电话:
+86 (0512) 65829739
传真:
+86 (010) 6788 5057
电子邮件:
orders@antibodies-online.cn

CXCL9 抗体 (N-Term)

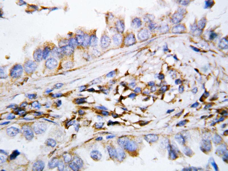
The 兔 多克隆 anti-CXCL9 antibody (ABIN3042690) specifically detects CXCL9 in WB 和 IHC. The antibody is reactive with 人 samples.
产品编号 ABIN3042690
发货至: 中国
Contact our Customer Service for availability and price in your country. Contact Info

Our Local Distributor

中国
北京 101111
No. 88 KeChuang 6th Street
Beijing Economic Technological Development Area
Room 801-803
4A Biotech Co.,Ltd.
Tel +86 (0512) 65829739 传真 +86 (010) 6788 5057

Quick Overview for CXCL9 抗体 (N-Term) (ABIN3042690)

抗原

See all CXCL9 抗体
CXCL9 (gamma-Interferon-Induced Monokine (CXCL9))

适用

  • 83
  • 24
  • 19
  • 16
  • 3
  • 2
  • 1

宿主

  • 60
  • 30
  • 2
  • 1
  • 1

克隆类型

  • 64
  • 30
多克隆

标记

  • 45
  • 11
  • 9
  • 4
  • 4
  • 3
  • 1
  • 1
  • 1
  • 1
  • 1
  • 1
  • 1
  • 1
  • 1
  • 1
  • 1
  • 1
  • 1
  • 1
  • 1
  • 1
  • 1
  • 1
This CXCL9 antibody is un-conjugated

应用范围

  • 67
  • 38
  • 27
  • 14
  • 13
  • 13
  • 10
  • 10
  • 7
  • 5
  • 3
  • 3
  • 3
  • 3
  • 3
  • 2
  • 1
Western Blotting (WB), Immunohistochemistry (IHC)
  • 抗原表位

    • 31
    • 7
    • 6
    • 5
    • 1
    • 1
    • 1
    • 1
    • 1
    • 1
    • 1
    • 1
    AA 37-51, N-Term

    原理

    Anti-MIG/CXCL9 Antibody

    序列

    NQGTIHLQSL KDLKQ

    交叉反应 (详细)

    No cross-reactivity with other proteins

    产品特性

    Anti-MIG/CXCL9 Antibody (ABIN3042690). Tested in IHC, WB applications. This antibody reacts with Human. This is a premium antibody that guarantees superior quality, high affinity, and strong signals with minimal background in Western blot applications.

    纯化方法

    Immunogen affinity purified.

    免疫原

    A synthetic peptide corresponding to a sequence at the N-terminus of human CXCL9.

    亚型

    IgG
  • 应用备注

    Immunohistochemistry (Paraffin-embedded Section), 0.5-1 μg/mL, Human
    Western blot, 0.1-0.5 μg/mL, Human

    说明

    Antibody can be supported by chemiluminescence kit ABIN921124 in WB, supported by ABIN921231 in IHC(P).

    限制

    仅限研究用
  • 状态

    Lyophilized

    溶解方式

    Add 0.2 mL of distilled water will yield a concentration of 500 μg/mL.

    浓度

    500 μg/mL

    缓冲液

    Each vial contains 5 mg BSA, 0.9 mg NaCl, 0.2 mg Na2HPO4, 0.05 mg Thimerosal, 0.05 mg Sodium azide.

    储存液

    Thimerosal (Merthiolate), Sodium azide

    注意事项

    This product contains Thimerosal (Merthiolate) and Sodium azide: POISONOUS AND HAZARDOUS SUBSTANCES which should be handled by trained staff only.

    注意事项

    Avoid repeated freezing and thawing.

    储存条件

    4 °C,-20 °C

    储存方法

    Store at -20°C for one year from date of receipt. After reconstitution, at 4°C for one month.
    It can also be aliquotted and stored frozen at -20°C for six months. Avoid repeated freeze-thaw cycles.

    有效期

    12 months
  • 抗原

    CXCL9 (gamma-Interferon-Induced Monokine (CXCL9))

    别名

    CXCL9

    背景

    Synonyms: C-X-C motif chemokine 9,Gamma-interferon-induced monokine,Monokine induced by interferon-gamma,HuMIG,MIG,Small-inducible cytokine B9,CXCL9,CMK, MIG, SCYB9,

    Tissue Specificity: Expressed (at protein level) in a wide range of tissues with highest levels in brain, spinal cord, testis, pancreas, heart, spleen and mammary glands. Moderate levels found in thymus, ovary and small intestine. Not detected in salivary gland, muscle or liver. Also expressed in cell lines of myeloid, fibroblast and epithelial origin. Not detected in most lymphoid cell lines. .

    Background: MIG, also known as CXCL9, is a T-cell chemoattractant inducible by gamma interferon that is a member of the CXC chemokine family of cytokines. This gene is mapped to 4q21. It is noted that, although the best-described activities of the chemokines are as chemotactic factors, chemokines also have an effect on T-cell activation, angiogenesis, and HIV infection. While most CXC chemokines are chemotactic for neutrophils, MIG and INP10 are unusual and similar in being CXC chemokines that are chemotactic for lymphocytes and inactive in neutrophils.

    Sequence Similarities: Belongs to the intercrine alpha (chemokine CxC) family.

    分子量

    34 kDa

    UniProt

    Q07325
You are here: