电话:
+86 (0512) 65829739
传真:
+86 (010) 6788 5057
电子邮件:
orders@antibodies-online.cn

HOXA3 抗体 (C-Term)

This 兔 多克隆 antibody specifically detects HOXA3 in WB 和 IHC. It exhibits reactivity toward 人, 小鼠 和 大鼠.
产品编号 ABIN3044212
发货至: 中国
Contact our Customer Service for availability and price in your country. Contact Info

Our Local Distributor

中国
北京 101111
No. 88 KeChuang 6th Street
Beijing Economic Technological Development Area
Room 801-803
4A Biotech Co.,Ltd.
Tel +86 (0512) 65829739 传真 +86 (010) 6788 5057

Quick Overview for HOXA3 抗体 (C-Term) (ABIN3044212)

抗原

See all HOXA3 抗体
HOXA3 (Homeobox A3 (HOXA3))

适用

  • 42
  • 22
  • 5
  • 3
  • 3
  • 3
  • 2
  • 2
  • 2
  • 1
  • 1
人, 小鼠, 大鼠

宿主

  • 52
  • 2

克隆类型

  • 53
  • 1
多克隆

标记

  • 21
  • 4
  • 4
  • 4
  • 2
  • 2
  • 1
  • 1
  • 1
  • 1
  • 1
  • 1
  • 1
  • 1
  • 1
  • 1
  • 1
  • 1
  • 1
  • 1
  • 1
  • 1
  • 1
This HOXA3 antibody is un-conjugated

应用范围

  • 47
  • 21
  • 13
  • 13
  • 10
  • 10
  • 7
  • 3
  • 1
  • 1
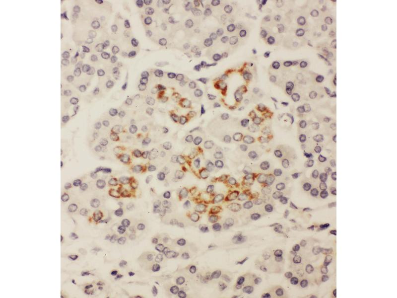
Western Blotting (WB), Immunohistochemistry (IHC)
  • 抗原表位

    • 15
    • 8
    • 8
    • 7
    • 3
    • 3
    • 1
    • 1
    • 1
    • 1
    • 1
    • 1
    AA 427-443, C-Term

    原理

    Anti-Homeobox protein Hox-A3 HOXA3 Antibody

    序列

    HHPSQGRIQE APKLTHL

    交叉反应 (详细)

    No cross-reactivity with other proteins

    产品特性

    Anti-Homeobox protein Hox-A3 HOXA3 Antibody (ABIN3044212). Tested in IHC, WB applications. This antibody reacts with Human, Mouse, Rat. This is a premium antibody that guarantees superior quality, high affinity, and strong signals with minimal background in Western blot applications.

    纯化方法

    Immunogen affinity purified.

    免疫原

    A synthetic peptide corresponding to a sequence at the C-terminus of human HOXA3, identical to the related rat and mouse sequences.

    亚型

    IgG
  • 应用备注

    Immunohistochemistry (Paraffin-embedded Section), 0.5-1 μg/mL, Human, Mouse, Rat
    Western blot, 0.1-0.5 μg/mL, Human, Mouse, Rat

    说明

    Antibody can be supported by chemiluminescence kit ABIN921124 in WB, supported by ABIN921231 in IHC(P).

    限制

    仅限研究用
  • 状态

    Lyophilized

    溶解方式

    Add 0.2 mL of distilled water will yield a concentration of 500 μg/mL.

    浓度

    500 μg/mL

    缓冲液

    Each vial contains 5 mg BSA, 0.9 mg NaCl, 0.2 mg Na2HPO4, 0.05 mg Thimerosal, 0.05 mg Sodium azide.

    储存液

    Thimerosal (Merthiolate), Sodium azide

    注意事项

    This product contains Thimerosal (Merthiolate) and Sodium azide: POISONOUS AND HAZARDOUS SUBSTANCES which should be handled by trained staff only.

    注意事项

    Avoid repeated freezing and thawing.

    储存条件

    4 °C,-20 °C

    储存方法

    Store at -20°C for one year from date of receipt. After reconstitution, at 4°C for one month.
    It can also be aliquotted and stored frozen at -20°C for six months. Avoid repeated freeze-thaw cycles.

    有效期

    12 months
  • 抗原

    HOXA3 (Homeobox A3 (HOXA3))

    别名

    HOXA3

    背景

    Synonyms: Homeobox protein Hox-A3,Homeobox protein Hox-1E,HOXA3,HOX1E,

    Tissue Specificity: Widely expressed.

    Background: HOXA3 (HOMEOBOX A3) is a protein that in humans is encoded by the HOXA3 gene, which is also part of the A cluster on chromosome 7. HOXA3 encodes a DNA-binding transcription factor which may regulate gene expression, morphogenesis, and differentiation. Its cytogenetic location is 7q15.2. In vertebrates, the genes encoding the class of transcription factors called homeobox genes are found in clusters named A, B, C, and D on four separate chromosomes. Expression of these proteins is spatially and temporally regulated during embryonic development. HOXA3 protein is able to complement Hoxd3 deficiency when expressed in the context of the Hoxd3 allele.

    Sequence Similarities: Belongs to the Antp homeobox family.

    分子量

    46 kDa

    UniProt

    O43365
You are here: