电话:
+86 (0512) 65829739
传真:
+86 (010) 6788 5057
电子邮件:
orders@antibodies-online.cn

Annexin IV 抗体 (N-Term)

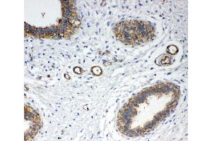
Cited in 1 publication. The 兔 多克隆 anti-Annexin IV antibody (ABIN3043239) specifically detects Annexin IV in WB 和 IHC. The antibody is reactive with 人, 大鼠 和 小鼠 samples.
产品编号 ABIN3043239
发货至: 中国
Contact our Customer Service for availability and price in your country. Contact Info

Our Local Distributor

中国
北京 101111
No. 88 KeChuang 6th Street
Beijing Economic Technological Development Area
Room 801-803
4A Biotech Co.,Ltd.
Tel +86 (0512) 65829739 传真 +86 (010) 6788 5057

Quick Overview for Annexin IV 抗体 (N-Term) (ABIN3043239)

抗原

See all Annexin IV (ANXA4) 抗体
Annexin IV (ANXA4) (Annexin A4 (ANXA4))

适用

  • 85
  • 33
  • 32
  • 20
  • 15
  • 4
  • 4
  • 2
  • 1
  • 1
  • 1
  • 1
  • 1
人, 大鼠, 小鼠

宿主

  • 113
  • 25
  • 1

克隆类型

  • 94
  • 43
多克隆

标记

  • 77
  • 25
  • 9
  • 3
  • 3
  • 3
  • 3
  • 3
  • 3
  • 2
  • 2
  • 1
  • 1
  • 1
  • 1
  • 1
  • 1
This Annexin IV antibody is un-conjugated

应用范围

  • 104
  • 54
  • 42
  • 30
  • 26
  • 25
  • 21
  • 10
  • 7
  • 5
  • 2
  • 2
  • 1
  • 1
  • 1
  • 1
Western Blotting (WB), Immunohistochemistry (IHC)
  • 抗原表位

    • 12
    • 8
    • 7
    • 5
    • 4
    • 4
    • 4
    • 3
    • 3
    • 3
    • 3
    • 3
    • 2
    • 1
    • 1
    • 1
    • 1
    • 1
    • 1
    • 1
    • 1
    • 1
    • 1
    • 1
    • 1
    AA 7-21, N-Term

    原理

    Anti-Annexin IV/ANXA4 Antibody

    序列

    TVKAASGFNA MEDAQ

    交叉反应 (详细)

    No cross-reactivity with other proteins

    产品特性

    Anti-Annexin IV/ANXA4 Antibody (ABIN3043239). Tested in IHC, WB applications. This antibody reacts with Human, Mouse, Rat. This is a premium antibody that guarantees superior quality, high affinity, and strong signals with minimal background in Western blot applications.

    纯化方法

    Immunogen affinity purified.

    免疫原

    A synthetic peptide corresponding to a sequence at the N-terminus of human Annexin IV, different from the related mouse and rat sequences by one amino acid.

    亚型

    IgG
  • 应用备注

    Immunohistochemistry (Paraffin-embedded Section), 0.5-1 μg/mL, Human, Rat, Mouse
    Western blot, 0.1-0.5 μg/mL, Human, Mouse, Rat

    说明

    Antibody can be supported by chemiluminescence kit ABIN921124 in WB, supported by ABIN921231 in IHC(P).

    限制

    仅限研究用
  • 状态

    Lyophilized

    溶解方式

    Add 0.2 mL of distilled water will yield a concentration of 500 μg/mL.

    浓度

    500 μg/mL

    缓冲液

    Each vial contains 5 mg BSA, 0.9 mg NaCl, 0.2 mg Na2HPO4, 0.05 mg Thimerosal, 0.05 mg Sodium azide.

    储存液

    Thimerosal (Merthiolate), Sodium azide

    注意事项

    This product contains Thimerosal (Merthiolate) and Sodium azide: POISONOUS AND HAZARDOUS SUBSTANCES which should be handled by trained staff only.

    注意事项

    Avoid repeated freezing and thawing.

    储存条件

    4 °C,-20 °C

    储存方法

    Store at -20°C for one year from date of receipt. After reconstitution, at 4°C for one month.
    It can also be aliquotted and stored frozen at -20°C for six months. Avoid repeated freeze-thaw cycles.

    有效期

    12 months
  • Manville, Abbott: "Ancient and modern anticonvulsants act synergistically in a KCNQ potassium channel binding pocket." in: Nature communications, Vol. 9, Issue 1, pp. 3845, (2018) (PubMed).

  • 抗原

    Annexin IV (ANXA4) (Annexin A4 (ANXA4))

    别名

    ANXA4

    背景

    Synonyms: Annexin A4,35-beta calcimedin,Annexin IV,Annexin-4,Carbohydrate-binding protein p33/p41,Chromobindin-4,Endonexin I,Lipocortin IV,P32.5,PP4-X,Placental anticoagulant protein II,PAP-II,Protein II,ANXA4,ANX4,

    Tissue Specificity: Widely expressed, with highest expression in brain. .

    Background: Annexin IV, also known as placental anticoagulant protein II, or zymogen granule membrane-associated protein, 36-KD (ZAP36), is one of the family of calcium-dependent phospholipid-binding proteins whose normal function is uncertain. Annexin IV has 45 to 59 % identity with other members of the annexin family. Annexin IV gene spans 18 to 56 kb. And it is located on mouse chromosome 6 in a region of conserved synteny with human chromosome 2. Rat annexin IV is ubiquitously expressed in epithelial tissues. Zap36 associated with zymogen granule membranes in dog and rat pancreas. Human annexin IV gene is mapped to chromosome 2p13.

    Sequence Similarities: Belongs to the annexin family.

    分子量

    36 kDa

    UniProt

    P09525
You are here: