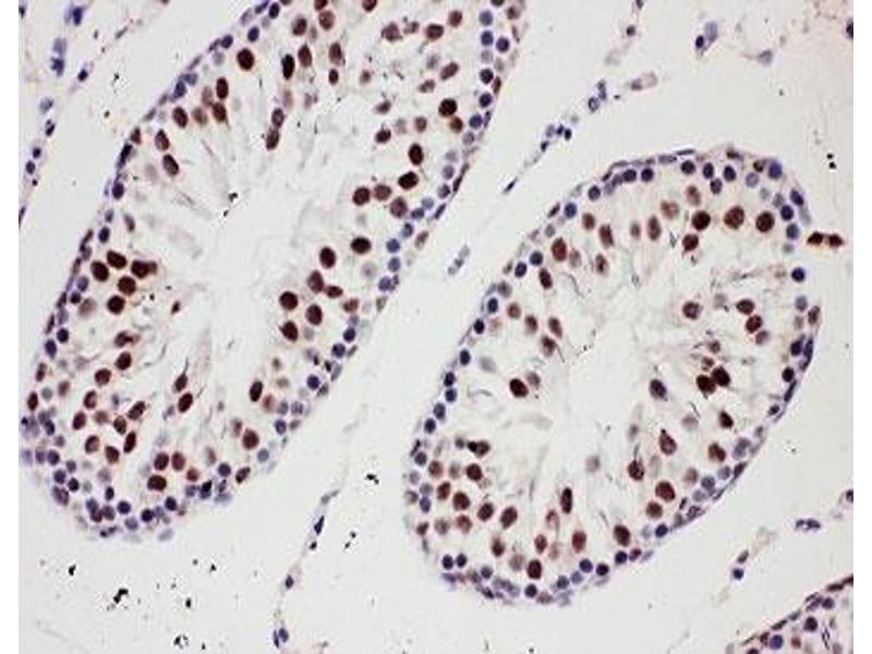
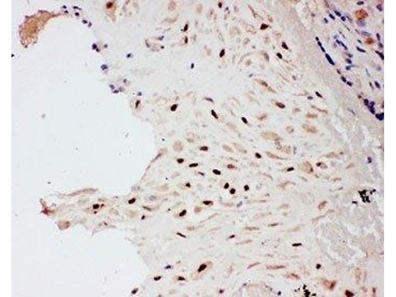
PIAS1 抗体 (AA 636-651)
Our Local Distributor
北京 101111
Quick Overview for PIAS1 抗体 (AA 636-651) (ABIN3032369)
抗原
See all PIAS1 抗体适用
宿主
克隆类型
标记
应用范围
-
-
抗原表位
- AA 636-651
-
纯化方法
- Antigen affinity
-
免疫原
- Amino acids 636-651 (DTASIFGIIPDIISLD-human) were used as the immunogen for this PIAS1 antibody (100% homologous in human, mouse and rat).
-
亚型
- IgG
-
-
-
-
应用备注
- The stated application concentrations are suggested starting amounts. Titration of the PIAS1 antibody may be required due to differences in protocols and secondary/substrate sensitivity.\. Western blot: 0.5-1 μg/mL,IHC (Paraffin): 0.5-1 μg/mL,Immunocytochemistry: 0.5-1 μg/mL
-
限制
- 仅限研究用
-
-
-
缓冲液
- 0.5 mg/mL if reconstituted with 0.2 mL sterile DI water
-
储存条件
- -20 °C
-
储存方法
- After reconstitution, the PIAS1 antibody can be stored for up to one month at 4°C. For long-term, aliquot and store at -20°C. Avoid repeated freezing and thawing.
-
-
- PIAS1 (Protein Inhibitor of Activated STAT, 1 (PIAS1))
-
别名
- PIAS1
-
背景
- E3 SUMO-protein ligase PIAS1 is an enzyme that in humans is encoded by the PIAS1 gene. This gene encodes a member of the mammalian PIAS [protein inhibitor of activated STAT-1(signal transducer and activator of transcription-1)] family. It contains a putative zinc-binding motif and a highly acidic region. PIAS1 inhibited STAT1-mediated gene activation in response to interferon when expressed in mammalian cells. It functions in testis as a nuclear receptor transcriptional coregulator and may have a role in AR initiation and maintenance of spermatogenesis. PIAS1 can also function as a SUMO ligase, or possibly as a tightly bound regulator of it, toward p53.
-
UniProt
- O75925
-
途径
- JAK/STAT Signaling, Interferon-gamma Pathway, Intracellular Steroid Hormone Receptor Signaling Pathway, Regulation of Muscle Cell Differentiation, Hepatitis C
抗原
-