电话:
+86 (0512) 65829739
传真:
+86 (010) 6788 5057
电子邮件:
orders@antibodies-online.cn

OPA1 抗体 (C-Term)

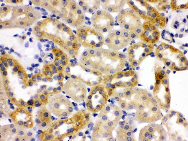
The 兔 多克隆 anti-OPA1 antibody is suitable to detect OPA1 in samples from 人, 大鼠 和 小鼠. It has been validated for WB, IHC, ICC, IF, FACS 和 IHC (fro).
产品编号 ABIN3043457
发货至: 中国
Contact our Customer Service for availability and price in your country. Contact Info

Our Local Distributor

中国
北京 101111
No. 88 KeChuang 6th Street
Beijing Economic Technological Development Area
Room 801-803
4A Biotech Co.,Ltd.
Tel +86 (0512) 65829739 传真 +86 (010) 6788 5057

Quick Overview for OPA1 抗体 (C-Term) (ABIN3043457)

抗原

See all OPA1 抗体
OPA1 (Optic Atrophy 1 (Autosomal Dominant) (OPA1))

适用

  • 59
  • 43
  • 41
  • 17
  • 17
  • 3
  • 2
  • 2
  • 2
  • 1
  • 1
  • 1
  • 1
人, 大鼠, 小鼠

宿主

  • 59
  • 4

克隆类型

  • 43
  • 20
多克隆

标记

  • 27
  • 5
  • 3
  • 3
  • 2
  • 2
  • 2
  • 2
  • 2
  • 2
  • 1
  • 1
  • 1
  • 1
  • 1
  • 1
  • 1
  • 1
  • 1
  • 1
  • 1
  • 1
  • 1
This OPA1 antibody is un-conjugated

应用范围

  • 45
  • 19
  • 16
  • 14
  • 13
  • 13
  • 12
  • 11
  • 4
  • 3
  • 3
Western Blotting (WB), Immunohistochemistry (IHC), Immunocytochemistry (ICC), Immunofluorescence (IF), Flow Cytometry (FACS), Immunohistochemistry (Frozen Sections) (IHC (fro))
  • 抗原表位

    • 15
    • 4
    • 4
    • 3
    • 3
    • 2
    • 2
    • 1
    • 1
    • 1
    • 1
    • 1
    • 1
    • 1
    • 1
    AA 919-955, C-Term

    原理

    Anti-OPA1 Antibody

    序列

    EDGEKKIKLL TGKRVQLAED LKKVREIQEK LDAFIEA

    交叉反应 (详细)

    No cross-reactivity with other proteins.

    产品特性

    Anti-OPA1 Antibody (ABIN3043457). Tested in Flow Cytometry, IF, IHC, IHC-F, ICC, WB applications. This antibody reacts with Human, Mouse, Rat. This is a premium antibody that guarantees superior quality, high affinity, and strong signals with minimal background in Western blot applications.

    纯化方法

    Immunogen affinity purified.

    免疫原

    A synthetic peptide corresponding to a sequence at the C-terminus of human OPA1, different from the related mouse and rat sequences by one amino acid.

    亚型

    IgG
  • 应用备注

    Western blot, 0.1-0.5 μg/mL, Human, Mouse, Rat
    Immunohistochemistry (Paraffin-embedded Section), 0.5-1 μg/mL, Human, Mouse, Rat
    Immunohistochemistry (Frozen Section), 0.5-1 μg/mL, Human
    Immunocytochemistry/Immunofluorescence, 2 μg/mL, Human
    Flow Cytometry (Fixed), 1-3 μg/1x106 cells, Human

    说明

    Antibody can be supported by chemiluminescence kit ABIN921124 in WB, supported by ABIN921231 in IHC(P).

    限制

    仅限研究用
  • 状态

    Lyophilized

    溶解方式

    Add 0.2 mL of distilled water will yield a concentration of 500 μg/mL.

    浓度

    500 μg/mL

    缓冲液

    Each vial contains 5 mg BSA, 0.9 mg NaCl, 0.2 mg Na2HPO4, 0.05 mg Sodium azide.

    储存液

    Sodium azide

    注意事项

    This product contains Sodium azide: a POISONOUS AND HAZARDOUS SUBSTANCE which should be handled by trained staff only.

    注意事项

    Avoid repeated freezing and thawing.

    储存条件

    4 °C,-20 °C

    储存方法

    Store at -20°C for one year from date of receipt. After reconstitution, at 4°C for one month.
    It can also be aliquotted and stored frozen at -20°C for six months. Avoid repeated freeze-thaw cycles.
  • 抗原

    OPA1 (Optic Atrophy 1 (Autosomal Dominant) (OPA1))

    别名

    OPA1

    背景

    Synonyms: Dynamin-like 120 kDa protein, mitochondrial,3.6.5.5,Optic atrophy protein 1,Dynamin-like 120 kDa protein, form S1,OPA1,KIAA0567,

    Tissue Specificity: Highly expressed in retina. Also expressed in brain, testis, heart and skeletal muscle. Isoform 1 expressed in retina, skeletal muscle, heart, lung, ovary, colon, thyroid gland, leukocytes and fetal brain. Isoform 2 expressed in colon, liver, kidney, thyroid gland and leukocytes. Low levels of all isoforms expressed in a variety of tissues. .

    Background: Dynamin-like 120 kDa protein, mitochondrial is a protein that in humans is encoded by the OPA1 gene. It is mapped to 3q29. This protein regulates mitochondrial fusion and cristae structure in the inner mitochondrial membrane (IMM) and contributes to ATP synthesis and apoptosis. This gene product is a nuclear-encoded mitochondrial protein with similarity to dynamin-related GTPases. It is a component of the mitochondrial network. Mutations in this gene have been associated with optic atrophy type 1, which is a dominantly inherited optic neuropathy resulting in progressive loss of visual acuity, leading in many cases to legal blindness. Multiple transcript variants encoding different isoforms have been found for this gene.

    分子量

    80-100 kDa

    基因ID

    4976

    UniProt

    O60313

    途径

    Tube Formation
You are here: