电话:
+86 (0512) 65829739
传真:
+86 (010) 6788 5057
电子邮件:
orders@antibodies-online.cn

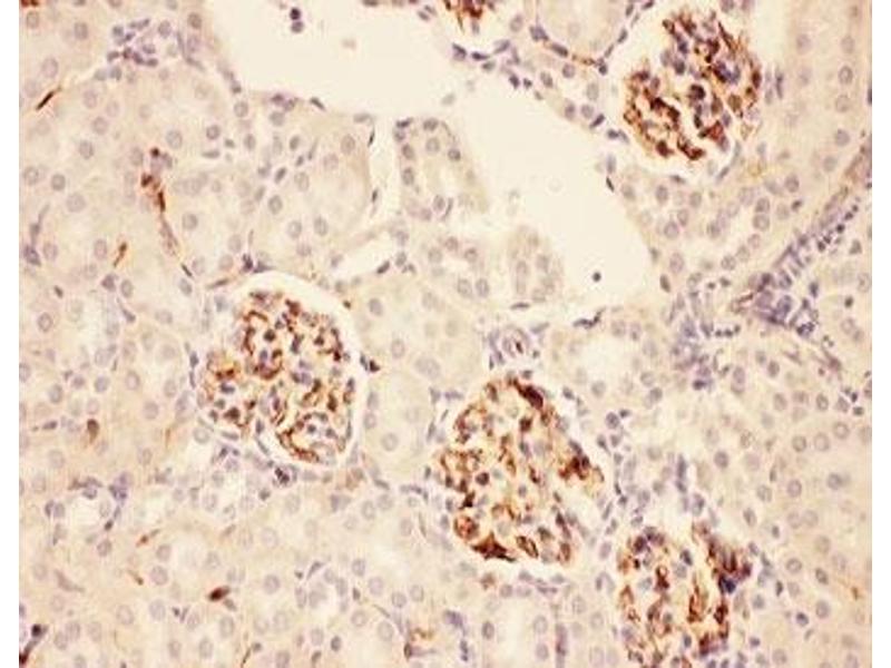
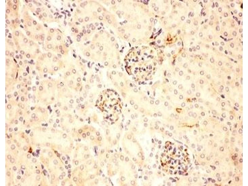
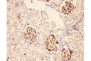
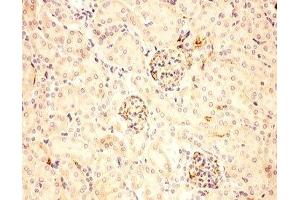
ACTH 抗体 (Middle Region)

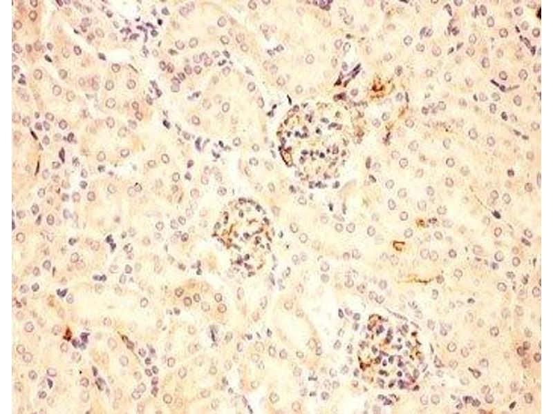
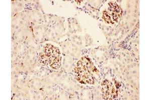
The 兔 多克隆 anti-ACTH antibody is suitable to detect ACTH in samples from 人, 大鼠 和 小鼠. It has been validated for IHC (p).
产品编号 ABIN3029882
发货至: 中国
Contact our Customer Service for availability and price in your country. Contact Info

Our Local Distributor

中国
北京 101111
No. 88 KeChuang 6th Street
Beijing Economic Technological Development Area
Room 801-803
4A Biotech Co.,Ltd.
Tel +86 (0512) 65829739 传真 +86 (010) 6788 5057

Quick Overview for ACTH 抗体 (Middle Region) (ABIN3029882)

抗原

See all ACTH 抗体
ACTH (Adrenocorticotropic hormone (ACTH))

适用

  • 167
  • 108
  • 71
  • 21
  • 2
  • 2
  • 1
  • 1
  • 1
人, 大鼠, 小鼠

宿主

  • 110
  • 74
  • 1
  • 1
  • 1

克隆类型

  • 132
  • 55
多克隆

标记

  • 68
  • 16
  • 10
  • 10
  • 10
  • 10
  • 10
  • 10
  • 9
  • 5
  • 4
  • 2
  • 2
  • 2
  • 2
  • 2
  • 2
  • 2
  • 2
  • 2
  • 2
  • 2
  • 1
  • 1
  • 1
This ACTH antibody is un-conjugated

应用范围

  • 97
  • 75
  • 72
  • 68
  • 35
  • 30
  • 27
  • 25
  • 25
  • 25
  • 23
  • 14
  • 10
  • 10
  • 3
  • 3
  • 1
  • 1
Immunohistochemistry (Paraffin-embedded Sections) (IHC (p))
  • 抗原表位

    • 47
    • 41
    • 34
    • 15
    • 14
    • 9
    • 8
    • 3
    • 2
    • 2
    • 1
    Middle Region

    纯化方法

    Antigen affinity

    免疫原

    An amino acid sequence from the middle region of human Adrenocorticotropic hormone (SYSMEHFRWGKPVGKKRRPVKVYPNGAEDESAEAFPLEF) was used as the immunogen for this ACTH antibody.

    亚型

    IgG
  • 应用备注

    The stated application concentrations are suggested starting amounts. Titration of the ACTH antibody may be required due to differences in protocols and secondary/substrate sensitivity.\. IHC (Paraffin): 0.5-1 μg/mL

    限制

    仅限研究用
  • 缓冲液

    0.5 mg/mL if reconstituted with 0.2 mL sterile DI water

    储存条件

    -20 °C

    储存方法

    After reconstitution, the ACTH antibody can be stored for up to one month at 4°C. For long-term, aliquot and store at -20°C. Avoid repeated freezing and thawing.
  • 抗原

    ACTH (Adrenocorticotropic hormone (ACTH))

    别名

    ACTH

    物质类

    Hormone

    背景

    Adrenocorticotropic hormone (ACTH), also known as Corticotropin, is a polypeptide tropic hormone produced and secreted by the anterior pituitary gland. It is an important component of the hypothalamic-pituitary-adrenal axis and is often produced in response to biological stress (along with its precursor corticotropin-releasing hormone from the hypothalamus). Its principal effects are increased production and release of corticosteroids. ACTH stimulates secretion of glucocorticoid steroid hormones from adrenal cortex cells, especially in the zona fasciculata of the adrenal glands. This gene can influence steroid hormone secretion by both rapid short-term mechanisms that take place within minutes and slower long-term actions. Besides, ACTH also enhances transcription of mitochondrial genes that encode for subunits of mitochondrial oxidative phosphorylation systems.

    基因ID

    5443

    途径

    Metabolism of Steroid Hormones and Vitamin D, Peptide Hormone Metabolism, Hormone Activity
You are here: