电话:
+86 (0512) 65829739
传真:
+86 (010) 6788 5057
电子邮件:
orders@antibodies-online.cn

SERPINH1 抗体 (AA 247-418)

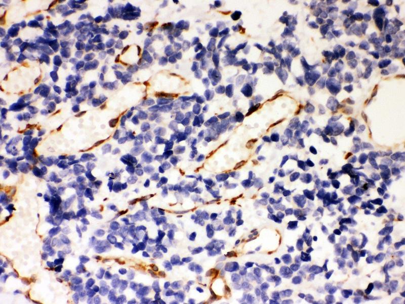
The 兔 多克隆 anti-SERPINH1 antibody is suitable to detect SERPINH1 in samples from 人, 小鼠 和 大鼠. It has been validated for WB 和 IHC.
产品编号 ABIN3043331
发货至: 中国
Contact our Customer Service for availability and price in your country. Contact Info

Our Local Distributor

中国
北京 101111
No. 88 KeChuang 6th Street
Beijing Economic Technological Development Area
Room 801-803
4A Biotech Co.,Ltd.
Tel +86 (0512) 65829739 传真 +86 (010) 6788 5057

Quick Overview for SERPINH1 抗体 (AA 247-418) (ABIN3043331)

抗原

See all SERPINH1 抗体
SERPINH1 (Serpin Family H Member 1 (SERPINH1))

适用

  • 74
  • 36
  • 33
  • 3
  • 3
  • 3
  • 3
  • 2
  • 2
  • 2
  • 1
  • 1
  • 1
  • 1
  • 1
人, 小鼠, 大鼠

宿主

  • 58
  • 27

克隆类型

  • 49
  • 36
多克隆

标记

  • 41
  • 7
  • 6
  • 4
  • 4
  • 4
  • 2
  • 2
  • 2
  • 2
  • 2
  • 2
  • 2
  • 1
  • 1
  • 1
  • 1
  • 1
This SERPINH1 antibody is un-conjugated

应用范围

  • 66
  • 32
  • 30
  • 21
  • 15
  • 9
  • 9
  • 3
  • 2
  • 2
Western Blotting (WB), Immunohistochemistry (IHC)
  • 抗原表位

    • 8
    • 7
    • 6
    • 5
    • 4
    • 4
    • 1
    • 1
    • 1
    • 1
    • 1
    • 1
    • 1
    • 1
    • 1
    AA 247-418

    原理

    Anti-Hsp47/SERPINH1 Antibody

    交叉反应 (详细)

    No cross-reactivity with other proteins

    产品特性

    Anti-Hsp47/SERPINH1 Antibody (ABIN3043331). Tested in IHC, WB applications. This antibody reacts with Human, Mouse, Rat. This is a premium antibody that guarantees superior quality, high affinity, and strong signals with minimal background in Western blot applications.

    纯化方法

    Immunogen affinity purified.

    免疫原

    E.coli-derived human Hsp47 recombinant protein (Position: D247-L418). Human Hsp47 shares 97% amino acid (aa) sequence identity with both mouse and rat Hsp47.

    亚型

    IgG
  • 应用备注

    Immunohistochemistry (Paraffin-embedded Section), 2-5 μg/mL, Human
    Western blot, 0.1-0.5 μg/mL, Human, Mouse, Rat

    说明

    Antibody can be supported by chemiluminescence kit ABIN921124 in WB, supported by ABIN921231 in IHC(P).

    限制

    仅限研究用
  • 状态

    Lyophilized

    溶解方式

    Add 0.2 mL of distilled water will yield a concentration of 500 μg/mL.

    浓度

    500 μg/mL

    缓冲液

    Each vial contains 5 mg BSA, 0.9 mg NaCl, 0.2 mg Na2HPO4, 0.05 mg Sodium azide.

    储存液

    Sodium azide

    注意事项

    This product contains Sodium azide: a POISONOUS AND HAZARDOUS SUBSTANCE which should be handled by trained staff only.

    注意事项

    Avoid repeated freezing and thawing.

    储存条件

    4 °C,-20 °C

    储存方法

    Store at -20°C for one year from date of receipt. After reconstitution, at 4°C for one month.
    It can also be aliquotted and stored frozen at -20°C for six months. Avoid repeated freeze-thaw cycles.
  • 抗原

    SERPINH1 (Serpin Family H Member 1 (SERPINH1))

    别名

    SERPINH1

    背景

    Synonyms: Serpin H1,47 kDa heat shock protein,Arsenic-transactivated protein 3,AsTP3,Cell proliferation-inducing gene 14 protein,Collagen-binding protein,Colligin,Rheumatoid arthritis-related antigen RA-A47,SERPINH1,CBP1, CBP2, HSP47, SERPINH2,PIG14,

    Tissue Specificity: Highly expressed in testis and thymus, followed by small intestine, placenta, colon, pancreas and ovary. Weakly expressed in breast.

    Background: Heat shock protein 47, also known as SERPINH1 or HSP47, is a serpin which serves as a human chaperone protein for collagen. This protein is a member of the serpin superfamily of serine proteinase inhibitors. Its expression is induced by heat shock. The protein localizes to the endoplasmic reticulum lumen and binds collagen, thus it is thought to be a molecular chaperone involved in the maturation of collagen molecules. Autoantibodies to this protein have been found in patients with rheumatoid arthritis. It has been found that HSP47 monitors the integrity of the triple helix of type I procollagen at the ER/cis-Golgi boundary and, when absent, the rate of transit from the ER to the Golgi is increased and the helical structure is compromised.

    Sequence Similarities: Belongs to the serpin family.

    分子量

    46 kDa

    基因ID

    871

    UniProt

    P50454
You are here: