电话:
+86 (0512) 65829739
传真:
+86 (010) 6788 5057
电子邮件:
orders@antibodies-online.cn

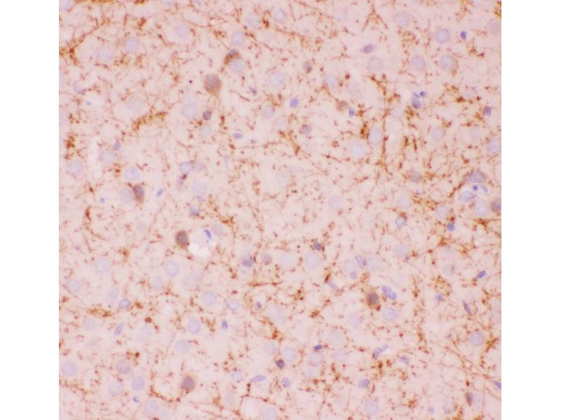
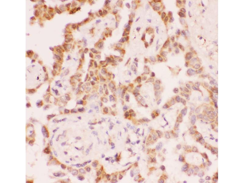
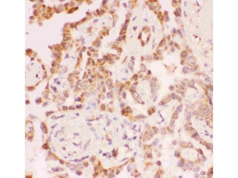
SIRT2 抗体 (Middle Region)

This 兔 多克隆 antibody specifically detects SIRT2 in WB 和 IHC. It exhibits reactivity toward 人, 大鼠 和 小鼠.
产品编号 ABIN3043924
发货至: 中国
Contact our Customer Service for availability and price in your country. Contact Info

Our Local Distributor

中国
北京 101111
No. 88 KeChuang 6th Street
Beijing Economic Technological Development Area
Room 801-803
4A Biotech Co.,Ltd.
Tel +86 (0512) 65829739 传真 +86 (010) 6788 5057

Quick Overview for SIRT2 抗体 (Middle Region) (ABIN3043924)

抗原

See all SIRT2 抗体
SIRT2 (Sirtuin 2 (SIRT2))

适用

  • 85
  • 67
  • 53
  • 8
  • 4
  • 4
  • 4
  • 3
  • 3
  • 3
  • 2
  • 1
  • 1
  • 1
  • 1
  • 1
  • 1
人, 大鼠, 小鼠

宿主

  • 82
  • 11
  • 1

克隆类型

  • 63
  • 31
多克隆

标记

  • 49
  • 9
  • 4
  • 3
  • 3
  • 3
  • 3
  • 3
  • 3
  • 3
  • 1
  • 1
  • 1
  • 1
  • 1
  • 1
  • 1
  • 1
  • 1
  • 1
  • 1
This SIRT2 antibody is un-conjugated

应用范围

  • 63
  • 22
  • 20
  • 20
  • 16
  • 15
  • 14
  • 11
  • 11
  • 3
  • 2
  • 2
  • 1
Western Blotting (WB), Immunohistochemistry (IHC)
  • 抗原表位

    • 7
    • 5
    • 5
    • 4
    • 3
    • 2
    • 2
    • 2
    • 1
    • 1
    • 1
    • 1
    • 1
    • 1
    • 1
    • 1
    • 1
    • 1
    AA 165-187, Middle Region

    原理

    Anti-SIRT2 Antibody

    序列

    YTQNIDTLER IAGLEQEDLV EAH

    交叉反应 (详细)

    No cross-reactivity with other proteins

    产品特性

    Anti-SIRT2 Antibody (ABIN3043924). Tested in IHC, WB applications. This antibody reacts with Human, Mouse, Rat. This is a premium antibody that guarantees superior quality, high affinity, and strong signals with minimal background in Western blot applications.

    纯化方法

    Immunogen affinity purified.

    免疫原

    A synthetic peptide corresponding to a sequence in the middle region of human SIRT2, different from the related mouse and rat sequences by three amino acids.

    亚型

    IgG
  • 应用备注

    Immunohistochemistry (Paraffin-embedded Section), 0.5-1 μg/mL, Human, Mouse, Rat
    Western blot, 0.1-0.5 μg/mL, Human, Rat

    说明

    Antibody can be supported by chemiluminescence kit ABIN921124 in WB, supported by ABIN921231 in IHC(P).

    限制

    仅限研究用
  • 状态

    Lyophilized

    溶解方式

    Add 0.2 mL of distilled water will yield a concentration of 500 μg/mL.

    浓度

    500 μg/mL

    缓冲液

    Each vial contains 5 mg BSA, 0.9 mg NaCl, 0.2 mg Na2HPO4, 0.05 mg Sodium azide.

    储存液

    Sodium azide

    注意事项

    This product contains Sodium azide: a POISONOUS AND HAZARDOUS SUBSTANCE which should be handled by trained staff only.

    注意事项

    Avoid repeated freezing and thawing.

    储存条件

    4 °C,-20 °C

    储存方法

    Store at -20°C for one year from date of receipt. After reconstitution, at 4°C for one month.
    It can also be aliquotted and stored frozen at -20°C for six months. Avoid repeated freeze-thaw cycles.
  • 抗原

    SIRT2 (Sirtuin 2 (SIRT2))

    别名

    SIRT2

    背景

    Synonyms: NAD-dependent protein deacetylase sirtuin-2,3.5.1.-,Regulatory protein SIR2 homolog 2,SIR2-like protein 2,SIRT2,SIR2L, SIR2L2,

    Tissue Specificity: Isoform 1 is expressed in heart, liver and skeletal muscle, weakly expressed in the cortex. Isoform 2 is strongly expressed in the cortex, weakly expressed in heart and liver. Weakly expressed in several malignancies including breast, liver, brain, kidney and prostate cancers compared to normal tissues. Weakly expressed in glioma cell lines compared to normal brain tissues (at protein level). Widely expressed. Highly expressed in heart, brain and skeletal muscle, while it is weakly expressed in placenta and lung. Down-regulated in many gliomas suggesting that it may act as a tumor suppressor gene in human gliomas possibly through the regulation of microtubule network. .

    Background: SIRT2 is a predominantly cytoplasmic protein that colocalizes with microtubules. This gene encodes a member of the sirtuin family of proteins, homologs to the yeast Sir2 protein. Members of the sirtuin family are characterized by a sirtuin core domain and grouped into four classes. SIRT2 is mapped to 19q13.2. It is able to cause radioactivity to be transferred from (32P) NAD to bovine serum albumin (BSA). According to researches, SIRT2 can act as a bona fide tubulin deacetylase. SIRT2 was found to deacetylate lys40 of alpha-tubulin both in vitro and in vivo. SIRT2 is also a regulator of mitotic progression that acts downstream from CDC14B in a pathway regulating mitotic exit or subsequent cytokinesis. What's more, SIRT2 is an important regulator of programmed necrosis.

    Sequence Similarities: Belongs to the sirtuin family. Class I subfamily.

    分子量

    36 kDa

    基因ID

    22933
You are here: