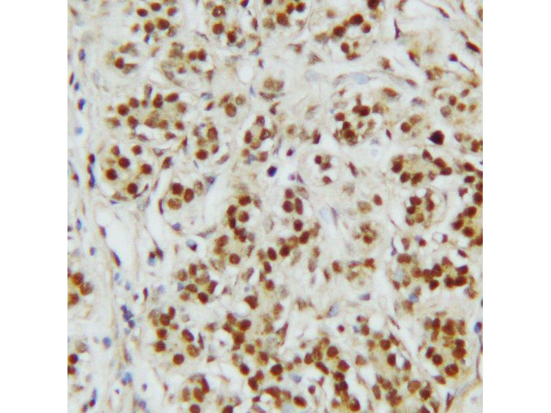
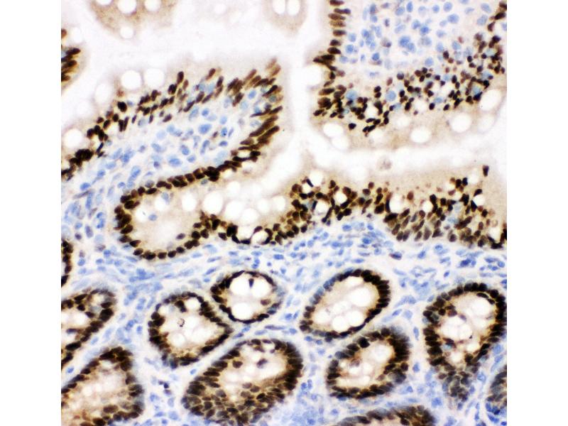
CTBP2 抗体 (C-Term)

The 兔 多克隆 anti-CTBP2 antibody (ABIN3044439) specifically detects CTBP2 in WB, IHC, IF, ICC, FACS 和 IHC (fro). The antibody is reactive with 人, 小鼠 和 大鼠 samples.
产品编号 ABIN3044439
发货至: 中国
Contact our Customer Service for availability and price in your country. Contact Info

Our Local Distributor

中国
北京 101111
No. 88 KeChuang 6th Street
Beijing Economic Technological Development Area
Room 801-803
4A Biotech Co.,Ltd.
Tel +86 (0512) 65829739 传真 +86 (010) 6788 5057

Quick Overview for CTBP2 抗体 (C-Term) (ABIN3044439)

抗原

See all CTBP2 抗体
CTBP2 (C-terminal Binding Protein 2 (CTBP2))

适用

  • 67
  • 29
  • 28
  • 6
  • 4
  • 4
  • 4
  • 3
  • 3
  • 3
  • 3
  • 2
  • 2
  • 1
  • 1
人, 小鼠, 大鼠

宿主

  • 57
  • 10

克隆类型

  • 49
  • 18
多克隆

标记

  • 46
  • 3
  • 2
  • 2
  • 2
  • 2
  • 2
  • 2
  • 1
  • 1
  • 1
  • 1
  • 1
  • 1
This CTBP2 antibody is un-conjugated

应用范围

  • 58
  • 38
  • 23
  • 20
  • 19
  • 6
  • 5
  • 4
  • 1
  • 1
  • 1
  • 1
  • 1
  • 1
  • 1
Western Blotting (WB), Immunohistochemistry (IHC), Immunofluorescence (IF), Immunocytochemistry (ICC), Flow Cytometry (FACS), Immunohistochemistry (Frozen Sections) (IHC (fro))
  • 抗原表位

    • 10
    • 8
    • 3
    • 3
    • 3
    • 2
    • 2
    • 2
    • 2
    • 1
    • 1
    • 1
    • 1
    • 1
    • 1
    • 1
    • 1
    • 1
    • 1
    • 1
    • 1
    AA 429-445, C-Term

    原理

    Anti-C-terminal-binding protein 2 CTBP2 Antibody

    序列

    PNQPTKHGDN REHPNEQ

    交叉反应 (详细)

    No cross-reactivity with other proteins

    产品特性

    Anti-C-terminal-binding protein 2 CTBP2 Antibody (ABIN3044439). Tested in Flow Cytometry, IF, IHC, IHC-F, ICC, WB applications. This antibody reacts with Human, Mouse, Rat. This is a premium antibody that guarantees superior quality, high affinity, and strong signals with minimal background in Western blot applications.

    纯化方法

    Immunogen affinity purified.

    免疫原

    A synthetic peptide corresponding to a sequence at the C-terminus of human CTBP2, identical to the related rat and mouse sequences.

    亚型

    IgG
  • 应用备注

    Western blot, 0.1-0.5 μg/mL, Human, Mouse, Rat
    Immunohistochemistry (Paraffin-embedded Section), 0.5-1 μg/mL, Human, Mouse, Rat
    Immunohistochemistry (Frozen Section), 0.5-1 μg/mL, Mouse, Rat
    Immunocytochemistry , 0.5-1 μg/mL, Human, -
    Immunocytochemistry/Immunofluorescence, 5 μg/mL, Human
    Flow Cytometry (Fixed), 1-3 μg/1x106 cells, Human

    说明

    Antibody can be supported by chemiluminescence kit ABIN921124 in WB, supported by ABIN921231 in IHC(P), IHC(F) and ICC.

    限制

    仅限研究用
  • 状态

    Lyophilized

    溶解方式

    Add 0.2 mL of distilled water will yield a concentration of 500 μg/mL.

    浓度

    500 μg/mL

    缓冲液

    Each vial contains 5 mg BSA, 0.9 mg NaCl, 0.2 mg Na2HPO4, 0.05 mg Thimerosal, 0.05 mg Sodium azide.

    储存液

    Thimerosal (Merthiolate), Sodium azide

    注意事项

    This product contains Thimerosal (Merthiolate) and Sodium azide: POISONOUS AND HAZARDOUS SUBSTANCES which should be handled by trained staff only.

    注意事项

    Avoid repeated freezing and thawing.

    储存条件

    4 °C,-20 °C

    储存方法

    Store at -20°C for one year from date of receipt. After reconstitution, at 4°C for one month.
    It can also be aliquotted and stored frozen at -20°C for six months. Avoid repeated freeze-thaw cycles.

    有效期

    12 months
  • 抗原

    CTBP2 (C-terminal Binding Protein 2 (CTBP2))

    别名

    CTBP2

    背景

    Synonyms: C-terminal-binding protein 2,CtBP2,CTBP2,

    Tissue Specificity: Ubiquitous. Highest levels in heart, skeletal muscle, and pancreas.

    Background: The E1a region of group C adenoviruses encodes 2 nearly identical proteins that are largely responsible for the oncogenic properties of adenoviruses. The CTBP1 protein binds to the C-terminal half of these E1A proteins. It's predicted that CTBP2 is a 445-amino acid protein and it is 72 % identical to CTBP1. The CTBP2 gene is mapped to chromosome 10q26.13. CTBP2 is a mammalian corepressor that targets diverse transcriptional regulators. It bounds the short medial portion of delta-EF1 containing the PLDLSL motif and it enhances transrepression activity of delta-EF1.

    Sequence Similarities: Belongs to the G-protein coupled receptor 1 family. FSH/LSH/TSH subfamily.

    分子量

    49 kDa

    UniProt

    P56545
You are here: