电话:
+86 (0512) 65829739
传真:
+86 (010) 6788 5057
电子邮件:
orders@antibodies-online.cn

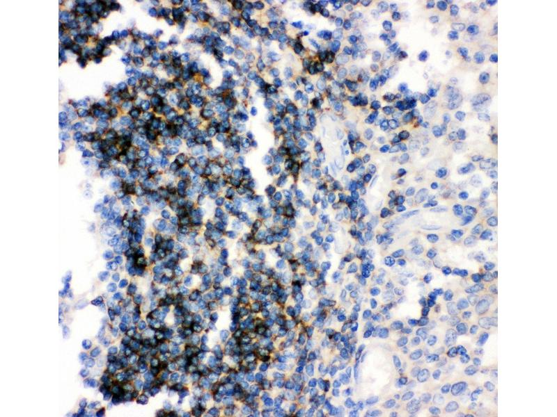
CD79b 抗体 (AA 29-229)

The 兔 多克隆 anti-CD79b antibody (ABIN3043398) specifically detects CD79b in FACS, WB, IHC 和 IF. The antibody is reactive with 人, 小鼠 和 大鼠 samples.
产品编号 ABIN3043398
发货至: 中国
Contact our Customer Service for availability and price in your country. Contact Info

Our Local Distributor

中国
北京 101111
No. 88 KeChuang 6th Street
Beijing Economic Technological Development Area
Room 801-803
4A Biotech Co.,Ltd.
Tel +86 (0512) 65829739 传真 +86 (010) 6788 5057

Quick Overview for CD79b 抗体 (AA 29-229) (ABIN3043398)

抗原

See all CD79b (CD79B) 抗体
CD79b (CD79B) (CD79b Molecule, Immunoglobulin-Associated beta (CD79B))

适用

  • 209
  • 69
  • 29
  • 8
  • 8
  • 2
  • 2
人, 小鼠, 大鼠

宿主

  • 113
  • 90
  • 15
  • 10
  • 9
  • 6
  • 2
  • 2

克隆类型

  • 184
  • 54
  • 3
多克隆

标记

  • 101
  • 21
  • 19
  • 18
  • 12
  • 5
  • 5
  • 5
  • 5
  • 5
  • 5
  • 5
  • 3
  • 3
  • 3
  • 3
  • 3
  • 3
  • 3
  • 3
  • 2
  • 2
  • 2
  • 2
  • 1
  • 1
  • 1
  • 1
  • 1
  • 1
  • 1
This CD79b antibody is un-conjugated

应用范围

  • 119
  • 106
  • 85
  • 54
  • 42
  • 38
  • 34
  • 28
  • 11
  • 11
  • 7
  • 5
  • 4
  • 3
  • 3
  • 2
  • 2
  • 2
Flow Cytometry (FACS), Western Blotting (WB), Immunohistochemistry (IHC), Immunofluorescence (IF)
  • 抗原表位

    • 64
    • 13
    • 8
    • 8
    • 7
    • 5
    • 4
    • 3
    • 2
    • 2
    • 2
    • 2
    • 1
    • 1
    • 1
    • 1
    • 1
    • 1
    • 1
    AA 29-229

    原理

    Anti-CD79b Antibody

    交叉反应 (详细)

    No cross-reactivity with other proteins

    产品特性

    Anti-CD79b Antibody (ABIN3043398). Tested in IF, IHC, ICC, WB applications. This antibody reacts with Human, Mouse, Rat. This is a premium antibody that guarantees superior quality, high affinity, and strong signals with minimal background in Western blot applications.

    纯化方法

    Immunogen affinity purified.

    免疫原

    E.coli-derived human CD79b recombinant protein (Position: A29-E229). Human CD79b shares 70% amino acid (aa) sequence identity with mouse CD79b.

    亚型

    IgG
  • 应用备注

    Western blot, 0.1-0.5 μg/mL, Human
    Immunohistochemistry (Paraffin-embedded Section), 2-5 μg/mL, Human
    Immunofluorescence, 5 μg/mL, Human
    Flow Cytometry(Fixed), 1-3 μg/1x106 cells, Human

    说明

    Antibody can be supported by chemiluminescence kit ABIN921124 in WB, supported by ABIN921231 in IHC(P) and ICC.

    限制

    仅限研究用
  • 状态

    Lyophilized

    溶解方式

    Add 0.2 mL of distilled water will yield a concentration of 500 μg/mL.

    浓度

    500 μg/mL

    缓冲液

    Each vial contains 4 mg Trehalose, 0.9 mg NaCl and 0.2 mg Na2HPO4.

    注意事项

    Avoid repeated freezing and thawing.

    储存条件

    4 °C,-20 °C

    储存方法

    Store at -20°C for one year from date of receipt. After reconstitution, at 4°C for one month.
    It can also be aliquotted and stored frozen at -20°C for six months. Avoid repeated freeze-thaw cycles.
  • 抗原

    CD79b (CD79B) (CD79b Molecule, Immunoglobulin-Associated beta (CD79B))

    别名

    CD79B

    背景

    Synonyms: B-cell antigen receptor complex-associated protein beta chain,B-cell-specific glycoprotein B29,Ig-beta,Immunoglobulin-associated B29 protein,CD79b,CD79B,B29, IGB,

    Tissue Specificity: B-cells.

    Background: CD79b molecule, immunoglobulin-associated beta, also known as CD79B (Cluster of Differentiation 79B), is a human gene. By fluorescence in situ hybridization, It is mapped to 17q23.3. The CD79B protein together with the related CD79A protein, forms a dimer associated with membrane bound immunoglobulin in B-cells, thus forming the B-cell antigen receptor (BCR) which is a multimeric complex that includes the antigen-specific component, surface immunoglobulin (Ig). CD79b also can enhances phosphorylation of CD79A, possibly by recruiting kinases which phosphorylate CD79A or by recruiting proteins which bind to CD79A and protect it from dephosphorylation.

    Sequence Similarities: Contains 1 Ig-like V-type (immunoglobulin-like) domain.

    分子量

    30-40 kDa

    基因ID

    974

    UniProt

    P40259

    途径

    BCR Signaling
You are here: