电话:
+86 (0512) 65829739
传真:
+86 (010) 6788 5057
电子邮件:
orders@antibodies-online.cn

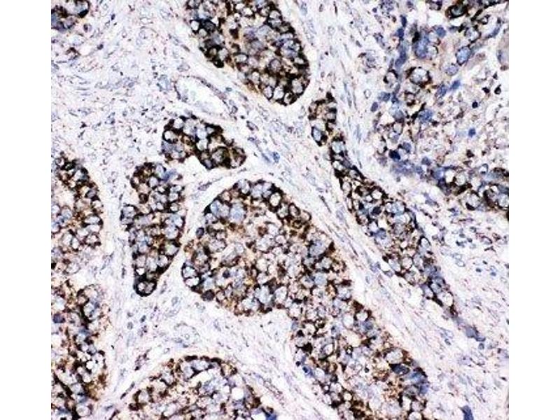
Peroxiredoxin 3 抗体 (AA 239-256)

This 兔 多克隆 antibody specifically detects Peroxiredoxin 3 in WB, ICC 和 IHC (p). It exhibits reactivity toward 人, 大鼠 和 小鼠.
产品编号 ABIN3032188
发货至: 中国
Contact our Customer Service for availability and price in your country. Contact Info

Our Local Distributor

中国
北京 101111
No. 88 KeChuang 6th Street
Beijing Economic Technological Development Area
Room 801-803
4A Biotech Co.,Ltd.
Tel +86 (0512) 65829739 传真 +86 (010) 6788 5057

Quick Overview for Peroxiredoxin 3 抗体 (AA 239-256) (ABIN3032188)

抗原

See all Peroxiredoxin 3 (PRDX3) 抗体
Peroxiredoxin 3 (PRDX3)

适用

  • 113
  • 42
  • 26
  • 2
人, 大鼠, 小鼠

宿主

  • 111
  • 11
  • 1
  • 1

克隆类型

  • 85
  • 38
多克隆

标记

  • 55
  • 13
  • 6
  • 5
  • 5
  • 5
  • 5
  • 5
  • 5
  • 2
  • 2
  • 2
  • 1
  • 1
  • 1
  • 1
  • 1
  • 1
  • 1
  • 1
  • 1
  • 1
  • 1
  • 1
  • 1
  • 1
This Peroxiredoxin 3 antibody is un-conjugated

应用范围

  • 93
  • 52
  • 29
  • 24
  • 24
  • 24
  • 23
  • 14
  • 13
  • 12
  • 3
  • 3
  • 3
  • 2
  • 1
  • 1
Western Blotting (WB), Immunocytochemistry (ICC), Immunohistochemistry (Paraffin-embedded Sections) (IHC (p))
  • 抗原表位

    • 15
    • 15
    • 6
    • 5
    • 4
    • 4
    • 3
    • 3
    • 2
    • 2
    • 2
    • 2
    • 1
    • 1
    • 1
    • 1
    • 1
    • 1
    AA 239-256

    纯化方法

    Antigen affinity

    免疫原

    Amino acids 239-256 (TIKPSPAASKEYFQKVNQ-human) were used as the immunogen for this Peroxiredoxin 3 antibody.

    亚型

    IgG
  • 应用备注

    Titration of the Peroxiredoxin 3 antibody may be required due to differences in protocols and secondary/substrate sensitivity.\. Western blot: 0.5-1 μg/mL,IHC (Paraffin): 0.5-1 μg/mL,Immunocytochemistry: 0.5-1 μg/mL

    限制

    仅限研究用
  • 缓冲液

    0.5 mg/mL if reconstituted with 0.2 mL sterile DI water

    储存条件

    -20 °C

    储存方法

    The lyophilized Peroxiredoxin 3 antibody can be stored at 4°C to -20°C. After reconstitution, aliquot and store at -20°C. Avoid repeated freezing and thawing.
  • 抗原

    Peroxiredoxin 3 (PRDX3)

    背景

    Peroxiredoxin 3 is a mitochondrial protein belonging to the AhpC/TSA family. Expression of PRDX3 is induced by MYC and is reduced in c-myc -/- cells. Chromatin immunoprecipitation analysis spanning the entire PRDX3 genomic sequence revealed that MYC binds preferentially to a 930-bp region surrounding exon 1. Results using mitochondria-specific fluorescent probes demonstrated that Peroxiredoxin 3 is essential for maintaining mitochondrial mass and membrane potential in transformed rat and human cells.

    UniProt

    P30048

    途径

    Ribonucleoside Biosynthetic Process, Methionine Biosynthetic Process
You are here: