电话:
+86 (0512) 65829739
传真:
+86 (010) 6788 5057
电子邮件:
orders@antibodies-online.cn

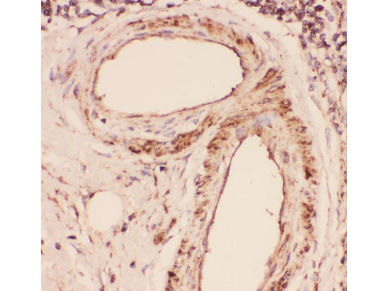
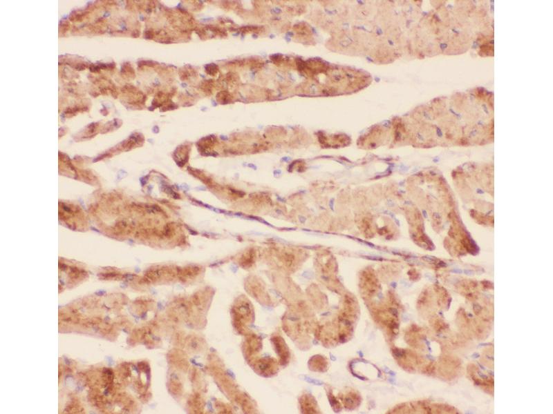
Desmin 抗体 (AA 1-304)

There are 22+ publications for this product available. The 兔 多克隆 anti-Desmin antibody is suitable to detect Desmin in samples from 人, 大鼠 和 小鼠. It has been validated for WB, IHC 和 IF.
产品编号 ABIN3043265
发货至: 中国
Contact our Customer Service for availability and price in your country. Contact Info

Our Local Distributor

中国
北京 101111
No. 88 KeChuang 6th Street
Beijing Economic Technological Development Area
Room 801-803
4A Biotech Co.,Ltd.
Tel +86 (0512) 65829739 传真 +86 (010) 6788 5057

Quick Overview for Desmin 抗体 (AA 1-304) (ABIN3043265)

抗原

See all Desmin (DES) 抗体
Desmin (DES)

适用

  • 196
  • 116
  • 96
  • 55
  • 38
  • 13
  • 13
  • 9
  • 9
  • 5
  • 4
  • 3
  • 2
  • 1
人, 大鼠, 小鼠

宿主

  • 139
  • 57
  • 2

克隆类型

  • 113
  • 85
  • 1
多克隆

标记

  • 96
  • 10
  • 8
  • 6
  • 4
  • 3
  • 3
  • 3
  • 3
  • 3
  • 3
  • 3
  • 3
  • 3
  • 3
  • 3
  • 3
  • 3
  • 3
  • 3
  • 3
  • 3
  • 2
  • 2
  • 2
  • 2
  • 2
  • 2
  • 2
  • 2
  • 2
  • 2
  • 1
  • 1
  • 1
  • 1
This Desmin antibody is un-conjugated

应用范围

  • 133
  • 104
  • 53
  • 45
  • 36
  • 23
  • 21
  • 20
  • 14
  • 13
  • 10
  • 10
  • 3
  • 2
  • 2
  • 2
  • 1
  • 1
Western Blotting (WB), Immunohistochemistry (IHC), Immunofluorescence (IF)
  • 抗原表位

    • 16
    • 16
    • 16
    • 15
    • 11
    • 10
    • 7
    • 5
    • 3
    • 3
    • 2
    • 2
    • 2
    • 2
    • 1
    • 1
    • 1
    • 1
    • 1
    • 1
    • 1
    • 1
    • 1
    • 1
    • 1
    • 1
    • 1
    • 1
    • 1
    • 1
    • 1
    • 1
    AA 1-304

    原理

    Anti-Desmin Antibody

    交叉反应 (详细)

    No cross-reactivity with other proteins

    产品特性

    Anti-Desmin Antibody (ABIN3043265). Tested in IF, IHC, WB applications. This antibody reacts with Human, Mouse, Rat. This is a premium antibody that guarantees superior quality, high affinity, and strong signals with minimal background in Western blot applications.

    纯化方法

    Immunogen affinity purified.

    免疫原

    E.coli-derived human Desmin recombinant protein (Position: M1-T304). Human Desmin shares 97% amino acid (aa) sequence identity with both mouse and rat Desmin.

    亚型

    IgG
  • 应用备注

    Western blot, 0.1-0.5 μg/mL, Mouse, Rat
    Immunohistochemistry (Paraffin-embedded Section), 2-5 μg/mL, Human, Mouse, Rat
    Immunohistochemistry (Frozen Section), 2-5 μg/mL, Rat
    Immunofluorescence, 5 μg/mL, Mouse, Rat

    说明

    Antibody can be supported by chemiluminescence kit ABIN921124 in WB, supported by ABIN921231 in IHC(P) and IHC(F).

    限制

    仅限研究用
  • 状态

    Lyophilized

    溶解方式

    Add 0.2 mL of distilled water will yield a concentration of 500 μg/mL.

    浓度

    500 μg/mL

    缓冲液

    Each vial contains 5 mg BSA, 0.9 mg NaCl, 0.2 mg Na2HPO4, 0.01 mg Sodium azide.

    储存液

    Sodium azide

    注意事项

    This product contains Sodium azide: a POISONOUS AND HAZARDOUS SUBSTANCE which should be handled by trained staff only.

    注意事项

    Avoid repeated freezing and thawing.

    储存条件

    4 °C,-20 °C

    储存方法

    Store at -20°C for one year from date of receipt. After reconstitution, at 4°C for one month.
    It can also be aliquotted and stored frozen at -20°C for six months. Avoid repeated freeze-thaw cycles.
  • Huang, Chen, Guo, Chen, Zhang, Chen, Wang: "Interleukin‑10 promotes primary rat hepatic stellate cell senescence by upregulating the expression levels of p53 and p21." in: Molecular medicine reports, Vol. 17, Issue 4, pp. 5700-5707, (2018) (PubMed).

    Liu, Du, Zhu, Zhang, Sun, Liu, Li, Wang, Du: "Identification of apoptosis-related microRNAs and their target genes in myocardial infarction post-transplantation with skeletal myoblasts." in: Journal of translational medicine, Vol. 13, pp. 270, (2016) (PubMed).

    Jiang, Zhang, Fang, Zhang, Lu, Zhu, Cheng, Ai, Zhou, Li, Fang, Yao: "Analgesic effects of Chinese Tuina massage in a rat model of pain." in: Experimental and therapeutic medicine, Vol. 11, Issue 4, pp. 1367-1374, (2016) (PubMed).

    Zhang, Deng, Wen, Chen, Liu, Ye, Huang, Jiang, Xiong: "PPAR? and MyoD are differentially regulated by myostatin in adipose-derived stem cells and muscle satellite cells." in: Biochemical and biophysical research communications, Vol. 458, Issue 2, pp. 375-80, (2015) (PubMed).

    Gao, Zhi, Yang, Li, Yan, Wang: "Low dose of IGF-I increases cell size of skeletal muscle satellite cells via Akt/S6K signaling pathway." in: Journal of cellular biochemistry, Vol. 116, Issue 11, pp. 2637-48, (2015) (PubMed).

    Sondag, Salihoglu, Lababidi, Crowder, Moussa, Abdelmagid, Safadi: "Osteoactivin induces transdifferentiation of C2C12 myoblasts into osteoblasts." in: Journal of cellular physiology, Vol. 229, Issue 7, pp. 955-66, (2014) (PubMed).

    Wei, Yang, Wang, Xu, Liang, Zhou: "Sodium ferulate lowers portal pressure in rats with secondary biliary cirrhosis through the RhoA/Rho-kinase signaling pathway: a preliminary study." in: International journal of molecular medicine, Vol. 34, Issue 5, pp. 1257-67, (2014) (PubMed).

    Pan, Chen, Huang, Yao, Ma: "Transforming growth factor ?1 induces the expression of collagen type I by DNA methylation in cardiac fibroblasts." in: PLoS ONE, Vol. 8, Issue 4, pp. e60335, (2013) (PubMed).

    Wu, Gu, Zhao, Tan, Chen, Zhu, Zhang: "Derivation of multipotent nestin(+)/CD271 (-)/STRO-1 (-) mesenchymal-like precursors from human embryonic stem cells in chemically defined conditions." in: Human cell, Vol. 26, Issue 1, pp. 19-27, (2013) (PubMed).

    Liu, Liu, Xu, Wang, Zhu, Li, Wang, Liu, Ma, Wu: "Neurotransmitter noradrenaline downregulate cytoskeletal protein expression of VSMCs." in: Experimental and molecular pathology, Vol. 94, Issue 1, pp. 79-83, (2013) (PubMed).

    Yan, Gan, Yang, Sun: "The proliferation and differentiation characteristics of co-cultured porcine preadipocytes and muscle satellite cells in vitro." in: Molecular biology reports, Vol. 40, Issue 4, pp. 3197-202, (2013) (PubMed).

    Liu, Wang, Du, Liu, Liu, Zhang, Zhang, Hou, Liu, Zhang, Yu: "Wnt1 inhibits hydrogen peroxide-induced apoptosis in mouse cardiac stem cells." in: PLoS ONE, Vol. 8, Issue 3, pp. e58883, (2013) (PubMed).

    Qian, Qian, Zhang, Zhu, Yan, Ye, Peng, Li, Xu, Sun, Xu: "5-Azacytidine induces cardiac differentiation of human umbilical cord-derived mesenchymal stem cells by activating extracellular regulated kinase." in: Stem cells and development, Vol. 21, Issue 1, pp. 67-75, (2012) (PubMed).

    Liu, Wang, Yu, Zhang, Chen, Jin, Dai, Li, Xu: "Injection of duck recombinant follistatin fusion protein into duck muscle tissues stimulates satellite cell proliferation and muscle fiber hypertrophy." in: Applied microbiology and biotechnology, Vol. 94, Issue 5, pp. 1255-63, (2012) (PubMed).

    Wang, Yang, Yang, Shu, Wang, Jiang, Yuan, Wu: "The differential proliferative ability of satellite cells in Lantang and Landrace pigs." in: PLoS ONE, Vol. 7, Issue 3, pp. e32537, (2012) (PubMed).

    Zhang, Zheng, Yu, Min, Yu, Ye, Xie, Zhang: "Lentiviral vector-mediated down-regulation of IL-17A receptor in hepatic stellate cells results in decreased secretion of IL-6." in: World journal of gastroenterology, Vol. 18, Issue 28, pp. 3696-704, (2012) (PubMed).

    Longxi, Buwu, Yuan, Sinan: "Expression of p53 in the effects of artesunate on induction of apoptosis and inhibition of proliferation in rat primary hepatic stellate cells." in: PLoS ONE, Vol. 6, Issue 10, pp. e26500, (2011) (PubMed).

    Liu, Li, Chen, Cao, Zhang, Yu, Xu, He, Wang: "Characterization of in vitro cultured myoblasts isolated from duck (Anas platyrhynchos) embryo." in: Cytotechnology, Vol. 63, Issue 4, pp. 399-406, (2011) (PubMed).

    Xu, Qian, Zhu, Zhang, Yan, Wang, Xu: "Isolation of cancer stem cells from transformed human mesenchymal stem cell line F6." in: Journal of molecular medicine (Berlin, Germany), Vol. 88, Issue 11, pp. 1181-90, (2010) (PubMed).

    Wang, Fan, Zhang, Liu, Sun, Wang: "Compatibility of hyaluronic acid hydrogel and skeletal muscle myoblasts." in: Biomedical materials (Bristol, England), Vol. 4, Issue 2, pp. 25011, (2009) (PubMed).

  • 抗原

    Desmin (DES)

    别名

    DES

    背景

    Synonyms: Desmin,DES,

    Background: DES, also called desmin, is a protein that in humans is encoded by the DES gene, and this gene is mapped to 2q35. DES is the muscle-specific member of the intermediate filament (IF) protein family. It is one of the earliest myogenic markers, both in heart and somites, and is expressed in satellite stem cells and replicating myoblasts. DES is very important in muscle cell architecture and structure since it connects many components of the cytoplasm. It may be also play an important role in mitochondria function. What's more, DES provides attachments between the terminal Z disc and membrane-associated proteins to form a force-transmitting system that parallels the thin filaments at myotendinous junctions.

    Sequence Similarities: Belongs to the intermediate filament family.

    分子量

    53 kDa

    基因ID

    1674

    UniProt

    P17661
You are here: