电话:
+86 (0512) 65829739
传真:
+86 (010) 6788 5057
电子邮件:
orders@antibodies-online.cn

EIF4A2 抗体 (N-Term)

This 兔 多克隆 antibody specifically detects EIF4A2 in WB, IHC, FACS, IF, IP, IHC (fro) 和 ICC. It exhibits reactivity toward 人, 大鼠 和 小鼠.
产品编号 ABIN3043426
发货至: 中国
Contact our Customer Service for availability and price in your country. Contact Info

Our Local Distributor

中国
北京 101111
No. 88 KeChuang 6th Street
Beijing Economic Technological Development Area
Room 801-803
4A Biotech Co.,Ltd.
Tel +86 (0512) 65829739 传真 +86 (010) 6788 5057

Quick Overview for EIF4A2 抗体 (N-Term) (ABIN3043426)

抗原

See all EIF4A2 抗体
EIF4A2 (Eukaryotic Translation Initiation Factor 4A2 (EIF4A2))

适用

  • 48
  • 34
  • 20
  • 5
  • 3
  • 3
  • 2
  • 2
  • 2
  • 2
  • 1
  • 1
  • 1
  • 1
  • 1
  • 1
  • 1
  • 1
  • 1
  • 1
  • 1
人, 大鼠, 小鼠

宿主

  • 63
  • 2

克隆类型

  • 63
  • 2
多克隆

标记

  • 29
  • 6
  • 6
  • 5
  • 1
  • 1
  • 1
  • 1
  • 1
  • 1
  • 1
  • 1
  • 1
  • 1
  • 1
  • 1
  • 1
  • 1
  • 1
  • 1
  • 1
  • 1
  • 1
This EIF4A2 antibody is un-conjugated

应用范围

  • 37
  • 28
  • 26
  • 15
  • 13
  • 13
  • 7
  • 4
  • 3
  • 2
  • 2
  • 1
  • 1
  • 1
Western Blotting (WB), Immunohistochemistry (IHC), Flow Cytometry (FACS), Immunofluorescence (IF), Immunoprecipitation (IP), Immunohistochemistry (Frozen Sections) (IHC (fro)), Immunocytochemistry (ICC)
  • 抗原表位

    • 15
    • 5
    • 5
    • 4
    • 3
    • 2
    • 2
    • 1
    • 1
    • 1
    • 1
    • 1
    • 1
    • 1
    • 1
    • 1
    AA 5-31, N-Term

    原理

    Anti-eIF4A2 Antibody

    序列

    SADYNREHGG PEGMDPDGVI ESNWNEI

    交叉反应 (详细)

    No cross-reactivity with other proteins.

    产品特性

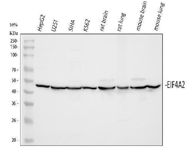
    Anti-eIF4A2 Antibody (ABIN3043426). Tested in Flow Cytometry, IF, IHC, IHC-F, ICC, WB applications. This antibody reacts with Human, Mouse, Rat. This is a premium antibody that guarantees superior quality, high affinity, and strong signals with minimal background in Western blot applications.

    纯化方法

    Immunogen affinity purified.

    免疫原

    A synthetic peptide corresponding to a sequence at the N-terminus of human eIF4A2, identical to the related mouse and rat sequences.

    亚型

    IgG
  • 应用备注

    Western blot, 0.1-0.5 μg/mL, Human, Rat
    Immunohistochemistry (Paraffin-embedded Section), 0.5-1 μg/mL, Human, Mouse, Rat
    Immunohistochemistry (Frozen Section), 0.5-1 μg/mL, Human
    Immunocytochemistry/Immunofluorescence, 2 μg/mL, Human
    Immunoprecipitation, 0.5-2 μg/mL, Human
    Flow Cytometry (Fixed), 1-3 μg/1x106 cells, Human

    说明

    Antibody can be supported by chemiluminescence kit ABIN921124 in WB, supported by ABIN921231 in IHC(P).

    限制

    仅限研究用
  • 状态

    Lyophilized

    溶解方式

    Add 0.2 mL of distilled water will yield a concentration of 500 μg/mL.

    浓度

    500 μg/mL

    缓冲液

    Each vial contains 5 mg BSA, 0.9 mg NaCl, 0.2 mg Na2HPO4, 0.05 mg Sodium azide.

    储存液

    Sodium azide

    注意事项

    This product contains Sodium azide: a POISONOUS AND HAZARDOUS SUBSTANCE which should be handled by trained staff only.

    注意事项

    Avoid repeated freezing and thawing.

    储存条件

    4 °C,-20 °C

    储存方法

    Store at -20°C for one year from date of receipt. After reconstitution, at 4°C for one month.
    It can also be aliquotted and stored frozen at -20°C for six months. Avoid repeated freeze-thaw cycles.
  • 抗原

    EIF4A2 (Eukaryotic Translation Initiation Factor 4A2 (EIF4A2))

    别名

    EIF4A2

    背景

    Synonyms: Eukaryotic initiation factor 4A-II,eIF-4A-II,eIF4A-II,3.6.4.13,ATP-dependent RNA helicase eIF4A-2,Eukaryotic initiation factor 4A-II, N-terminally processed,EIF4A2,DDX2B, EIF4F,

    Tissue Specificity: Ubiquitously expressed, with highest levels in corneal endothelium and lowest levels in brain. Isoform D1 is highly expressed in brain and heart. Isoform D2, isoform D3 and isoform D4 are weakly expressed. .

    Background: Eukaryotic initiation factor 4A-II is a protein that in humans is encoded by the EIF4A2 gene. It is mapped to 18p11.2. Eukaryotic initiation factor 4A plays an important role in the binding of mRNA to the 43S preinitiation complex when protein synthesis begins. Two highly homologous forms of functional EIF4A genes, Eif4a1 and Eif4a2, have been isolated in mice, yeast cells also possess 2 EIF4A genes, TIF1 and TIF2. The murine Eif4a and yeast TIF genes appear to belong to a DEAD-box gene family, whose members exhibit extensive amino acid similarity and contain the asp-glu-ala-asp (DEAD) sequence. DEAD-box genes have been identified in species ranging from E-coli to humans. Their function appears to be related to transcriptional/translational regulation.

    分子量

    49 kDa

    基因ID

    1974

    UniProt

    Q14240
You are here: