电话:
+86 (0512) 65829739
传真:
+86 (010) 6788 5057
电子邮件:
orders@antibodies-online.cn

SDC3 抗体 (N-Term)

This 兔 多克隆 antibody specifically detects SDC3 in WB 和 IHC. It exhibits reactivity toward 人, 小鼠 和 大鼠. It has been mentioned in 2+ publications
产品编号 ABIN3042886
发货至: 中国
Contact our Customer Service for availability and price in your country. Contact Info

Our Local Distributor

中国
北京 101111
No. 88 KeChuang 6th Street
Beijing Economic Technological Development Area
Room 801-803
4A Biotech Co.,Ltd.
Tel +86 (0512) 65829739 传真 +86 (010) 6788 5057

Quick Overview for SDC3 抗体 (N-Term) (ABIN3042886)

抗原

See all SDC3 抗体
SDC3 (Syndecan 3 (SDC3))

适用

  • 48
  • 17
  • 16
  • 4
  • 4
  • 4
  • 4
  • 3
  • 2
  • 2
  • 2
  • 2
  • 1
  • 1
人, 小鼠, 大鼠

宿主

  • 45
  • 2
  • 1

克隆类型

  • 41
  • 7
多克隆

标记

  • 22
  • 3
  • 2
  • 2
  • 1
  • 1
  • 1
  • 1
  • 1
  • 1
  • 1
  • 1
  • 1
  • 1
  • 1
  • 1
  • 1
  • 1
  • 1
  • 1
  • 1
  • 1
  • 1
This SDC3 antibody is un-conjugated

应用范围

  • 36
  • 12
  • 4
  • 2
  • 1
  • 1
  • 1
  • 1
  • 1
  • 1
Western Blotting (WB), Immunohistochemistry (IHC)
  • 抗原表位

    • 8
    • 5
    • 3
    • 2
    • 2
    • 2
    • 1
    • 1
    • 1
    AA 45-60, N-Term

    原理

    Anti-Syndecan 3/SDC3 Antibody

    序列

    AQRWRNENFE RPVDLE

    交叉反应 (详细)

    No cross-reactivity with other proteins

    产品特性

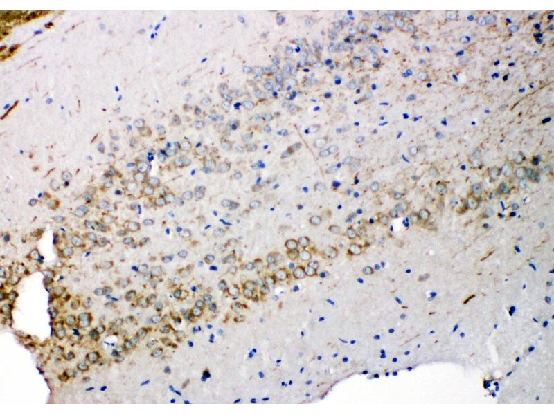
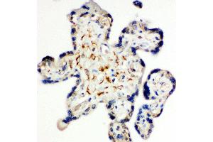
    Anti-Syndecan 3/SDC3 Antibody (ABIN3042886). Tested in IHC, WB applications. This antibody reacts with Human, Mouse, Rat. This is a premium antibody that guarantees superior quality, high affinity, and strong signals with minimal background in Western blot applications.

    纯化方法

    Immunogen affinity purified.

    免疫原

    A synthetic peptide corresponding to a sequence at the N-terminus of mouse Syndecan 3/SDC3, identical to the related rat sequence, and different from the related human sequence by one amino acid.

    亚型

    IgG
  • 应用备注

    Immunohistochemistry (Paraffin-embedded Section), 0.5-1 μg/mL, Human, Rat, Mouse
    Western blot, 0.1-0.5 μg/mL, Human, Mouse, Rat

    说明

    Antibody can be supported by chemiluminescence kit ABIN921124 in WB, supported by ABIN921231 in IHC(P).

    限制

    仅限研究用
  • 状态

    Lyophilized

    溶解方式

    Add 0.2 mL of distilled water will yield a concentration of 500 μg/mL.

    浓度

    500 μg/mL

    缓冲液

    Each vial contains 5 mg BSA, 0.9 mg NaCl, 0.2 mg Na2HPO4, 0.05 mg Thimerosal, 0.05 mg Sodium azide.

    储存液

    Thimerosal (Merthiolate), Sodium azide

    注意事项

    This product contains Thimerosal (Merthiolate) and Sodium azide: POISONOUS AND HAZARDOUS SUBSTANCES which should be handled by trained staff only.

    注意事项

    Avoid repeated freezing and thawing.

    储存条件

    4 °C,-20 °C

    储存方法

    Store at -20°C for one year from date of receipt. After reconstitution, at 4°C for one month.
    It can also be aliquotted and stored frozen at -20°C for six months. Avoid repeated freeze-thaw cycles.

    有效期

    12 months
  • Yao, Zhang, Huang, Li, Gao: "Pleiotrophin and N-syndecan promote perineural invasion and tumor progression in an orthotopic mouse model of pancreatic cancer." in: World journal of gastroenterology, Vol. 23, Issue 21, pp. 3907-3914, (2017) (PubMed).

    Yao, Li, Li, Feng, Gao: "Midkine promotes perineural invasion in human pancreatic cancer." in: World journal of gastroenterology, Vol. 20, Issue 11, pp. 3018-24, (2014) (PubMed).

  • 抗原

    SDC3 (Syndecan 3 (SDC3))

    别名

    SDC3

    背景

    Synonyms: Syndecan-3,SYND3,Sdc3,Kiaa0468,

    Tissue Specificity: Expressed in most tissues. Most abundant in kidney, bone and liver.

    Background: Syndecan-3, also called SYND3 is a protein that in humans is encoded by the SDC3 gene. This gene was assigned to human chromosome 1p35.2. This gene can function as in trans HIV receptors via binding of HIV-1 gp120 to the syndecan heparin sulfate chains. It may play a role in the organization of cell shape by affecting the actin cytoskeleton, and possibly by transferring signals from the cell surface in a sugar-dependent mechanism. In wildtype mice, SDC3 was expressed in hypothalamic regions that control energy balance. It was proposed that oscillation of hypothalamic SDC3 levels physiologically modulates feeding behavior.

    Sequence Similarities: Belongs to the protein kinase superfamily. Ser/Thr protein kinase family. CDC5/Polo subfamily.

    分子量

    60 kDa

    UniProt

    Q64519

    途径

    Glycosaminoglycan Metabolic Process
You are here: