电话:
+86 (0512) 65829739
传真:
+86 (010) 6788 5057
电子邮件:
orders@antibodies-online.cn

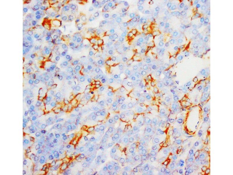
Myeloperoxidase 抗体 (C-Term)

There are 3+ publications for this product available. The 兔 多克隆 anti-Myeloperoxidase antibody is suitable to detect Myeloperoxidase in samples from 人, 小鼠 和 大鼠. It has been validated for WB, IHC, FACS 和 IF.
产品编号 ABIN3043232
发货至: 中国
Contact our Customer Service for availability and price in your country. Contact Info

Our Local Distributor

中国
北京 101111
No. 88 KeChuang 6th Street
Beijing Economic Technological Development Area
Room 801-803
4A Biotech Co.,Ltd.
Tel +86 (0512) 65829739 传真 +86 (010) 6788 5057

Quick Overview for Myeloperoxidase 抗体 (C-Term) (ABIN3043232)

抗原

See all Myeloperoxidase (MPO) 抗体
Myeloperoxidase (MPO)

适用

  • 203
  • 68
  • 57
  • 8
  • 2
  • 2
  • 1
  • 1
  • 1
  • 1
人, 小鼠, 大鼠

宿主

  • 152
  • 97
  • 1
  • 1
  • 1

克隆类型

  • 131
  • 121
多克隆

标记

  • 109
  • 33
  • 30
  • 12
  • 10
  • 9
  • 4
  • 4
  • 4
  • 4
  • 4
  • 4
  • 2
  • 2
  • 2
  • 2
  • 2
  • 2
  • 1
  • 1
  • 1
  • 1
  • 1
  • 1
  • 1
  • 1
  • 1
  • 1
  • 1
  • 1
  • 1
This Myeloperoxidase antibody is un-conjugated

应用范围

  • 141
  • 89
  • 82
  • 66
  • 46
  • 46
  • 34
  • 18
  • 15
  • 14
  • 14
  • 13
  • 10
  • 7
  • 6
  • 6
  • 5
  • 5
  • 4
  • 2
  • 2
  • 1
  • 1
  • 1
  • 1
Western Blotting (WB), Immunohistochemistry (IHC), Flow Cytometry (FACS), Immunofluorescence (IF)
  • 抗原表位

    • 16
    • 13
    • 12
    • 11
    • 9
    • 8
    • 7
    • 4
    • 3
    • 3
    • 3
    • 2
    • 2
    • 2
    • 2
    • 2
    • 2
    • 2
    • 2
    • 2
    • 2
    • 2
    • 2
    • 1
    • 1
    • 1
    • 1
    • 1
    • 1
    • 1
    • 1
    • 1
    • 1
    • 1
    AA 714-728, C-Term

    原理

    Anti-Myeloperoxidase/MPO Antibody

    序列

    KNNIFMSNSY PRDFV

    交叉反应 (详细)

    No cross-reactivity with other proteins

    产品特性

    Anti-Myeloperoxidase/MPO Antibody (ABIN3043232). Tested in Flow Cytometry, IF, IHC, WB applications. This antibody reacts with Human, Mouse, Rat. This is a premium antibody that guarantees superior quality, high affinity, and strong signals with minimal background in Western blot applications.

    纯化方法

    Immunogen affinity purified.

    免疫原

    A synthetic peptide corresponding to a sequence at the C-terminus of human MPO, different from the related mouse and rat sequences by one amino acid.

    亚型

    IgG
  • 应用备注

    Western blot, 0.1-0.5 μg/mL, Human, Mouse, Rat
    Immunohistochemistry (Paraffin-embedded Section), 2-5 μg/mL, Human, Mouse, Rat
    Immunofluorescence, 5 μg/mL, Human
    Flow Cytometry (Fixed), 1-3 μg/1x106 cells, Human

    说明

    Antibody can be supported by chemiluminescence kit ABIN921124 in WB, supported by ABIN921231 in IHC(P).

    限制

    仅限研究用
  • 状态

    Lyophilized

    溶解方式

    Add 0.2 mL of distilled water will yield a concentration of 500 μg/mL.

    浓度

    500 μg/mL

    缓冲液

    Each vial contains 5 mg BSA, 0.9 mg NaCl, 0.2 mg Na2HPO4, 0.05 mg Thimerosal, 0.05 mg Sodium azide.

    储存液

    Thimerosal (Merthiolate), Sodium azide

    注意事项

    This product contains Thimerosal (Merthiolate) and Sodium azide: POISONOUS AND HAZARDOUS SUBSTANCES which should be handled by trained staff only.

    注意事项

    Avoid repeated freezing and thawing.

    储存条件

    4 °C,-20 °C

    储存方法

    Store at -20°C for one year from date of receipt. After reconstitution, at 4°C for one month.
    It can also be aliquotted and stored frozen at -20°C for six months. Avoid repeated freeze-thaw cycles.

    有效期

    12 months
  • Wei, Kong, Li, Guan, Wang, Miao: "Nicotinamide mononucleotide attenuates brain injury after intracerebral hemorrhage by activating Nrf2/HO-1 signaling pathway." in: Scientific reports, Vol. 7, Issue 1, pp. 717, (2018) (PubMed).

    Xu, Zhang, He, Li, Gao, Liu: "Lactobacillus acidophilus alleviates pouchitis after ileal pouch-anal anastomosis in rats." in: World journal of gastroenterology, Vol. 23, Issue 26, pp. 4735-4743, (2018) (PubMed).

    Yu, Chen, Wang, Kuang, Liu, Zhang, Du: "Neuroprotective effect of kaempferol glycosides against brain injury and neuroinflammation by inhibiting the activation of NF-?B and STAT3 in transient focal stroke." in: PLoS ONE, Vol. 8, Issue 2, pp. e55839, (2013) (PubMed).

  • 抗原

    Myeloperoxidase (MPO)

    别名

    MPO

    背景

    Synonyms: Myeloperoxidase,MPO,1.11.2.2,Myeloperoxidase,89 kDa myeloperoxidase,84 kDa myeloperoxidase,Myeloperoxidase light chain,Myeloperoxidase heavy chain,MPO,

    Tissue Specificity: MBP isoforms are found in both the central and the peripheral nervous system, whereas Golli-MBP isoforms are expressed in fetal thymus, spleen and spinal cord, as well as in cell lines derived from the immune system. .

    Background: Myeloperoxidase (MPO) is a mammalian phagocyte hemoprotein though to primarily mediate host defense reactions. It is abundantly expressed in neutrophils and secreted during their activation. Myeloperoxidase is part of the host defense system of human polymorphonuclear leukocytes, responsible for microbicidal activity against a wide range of organisms. It is located in the nucleus as well as in the cytoplasm. Intranuclear MPO may help to protect DNA against damage resulting from oxygen radicals produced during myeloid cell maturation and function.

    Sequence Similarities: Belongs to the peroxidase family. XPO subfamily.

    分子量

    60 kDa

    UniProt

    P05164

    途径

    Chromatin Binding
You are here: