电话:
+86 (0512) 65829739
传真:
+86 (010) 6788 5057
电子邮件:
orders@antibodies-online.cn

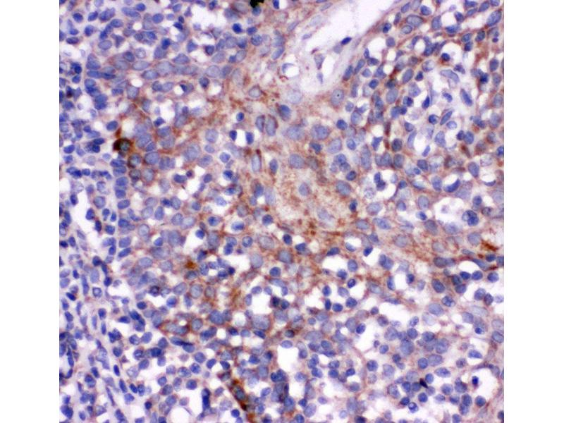
2B4 抗体 (C-Term)

This 兔 多克隆 antibody specifically detects 2B4 in WB 和 IHC. It exhibits reactivity toward 人.
产品编号 ABIN3044068
发货至: 中国
Contact our Customer Service for availability and price in your country. Contact Info

Our Local Distributor

中国
北京 101111
No. 88 KeChuang 6th Street
Beijing Economic Technological Development Area
Room 801-803
4A Biotech Co.,Ltd.
Tel +86 (0512) 65829739 传真 +86 (010) 6788 5057

Quick Overview for 2B4 抗体 (C-Term) (ABIN3044068)

抗原

See all 2B4 (CD244) 抗体
2B4 (CD244) (Natural Killer Cell Receptor 2B4 (CD244))

适用

  • 69
  • 25
  • 19

宿主

  • 58
  • 15
  • 4
  • 4

克隆类型

  • 59
  • 21
  • 1
多克隆

标记

  • 38
  • 4
  • 4
  • 4
  • 2
  • 2
  • 2
  • 2
  • 2
  • 2
  • 2
  • 2
  • 2
  • 2
  • 2
  • 2
  • 1
  • 1
  • 1
  • 1
  • 1
  • 1
  • 1
This 2B4 antibody is un-conjugated

应用范围

  • 61
  • 37
  • 26
  • 26
  • 25
  • 12
  • 7
  • 6
  • 5
  • 5
  • 4
  • 2
  • 1
  • 1
Western Blotting (WB), Immunohistochemistry (IHC)
  • 抗原表位

    • 16
    • 15
    • 4
    • 3
    • 3
    • 2
    • 2
    • 2
    • 2
    • 1
    • 1
    • 1
    • 1
    • 1
    • 1
    • 1
    • 1
    • 1
    • 1
    AA 357-370, C-Term

    原理

    Anti-CD244 Antibody

    序列

    RLSRKELENF DVYS

    交叉反应 (详细)

    No cross-reactivity with other proteins

    产品特性

    Anti- Antibody (ABIN3044068). Tested in IHC, WB applications. This antibody reacts with Human. This is a premium antibody that guarantees superior quality, high affinity, and strong signals with minimal background in Western blot applications.

    纯化方法

    Immunogen affinity purified.

    免疫原

    A synthetic peptide corresponding to a sequence at the C-terminus of human CD244.

    亚型

    IgG
  • 应用备注

    Immunohistochemistry (Paraffin-embedded Section), 0.5-1 μg/mL, Human
    Western blot, 0.1-0.5 μg/mL, Human

    说明

    Antibody can be supported by chemiluminescence kit ABIN921124 in WB, supported by ABIN921231 in IHC(P).

    限制

    仅限研究用
  • 状态

    Lyophilized

    溶解方式

    Add 0.2 mL of distilled water will yield a concentration of 500 μg/mL.

    浓度

    500 μg/mL

    缓冲液

    Each vial contains 5 mg BSA, 0.9 mg NaCl, 0.2 mg Na2HPO4, 0.05 mg Thimerosal, 0.05 mg Sodium azide.

    储存液

    Thimerosal (Merthiolate), Sodium azide

    注意事项

    This product contains Thimerosal (Merthiolate) and Sodium azide: POISONOUS AND HAZARDOUS SUBSTANCES which should be handled by trained staff only.

    注意事项

    Avoid repeated freezing and thawing.

    储存条件

    4 °C,-20 °C

    储存方法

    Store at -20°C for one year from date of receipt. After reconstitution, at 4°C for one month.
    It can also be aliquotted and stored frozen at -20°C for six months. Avoid repeated freeze-thaw cycles.

    有效期

    12 months
  • 抗原

    2B4 (CD244) (Natural Killer Cell Receptor 2B4 (CD244))

    别名

    CD244

    背景

    Synonyms: Natural killer cell receptor 2B4,NK cell activation-inducing ligand,NAIL,NK cell type I receptor protein 2B4,NKR2B4,h2B4,SLAM family member 4,SLAMF4,Signaling lymphocytic activation molecule 4,CD244,CD244,2B4,

    Tissue Specificity: Expressed in spleen, PBL, followed by lung, liver, testis and small intestine. Expressed not only in NK cells, but also on monocytes and basophils. .

    Background: CD244 (Cluster of Differentiation 244) is a human protein encoded by the CD244 gene. It is also known as Natural Killer Cell Receptor 2B4. Tangye et al. (1999) mapped the 2B4 gene to 1q22. Suzuki et al. (2008) identified a functional single-nucleotide polymorphism (SNP) in the CD244 gene that contributes to rheumatoid arthritis susceptibility. Functional analysis by Boles et al. (1999) demonstrated that engagement of 2B4 with specific antibody activates NK cytolytic activity. Using recombinant human NK cell-activating ligand 2B4 fused to domains 3 and 4 of rodent Cd4 and flow cytometric analysis, Brown et al. (1998) demonstrated that CD48 binds to 2B4. Watzl et al. (2000) showed that antibody-mediated cross-linking of 2B4 leads to its rapid tyrosine phosphorylation, which is necessary for 2B4-mediated killer cell activity.

    分子量

    42 kDa
You are here: