电话:
+86 (0512) 65829739
传真:
+86 (010) 6788 5057
电子邮件:
orders@antibodies-online.cn

IGF2R 抗体 (C-Term)

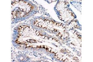
The 兔 多克隆 anti-IGF2R antibody is suitable to detect IGF2R in samples from 人, 小鼠 和 大鼠. It has been validated for WB, ICC 和 IHC (p).
产品编号 ABIN3031349
发货至: 中国
Contact our Customer Service for availability and price in your country. Contact Info

Our Local Distributor

中国
北京 101111
No. 88 KeChuang 6th Street
Beijing Economic Technological Development Area
Room 801-803
4A Biotech Co.,Ltd.
Tel +86 (0512) 65829739 传真 +86 (010) 6788 5057

Quick Overview for IGF2R 抗体 (C-Term) (ABIN3031349)

抗原

See all IGF2R 抗体
IGF2R (Insulin-Like Growth Factor 2 Receptor (IGF2R))

适用

  • 90
  • 34
  • 12
  • 8
  • 5
  • 3
  • 2
  • 1
  • 1
人, 小鼠, 大鼠

宿主

  • 64
  • 36

克隆类型

  • 59
  • 41
多克隆

标记

  • 55
  • 7
  • 7
  • 5
  • 5
  • 2
  • 2
  • 1
  • 1
  • 1
  • 1
  • 1
  • 1
  • 1
  • 1
  • 1
  • 1
  • 1
  • 1
  • 1
  • 1
  • 1
  • 1
  • 1
This IGF2R antibody is un-conjugated

应用范围

  • 43
  • 39
  • 27
  • 27
  • 15
  • 13
  • 13
  • 12
  • 11
  • 9
  • 3
  • 2
  • 1
  • 1
Western Blotting (WB), Immunocytochemistry (ICC), Immunohistochemistry (Paraffin-embedded Sections) (IHC (p))
  • 抗原表位

    • 16
    • 13
    • 6
    • 4
    • 3
    • 2
    • 2
    • 2
    • 1
    • 1
    • 1
    • 1
    • 1
    • 1
    • 1
    • 1
    • 1
    • 1
    • 1
    • 1
    • 1
    • 1
    • 1
    C-Term

    纯化方法

    Antigen affinity

    免疫原

    An amino acid sequence from the C-terminus of human Mannose 6 Phosphate Receptor/Insulin like Growth Factor 2 Receptor (TKLVSFHDDSDEDLLHI) was used as the immunogen for this M6PR / IGF2R antibody.

    亚型

    IgG
  • 应用备注

    The stated application concentrations are suggested starting amounts. Titration of the IGF2R antibody may be required due to differences in protocols and secondary/substrate sensitivity.\. Western blot: 0.5-1 μg/mL,IHC (Paraffin): 0.5-1 μg/mL,Immunocytochemistry: 0.5-1 μg/mL

    限制

    仅限研究用
  • 缓冲液

    0.5 mg/mL if reconstituted with 0.2 mL sterile DI water

    储存条件

    -20 °C

    储存方法

    After reconstitution, the IGF2R antibody can be stored for up to one month at 4°C. For long-term, aliquot and store at -20°C. Avoid repeated freezing and thawing.
  • 抗原

    IGF2R (Insulin-Like Growth Factor 2 Receptor (IGF2R))

    别名

    IGF2R M6PR

    背景

    Insulin-like growth factor 2 receptor, also called Mannose 6 phosphate receptor (M6PR), is a protein that in humans is encoded by the IGF2R gene. This gene is mapped to 6q25.3. This gene encodes a receptor for both insulin-like growth factor 2 and mannose 6-phosphate, although the binding sites for either are located on different segments of the receptor. This receptor functions in the intracellular trafficking of lysosomal enzymes, the activation of transforming growth factor beta, and the degradation of insulin-like growth factor 2. While the related mouse gene shows exclusive expression from the maternal allele, imprinting of the human gene appears to be polymorphic, with only a minority of individuals showing expression from the maternal allele.

    UniProt

    P11717
You are here: