电话:
+86 (0512) 65829739
传真:
+86 (010) 6788 5057
电子邮件:
orders@antibodies-online.cn

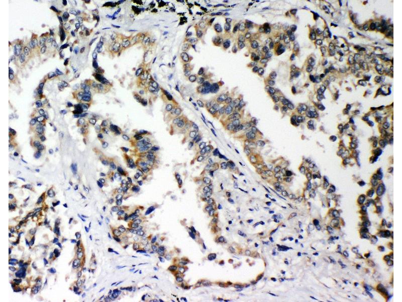
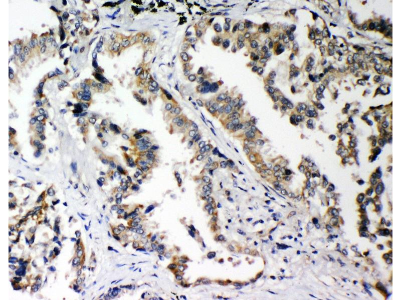
PLK2 抗体 (C-Term)

The 兔 多克隆 anti-PLK2 antibody is suitable to detect PLK2 in samples from 人, 小鼠 和 大鼠. It has been validated for WB, IHC, ICC, FACS 和 IHC (fro).
产品编号 ABIN3043982
发货至: 中国
Contact our Customer Service for availability and price in your country. Contact Info

Our Local Distributor

中国
北京 101111
No. 88 KeChuang 6th Street
Beijing Economic Technological Development Area
Room 801-803
4A Biotech Co.,Ltd.
Tel +86 (0512) 65829739 传真 +86 (010) 6788 5057

Quick Overview for PLK2 抗体 (C-Term) (ABIN3043982)

抗原

See all PLK2 抗体
PLK2 (Polo-Like Kinase 2 (PLK2))

适用

  • 47
  • 27
  • 24
  • 3
  • 3
  • 2
  • 2
  • 2
  • 2
  • 1
  • 1
  • 1
  • 1
  • 1
  • 1
人, 小鼠, 大鼠

宿主

  • 46
  • 1

克隆类型

  • 47
多克隆

标记

  • 30
  • 3
  • 2
  • 2
  • 2
  • 2
  • 1
  • 1
  • 1
  • 1
  • 1
  • 1
This PLK2 antibody is un-conjugated

应用范围

  • 36
  • 28
  • 18
  • 7
  • 2
  • 2
  • 1
  • 1
  • 1
Western Blotting (WB), Immunohistochemistry (IHC), Immunocytochemistry (ICC), Flow Cytometry (FACS), Immunohistochemistry (Frozen Sections) (IHC (fro))
  • 抗原表位

    • 8
    • 7
    • 4
    • 3
    • 2
    • 2
    • 2
    • 1
    • 1
    • 1
    • 1
    • 1
    • 1
    • 1
    • 1
    • 1
    • 1
    • 1
    • 1
    AA 666-685, C-Term

    原理

    Anti-PLK2 Antibody

    序列

    SSELKNRMEY ALNMLLQRCN

    交叉反应 (详细)

    No cross-reactivity with other proteins

    产品特性

    Anti-PLK2 Antibody (ABIN3043982). Tested in Flow Cytometry, IHC, IHC-F, ICC, WB applications. This antibody reacts with Human, Mouse, Rat. This is a premium antibody that guarantees superior quality, high affinity, and strong signals with minimal background in Western blot applications.

    纯化方法

    Immunogen affinity purified.

    免疫原

    A synthetic peptide corresponding to a sequence at the C-terminus of human PLK2, different from the related mouse sequence by one amino acid, and from the related rat sequence by two amino acids.

    亚型

    IgG
  • 应用备注

    Immunocytochemistry , 0.5-1 μg/mL, Human, Mouse, Rat
    Immunohistochemistry (Paraffin-embedded Section), 0.5-1 μg/mL, Human, Rat, Mouse
    Western blot, 0.1-0.5 μg/mL, Human, Rat, Mouse
    Immunohistochemistry (Frozen Section), 0.5-1 μg/mL, Human
    Flow Cytometry (Fixed), 1-3 μg/1x106 cells, Human

    说明

    Antibody can be supported by chemiluminescence kit ABIN921124 in WB, supported by ABIN921231 in IHC(P) and ICC.

    限制

    仅限研究用
  • 状态

    Lyophilized

    溶解方式

    Add 0.2 mL of distilled water will yield a concentration of 500 μg/mL.

    浓度

    500 μg/mL

    缓冲液

    Each vial contains 5 mg BSA, 0.9 mg NaCl, 0.2 mg Na2HPO4, 0.05 mg Thimerosal, 0.05 mg Sodium azide.

    储存液

    Thimerosal (Merthiolate), Sodium azide

    注意事项

    This product contains Thimerosal (Merthiolate) and Sodium azide: POISONOUS AND HAZARDOUS SUBSTANCES which should be handled by trained staff only.

    注意事项

    Avoid repeated freezing and thawing.

    储存条件

    4 °C,-20 °C

    储存方法

    Store at -20°C for one year from date of receipt. After reconstitution, at 4°C for one month.
    It can also be aliquotted and stored frozen at -20°C for six months. Avoid repeated freeze-thaw cycles.

    有效期

    12 months
  • 抗原

    PLK2 (Polo-Like Kinase 2 (PLK2))

    别名

    PLK2

    背景

    Synonyms: Serine/threonine-protein kinase PLK2,2.7.11.21,Polo-like kinase 2,PLK-2,hPlk2,Serine/threonine-protein kinase SNK,hSNK,Serum-inducible kinase,PLK2,SNK,

    Tissue Specificity: Expressed at higher level in the fetal lung, kidney, spleen and heart. .

    Background: Polo-like kinase2, also known as SNK is an enzyme that in humans is encoded by the PLK2 gene. PLK2 is a member of the "polo" family of serine/threonine protein kinases that have a role in normal cell division. The International Radiation Hybrid Mapping Consortium mapped the SNK gene to chromosome 5. SNK involved in synaptic plasticity, centriole duplication and G1/S phase transition. This gene plays a key role in synaptic plasticity and memory by regulating the Ras and Rap protein signalin: required for overactivity-dependent spine remodeling by phosphorylating the Ras activator RASGRF1 and the Rap inhibitor SIPA1L1 leading to their degradation by the proteasome.

    Sequence Similarities: Belongs to the protein kinase superfamily. Ser/Thr protein kinase family. CDC5/Polo subfamily.

    分子量

    78 kDa
You are here: