电话:
+86 (0512) 65829739
传真:
+86 (010) 6788 5057
电子邮件:
orders@antibodies-online.cn

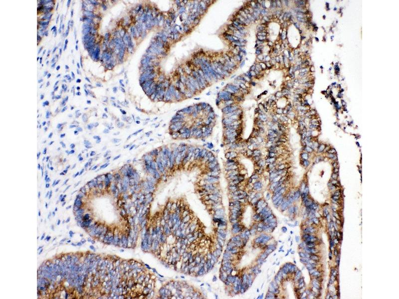
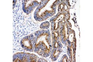
HSD17B4 抗体 (C-Term)

This 兔 多克隆 antibody specifically detects HSD17B4 in WB 和 IHC. It exhibits reactivity toward 人, 小鼠 和 大鼠.
产品编号 ABIN3044284
发货至: 中国
Contact our Customer Service for availability and price in your country. Contact Info

Our Local Distributor

中国
北京 101111
No. 88 KeChuang 6th Street
Beijing Economic Technological Development Area
Room 801-803
4A Biotech Co.,Ltd.
Tel +86 (0512) 65829739 传真 +86 (010) 6788 5057

Quick Overview for HSD17B4 抗体 (C-Term) (ABIN3044284)

抗原

See all HSD17B4 抗体
HSD17B4 (Hydroxysteroid (17-Beta) Dehydrogenase 4 (HSD17B4))

适用

  • 38
  • 23
  • 15
  • 15
  • 7
  • 2
人, 小鼠, 大鼠

宿主

  • 49
  • 4

克隆类型

  • 49
  • 4
多克隆

标记

  • 27
  • 3
  • 2
  • 2
  • 1
  • 1
  • 1
  • 1
  • 1
  • 1
  • 1
  • 1
  • 1
  • 1
  • 1
  • 1
  • 1
  • 1
  • 1
  • 1
  • 1
  • 1
  • 1
This HSD17B4 antibody is un-conjugated

应用范围

  • 45
  • 18
  • 17
  • 13
  • 13
  • 12
  • 6
  • 5
  • 3
  • 2
  • 1
  • 1
  • 1
  • 1
Western Blotting (WB), Immunohistochemistry (IHC)
  • 抗原表位

    • 15
    • 7
    • 3
    • 2
    • 2
    • 2
    • 2
    • 1
    • 1
    • 1
    • 1
    • 1
    • 1
    • 1
    • 1
    • 1
    AA 744-761, C-Term

    原理

    Anti-Hydroxysteroid (17-beta) Dehydrogenase 4/HSD17B4 Antibody

    序列

    NIMLSQKLQM ILKDYAKL

    交叉反应 (详细)

    No cross-reactivity with other proteins

    产品特性

    Anti-Hydroxysteroid (17-beta) Dehydrogenase 4/HSD17B4 Antibody (ABIN3044284). Tested in IHC, WB applications. This antibody reacts with Human, Mouse, Rat. This is a premium antibody that guarantees superior quality, high affinity, and strong signals with minimal background in Western blot applications.

    纯化方法

    Immunogen affinity purified.

    免疫原

    A synthetic peptide corresponding to a sequence at the C-terminus of Hydroxysteroid(17-beta) Dehydrogenase 4, identical to the related rat and mouse sequences.

    亚型

    IgG
  • 应用备注

    Immunohistochemistry (Paraffin-embedded Section), 0.5-1 μg/mL, Human, Mouse, Rat
    Western blot, 0.1-0.5 μg/mL, Human, Mouse, Rat

    说明

    Antibody can be supported by chemiluminescence kit ABIN921124 in WB, supported by ABIN921231 in IHC(P).

    限制

    仅限研究用
  • 状态

    Lyophilized

    溶解方式

    Add 0.2 mL of distilled water will yield a concentration of 500 μg/mL.

    浓度

    500 μg/mL

    缓冲液

    Each vial contains 5 mg BSA, 0.9 mg NaCl, 0.2 mg Na2HPO4, 0.05 mg Thimerosal, 0.05 mg Sodium azide.

    储存液

    Thimerosal (Merthiolate), Sodium azide

    注意事项

    This product contains Thimerosal (Merthiolate) and Sodium azide: POISONOUS AND HAZARDOUS SUBSTANCES which should be handled by trained staff only.

    注意事项

    Avoid repeated freezing and thawing.

    储存条件

    4 °C,-20 °C

    储存方法

    Store at -20°C for one year from date of receipt. After reconstitution, at 4°C for one month.
    It can also be aliquotted and stored frozen at -20°C for six months. Avoid repeated freeze-thaw cycles.

    有效期

    12 months
  • 抗原

    HSD17B4 (Hydroxysteroid (17-Beta) Dehydrogenase 4 (HSD17B4))

    别名

    HSD17B4

    背景

    Synonyms: Peroxisomal multifunctional enzyme type 2,MFE-2,17-beta-hydroxysteroid dehydrogenase 4,17-beta-HSD 4,D-bifunctional protein,DBP,Multifunctional protein 2,MPF-2,Short chain dehydrogenase/reductase family 8C member 1, (3R)-hydroxyacyl-CoA dehydrogenase,1.1.1.n12,Enoyl-CoA hydratase 2,4.2.1.107,4.2.1.119,3-alpha,7-alpha,12-alpha-trihydroxy-5-beta-cholest-24-enoyl-CoA hydratase,HSD17B4,EDH17B4, SDR8C1,

    Tissue Specificity: Present in many tissues with highest concentrations in liver, heart, prostate and testis.

    Background: Peroxisomal multifunctional enzyme type 2 is a protein that in humans is encoded by the HSD17B4 gene. The protein encoded by this gene is a bifunctional enzyme that is involved in the peroxisomal beta-oxidation pathway for fatty acids. It also acts as a catalyst for the formation of 3-ketoacyl-CoA intermediates from both straight-chain and 2-methyl-branched-chain fatty acids. Defects in this gene that affect the peroxisomal fatty acid beta-oxidation activity are a cause of D-bifunctional protein deficiency (DBPD). An apparent pseudogene of this gene is present on chromosome 8. Multiple alternatively spliced transcript variants encoding distinct isoforms have been found for this gene.

    Sequence Similarities: Belongs to the short-chain dehydrogenases/reductases (SDR) family.

    分子量

    80 kDa

    途径

    Monocarboxylic Acid Catabolic Process
You are here: