电话:
+86 (0512) 65829739
传真:
+86 (010) 6788 5057
电子邮件:
orders@antibodies-online.cn

TNNC1 抗体 (N-Term)

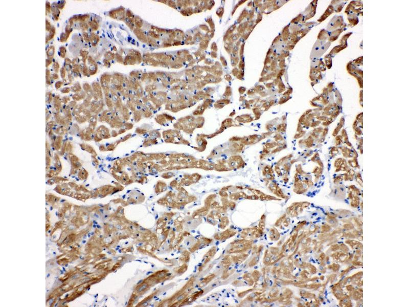
The 兔 多克隆 anti-TNNC1 antibody is suitable to detect TNNC1 in samples from 人, 小鼠 和 大鼠. It has been validated for WB 和 IHC.
产品编号 ABIN3043055
发货至: 中国
Contact our Customer Service for availability and price in your country. Contact Info

Our Local Distributor

中国
北京 101111
No. 88 KeChuang 6th Street
Beijing Economic Technological Development Area
Room 801-803
4A Biotech Co.,Ltd.
Tel +86 (0512) 65829739 传真 +86 (010) 6788 5057

Quick Overview for TNNC1 抗体 (N-Term) (ABIN3043055)

抗原

See all TNNC1 抗体
TNNC1 (Cardiac Troponin C (TNNC1))

适用

  • 76
  • 54
  • 48
  • 19
  • 1
  • 1
  • 1
  • 1
  • 1
  • 1
  • 1
  • 1
  • 1
  • 1
  • 1
人, 小鼠, 大鼠

宿主

  • 66
  • 9
  • 3
  • 1

克隆类型

  • 59
  • 21
多克隆

标记

  • 32
  • 5
  • 5
  • 3
  • 2
  • 2
  • 2
  • 2
  • 2
  • 2
  • 2
  • 2
  • 2
  • 2
  • 2
  • 2
  • 2
  • 2
  • 2
  • 2
  • 2
  • 1
  • 1
This TNNC1 antibody is un-conjugated

应用范围

  • 51
  • 26
  • 25
  • 23
  • 14
  • 13
  • 3
  • 2
  • 2
  • 1
  • 1
  • 1
Western Blotting (WB), Immunohistochemistry (IHC)
  • 抗原表位

    • 15
    • 15
    • 6
    • 5
    • 2
    • 1
    • 1
    • 1
    • 1
    • 1
    • 1
    • 1
    • 1
    • 1
    • 1
    AA 1-18, N-Term

    原理

    Anti-cardiac Troponin C/TNNC1 Antibody

    序列

    MDDIYKAAVE QLTEEQKN

    交叉反应 (详细)

    No cross-reactivity with other proteins

    产品特性

    Anti-cardiac Troponin C/TNNC1 Antibody (ABIN3043055). Tested in IHC, WB applications. This antibody reacts with Human, Mouse, Rat. This is a premium antibody that guarantees superior quality, high affinity, and strong signals with minimal background in Western blot applications.

    纯化方法

    Immunogen affinity purified.

    免疫原

    A synthetic peptide corresponding to a sequence at the N-terminus of human cardiac Troponin C, identical to the related rat and mouse sequences .

    亚型

    IgG
  • 应用备注

    Immunohistochemistry (Paraffin-embedded Section), 0.5-1 μg/mL, Human, Rat, Mouse
    Western blot, 0.1-0.5 μg/mL, Rat, Human, Mouse

    说明

    Antibody can be supported by chemiluminescence kit ABIN921124 in WB, supported by ABIN921231 in IHC(P).

    限制

    仅限研究用
  • 状态

    Lyophilized

    溶解方式

    Add 0.2 mL of distilled water will yield a concentration of 500 μg/mL.

    浓度

    500 μg/mL

    缓冲液

    Each vial contains 5 mg BSA, 0.9 mg NaCl, 0.2 mg Na2HPO4, 0.05 mg Thimerosal, 0.05 mg Sodium azide.

    储存液

    Thimerosal (Merthiolate), Sodium azide

    注意事项

    This product contains Thimerosal (Merthiolate) and Sodium azide: POISONOUS AND HAZARDOUS SUBSTANCES which should be handled by trained staff only.

    注意事项

    Avoid repeated freezing and thawing.

    储存条件

    4 °C,-20 °C

    储存方法

    Store at -20°C for one year from date of receipt. After reconstitution, at 4°C for one month.
    It can also be aliquotted and stored frozen at -20°C for six months. Avoid repeated freeze-thaw cycles.

    有效期

    12 months
  • 抗原

    TNNC1 (Cardiac Troponin C (TNNC1))

    别名

    TNNC1

    背景

    Synonyms: Troponin C, slow skeletal and cardiac muscles,TN-C,TNNC1,TNNC,

    Background: Troponin C1 (TNNC1) (troponin C type 1 (slow)), also called TROPONIN C, SLOW-TWITCH SKELETAL MUSCLE or TNC, is a protein that in humans is encoded by the TNNC1 gene. Using a "monochromosomal" hybrid panel, the TNNC1 gene is mapped to chromosome 3, subsequent analysis of the Genebridge 4 radiation hybrid panel localized the gene to 3p in a region consistent with the earlier assignment. Circular dichroism measurements revealed changes in the secondary structures of the TNNC1 mutants A8V, C84Y, and D145E.

    Sequence Similarities: Belongs to the troponin C family.

    分子量

    18 kDa

    UniProt

    P63316
You are here: