电话:
+86 (0512) 65829739
传真:
+86 (010) 6788 5057
电子邮件:
orders@antibodies-online.cn

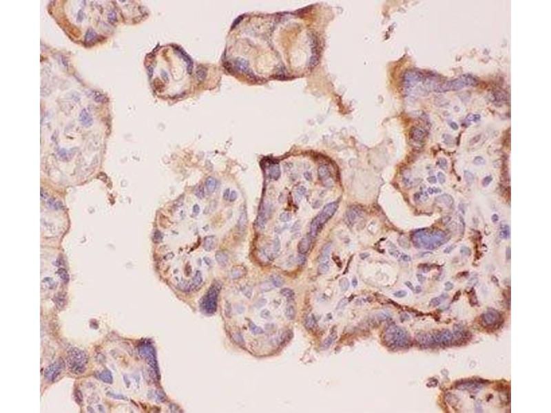
ANG2 抗体 (AA 19-348)

The 兔 多克隆 anti-ANG2 antibody (ABIN3029946) specifically detects ANG2 in IHC (p). The antibody is reactive with 人, 大鼠 和 小鼠 samples.
产品编号 ABIN3029946
发货至: 中国
Contact our Customer Service for availability and price in your country. Contact Info

Our Local Distributor

中国
北京 101111
No. 88 KeChuang 6th Street
Beijing Economic Technological Development Area
Room 801-803
4A Biotech Co.,Ltd.
Tel +86 (0512) 65829739 传真 +86 (010) 6788 5057

Quick Overview for ANG2 抗体 (AA 19-348) (ABIN3029946)

抗原

See all ANG2 抗体
ANG2 (Angiogenin, Ribonuclease A Family, Member 2 (ANG2))

适用

人, 大鼠, 小鼠

宿主

  • 3
  • 1

克隆类型

  • 3
  • 1
多克隆

标记

  • 2
  • 1
  • 1
This ANG2 antibody is un-conjugated

应用范围

  • 2
  • 2
  • 1
  • 1
  • 1
  • 1
  • 1
  • 1
Immunohistochemistry (Paraffin-embedded Sections) (IHC (p))
  • 抗原表位

    AA 19-348

    纯化方法

    Antigen affinity

    免疫原

    Human partial recombinant protein (AA 19-348) was used as the immunogen for this ANG2 antibody.

    亚型

    IgG
  • 应用备注

    The stated application concentrations are suggested starting amounts. Titration of the ANG2 antibody may be required due to differences in protocols and secondary/substrate sensitivity.\. IHC (Paraffin): 0.5-1 μg/mL

    限制

    仅限研究用
  • 缓冲液

    0.5 mg/mL if reconstituted with 0.2 mL sterile DI water

    储存条件

    -20 °C

    储存方法

    After reconstitution, the ANG2 antibody can be stored for up to one month at 4°C. For long-term, aliquot and store at -20°C. Avoid repeated freezing and thawing.
  • 抗原

    ANG2 (Angiogenin, Ribonuclease A Family, Member 2 (ANG2))

    别名

    ANG2

    背景

    Angiopoietin 2, also known as ANG2, is a protein that in humans is encoded by the ANGPT2 gene. It is mapped to 8p23.1. ANGPT2 is a naturally occurring antagonist of ANGPT1 that competes for binding to the TIE2 receptor and blocks ANGPT1-induced TIE2 autophosphorylation during vasculogenesis. The encoded protein disrupts the vascular remodeling ability of ANGPT1 and may induce endothelial cell apoptosis. ANGPT2 was significantly increased in plasma and alveolar edema fluid in adults with acute lung injury compared to controls or patients with hydrostatic pulmonary edema, tracheal. ANGPT2 was also significantly increased in neonates with respiratory distress syndrome who developed bronchopulmonary edema. It is also a mediator of epithelial necrosis with an important role in hyperoxic acute lung injury and pulmonary edema.

    基因ID

    285

    途径

    Carbohydrate Homeostasis
You are here: