电话:
+86 (0512) 65829739
传真:
+86 (010) 6788 5057
电子邮件:
orders@antibodies-online.cn

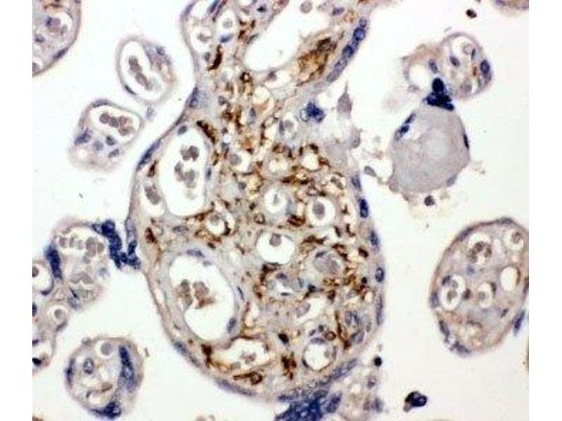
BAG5 抗体 (C-Term)

This 兔 多克隆 antibody specifically detects BAG5 in WB 和 IHC (p). It exhibits reactivity toward 人, 小鼠 和 大鼠.
产品编号 ABIN3028498
发货至: 中国
Contact our Customer Service for availability and price in your country. Contact Info

Our Local Distributor

中国
北京 101111
No. 88 KeChuang 6th Street
Beijing Economic Technological Development Area
Room 801-803
4A Biotech Co.,Ltd.
Tel +86 (0512) 65829739 传真 +86 (010) 6788 5057

Quick Overview for BAG5 抗体 (C-Term) (ABIN3028498)

抗原

See all BAG5 抗体
BAG5 (BCL2-Associated Athanogene 5 (BAG5))

适用

  • 53
  • 27
  • 12
  • 5
  • 4
  • 4
  • 3
  • 3
  • 1
  • 1
  • 1
  • 1
人, 小鼠, 大鼠

宿主

  • 67
  • 5
  • 1

克隆类型

  • 70
  • 3
多克隆

标记

  • 42
  • 4
  • 4
  • 4
  • 1
  • 1
  • 1
  • 1
  • 1
  • 1
  • 1
  • 1
  • 1
  • 1
  • 1
  • 1
  • 1
  • 1
  • 1
  • 1
  • 1
  • 1
  • 1
This BAG5 antibody is un-conjugated

应用范围

  • 47
  • 24
  • 14
  • 13
  • 13
  • 7
  • 6
  • 6
  • 4
  • 3
  • 3
  • 2
  • 1
Western Blotting (WB), Immunohistochemistry (Paraffin-embedded Sections) (IHC (p))
  • 抗原表位

    • 15
    • 11
    • 8
    • 7
    • 4
    • 2
    • 2
    • 1
    • 1
    • 1
    • 1
    • 1
    • 1
    • 1
    • 1
    • 1
    • 1
    C-Term

    纯化方法

    Antigen affinity

    免疫原

    An amino acid sequence from the C-terminus of human BAG5 (QGEEKCKAARKQAVR) was used as the immunogen for this BAG5 antibody.

    亚型

    IgG
  • 应用备注

    The stated application concentrations are suggested starting amounts. Titration of the BAG5 antibody may be required due to differences in protocols and secondary/substrate sensitivity.\. Western blot: 0.5-1 μg/mL,IHC (Paraffin): 0.5-1 μg/mL

    限制

    仅限研究用
  • 缓冲液

    0.5 mg/mL if reconstituted with 0.2 mL sterile DI water

    储存条件

    -20 °C

    储存方法

    After reconstitution, the BAG5 antibody can be stored for up to one month at 4°C. For long-term, aliquot and store at -20°C. Avoid repeated freezing and thawing.
  • 抗原

    BAG5 (BCL2-Associated Athanogene 5 (BAG5))

    别名

    BAG5

    背景

    BAG family molecular chaperone regulator 5 is a protein that in humans is encoded by the BAG5 gene. The protein encoded by this gene is a member of the BAG1-related protein family. BAG5 is a negative regulator of both Hsp70 and parkin function that sensitizes dopaminergic neurons to injury-induced death and thus promotes neurodegeneration.

    UniProt

    Q9UL15

    途径

    SARS-CoV-2 Protein Interactome
You are here: